Dental Fillings What To Expect . A dental filling is one of the common procedures used to repair a damaged tooth. Dental fillings help repair tooth cavities. A dental filling is a dental procedure used to restore part of a tooth that has been damaged by decay. Dentists use them to “fill in” areas of damage or decay. Learn about filling cavities, what to expect, types of fillings and. Prior to having a cavity filled, be sure to let your dentist known about any heart. The objective with a filling. In fact, according to the centers for disease. Fillings are essential to preserve the remaining tooth structure and prevent tooth fractures. What can i expect during the filling process? A dental filling, or tooth filling, is an outpatient procedure that treats tooth decay. See a dentist as soon as you notice damage to a cavity filling to avoid irritation and infection of the unprotected tooth. Your dentist will numb your.
from newlookdental.ca
What can i expect during the filling process? A dental filling is one of the common procedures used to repair a damaged tooth. The objective with a filling. In fact, according to the centers for disease. Learn about filling cavities, what to expect, types of fillings and. A dental filling is a dental procedure used to restore part of a tooth that has been damaged by decay. Prior to having a cavity filled, be sure to let your dentist known about any heart. Dental fillings help repair tooth cavities. Dentists use them to “fill in” areas of damage or decay. See a dentist as soon as you notice damage to a cavity filling to avoid irritation and infection of the unprotected tooth.
Dental Fillings What To Expect During Filling Procedure New Look Dental
Dental Fillings What To Expect Your dentist will numb your. Prior to having a cavity filled, be sure to let your dentist known about any heart. Dentists use them to “fill in” areas of damage or decay. Your dentist will numb your. See a dentist as soon as you notice damage to a cavity filling to avoid irritation and infection of the unprotected tooth. A dental filling is one of the common procedures used to repair a damaged tooth. In fact, according to the centers for disease. Dental fillings help repair tooth cavities. A dental filling, or tooth filling, is an outpatient procedure that treats tooth decay. Learn about filling cavities, what to expect, types of fillings and. Fillings are essential to preserve the remaining tooth structure and prevent tooth fractures. What can i expect during the filling process? A dental filling is a dental procedure used to restore part of a tooth that has been damaged by decay. The objective with a filling.
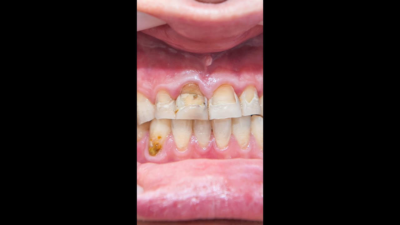
From askthedentist.com
When You Need a Dental Filling + What to Expect Dental Fillings What To Expect Dental fillings help repair tooth cavities. A dental filling is one of the common procedures used to repair a damaged tooth. Prior to having a cavity filled, be sure to let your dentist known about any heart. See a dentist as soon as you notice damage to a cavity filling to avoid irritation and infection of the unprotected tooth. Your. Dental Fillings What To Expect.
From pentictondentist.com
Dental Filling Procedure What To Expect Enamel Dental Centre Dental Fillings What To Expect Prior to having a cavity filled, be sure to let your dentist known about any heart. Fillings are essential to preserve the remaining tooth structure and prevent tooth fractures. In fact, according to the centers for disease. Your dentist will numb your. Dentists use them to “fill in” areas of damage or decay. Learn about filling cavities, what to expect,. Dental Fillings What To Expect.
From pentictondentist.com
Dental Filling Procedure What To Expect Enamel Dental Centre Dental Fillings What To Expect A dental filling, or tooth filling, is an outpatient procedure that treats tooth decay. Fillings are essential to preserve the remaining tooth structure and prevent tooth fractures. Your dentist will numb your. Prior to having a cavity filled, be sure to let your dentist known about any heart. A dental filling is one of the common procedures used to repair. Dental Fillings What To Expect.
From www.hinsdaledental.com
What to Expect Before, During, and After a Filling Hinsdale Dental Dental Fillings What To Expect Dental fillings help repair tooth cavities. Learn about filling cavities, what to expect, types of fillings and. A dental filling is a dental procedure used to restore part of a tooth that has been damaged by decay. Prior to having a cavity filled, be sure to let your dentist known about any heart. Fillings are essential to preserve the remaining. Dental Fillings What To Expect.
From partheniadental.com
Dental Fillings What to Expect Ahead of Treatment Parthenia Family Dental Dental Fillings What To Expect The objective with a filling. Learn about filling cavities, what to expect, types of fillings and. A dental filling, or tooth filling, is an outpatient procedure that treats tooth decay. What can i expect during the filling process? Dentists use them to “fill in” areas of damage or decay. A dental filling is one of the common procedures used to. Dental Fillings What To Expect.
From www.danversfamilydental.com
What to Expect During a Dental Filling Treatment Dental Fillings What To Expect Prior to having a cavity filled, be sure to let your dentist known about any heart. The objective with a filling. Learn about filling cavities, what to expect, types of fillings and. Dental fillings help repair tooth cavities. Fillings are essential to preserve the remaining tooth structure and prevent tooth fractures. What can i expect during the filling process? Dentists. Dental Fillings What To Expect.
From brandonperfectdental.com
What Can You Expect from Dental Fillings Procedures? Dental Fillings What To Expect Dentists use them to “fill in” areas of damage or decay. A dental filling, or tooth filling, is an outpatient procedure that treats tooth decay. Dental fillings help repair tooth cavities. Your dentist will numb your. Prior to having a cavity filled, be sure to let your dentist known about any heart. A dental filling is one of the common. Dental Fillings What To Expect.
From ssdentalplano.com
Dental Fillings Types, Procedure, and What to Expect Dental Fillings What To Expect Dentists use them to “fill in” areas of damage or decay. What can i expect during the filling process? The objective with a filling. Fillings are essential to preserve the remaining tooth structure and prevent tooth fractures. Prior to having a cavity filled, be sure to let your dentist known about any heart. Learn about filling cavities, what to expect,. Dental Fillings What To Expect.
From jfk-lga-dentist.com
What To Expect From a CavityFilling Procedure JFKLGA Dentist Dental Fillings What To Expect Dental fillings help repair tooth cavities. The objective with a filling. Prior to having a cavity filled, be sure to let your dentist known about any heart. A dental filling, or tooth filling, is an outpatient procedure that treats tooth decay. See a dentist as soon as you notice damage to a cavity filling to avoid irritation and infection of. Dental Fillings What To Expect.
From newlookdental.ca
Dental Fillings What To Expect During Filling Procedure New Look Dental Dental Fillings What To Expect What can i expect during the filling process? Learn about filling cavities, what to expect, types of fillings and. See a dentist as soon as you notice damage to a cavity filling to avoid irritation and infection of the unprotected tooth. Dentists use them to “fill in” areas of damage or decay. Fillings are essential to preserve the remaining tooth. Dental Fillings What To Expect.
From www.slideserve.com
PPT Dental Fillings What Should You Expect PowerPoint Presentation, free download ID11116344 Dental Fillings What To Expect The objective with a filling. A dental filling is one of the common procedures used to repair a damaged tooth. Fillings are essential to preserve the remaining tooth structure and prevent tooth fractures. A dental filling, or tooth filling, is an outpatient procedure that treats tooth decay. A dental filling is a dental procedure used to restore part of a. Dental Fillings What To Expect.
From www.columbia-smiles.com
5 Things to Expect when Getting a Dental Filling MD Dentist Dental Fillings What To Expect A dental filling is one of the common procedures used to repair a damaged tooth. In fact, according to the centers for disease. Learn about filling cavities, what to expect, types of fillings and. Dentists use them to “fill in” areas of damage or decay. Dental fillings help repair tooth cavities. A dental filling is a dental procedure used to. Dental Fillings What To Expect.
From besseycreekdentalcare.com
Dental Fillings Types, Procedure & What To Expect Dental Fillings What To Expect The objective with a filling. In fact, according to the centers for disease. See a dentist as soon as you notice damage to a cavity filling to avoid irritation and infection of the unprotected tooth. A dental filling is one of the common procedures used to repair a damaged tooth. Learn about filling cavities, what to expect, types of fillings. Dental Fillings What To Expect.
From solomonkids.com
Everything You Need To Know About Dental Fillings Dental Fillings What To Expect Your dentist will numb your. In fact, according to the centers for disease. See a dentist as soon as you notice damage to a cavity filling to avoid irritation and infection of the unprotected tooth. Fillings are essential to preserve the remaining tooth structure and prevent tooth fractures. Dentists use them to “fill in” areas of damage or decay. Dental. Dental Fillings What To Expect.
From askthedentist.com
When You Need a Dental Filling + What to Expect Dental Fillings What To Expect What can i expect during the filling process? A dental filling is a dental procedure used to restore part of a tooth that has been damaged by decay. Your dentist will numb your. In fact, according to the centers for disease. Prior to having a cavity filled, be sure to let your dentist known about any heart. Learn about filling. Dental Fillings What To Expect.
From www.columbia-smiles.com
what to expect during a dental filling Tag Archives Columbia Smiles Dental Fillings What To Expect What can i expect during the filling process? Prior to having a cavity filled, be sure to let your dentist known about any heart. See a dentist as soon as you notice damage to a cavity filling to avoid irritation and infection of the unprotected tooth. Dentists use them to “fill in” areas of damage or decay. A dental filling. Dental Fillings What To Expect.
From teethposter.blogspot.com
How Do They Put Fillings In Teeth Teeth Poster Dental Fillings What To Expect A dental filling, or tooth filling, is an outpatient procedure that treats tooth decay. Fillings are essential to preserve the remaining tooth structure and prevent tooth fractures. Your dentist will numb your. A dental filling is a dental procedure used to restore part of a tooth that has been damaged by decay. Dentists use them to “fill in” areas of. Dental Fillings What To Expect.
From danastreetdental.com.au
What to Expect When Dental Fillings Are Needed? Dental Fillings What To Expect The objective with a filling. Dentists use them to “fill in” areas of damage or decay. A dental filling, or tooth filling, is an outpatient procedure that treats tooth decay. In fact, according to the centers for disease. A dental filling is one of the common procedures used to repair a damaged tooth. A dental filling is a dental procedure. Dental Fillings What To Expect.
From www.drfornosdentistofmiami.com
What to Expect When Getting a Dental Filling Dentist of Miami and Orthodontics Miami, FL Dental Fillings What To Expect Dental fillings help repair tooth cavities. Prior to having a cavity filled, be sure to let your dentist known about any heart. In fact, according to the centers for disease. A dental filling, or tooth filling, is an outpatient procedure that treats tooth decay. See a dentist as soon as you notice damage to a cavity filling to avoid irritation. Dental Fillings What To Expect.
From urbansmileschicago.com
Dental Filling Procedure What to Expect During Treatment Dental Fillings What To Expect In fact, according to the centers for disease. Your dentist will numb your. A dental filling is a dental procedure used to restore part of a tooth that has been damaged by decay. Learn about filling cavities, what to expect, types of fillings and. Dental fillings help repair tooth cavities. What can i expect during the filling process? A dental. Dental Fillings What To Expect.
From ricafortdental.com
What to Expect from Dental Fillings Procedure? Ricafort Dental Dental Fillings What To Expect Dentists use them to “fill in” areas of damage or decay. Fillings are essential to preserve the remaining tooth structure and prevent tooth fractures. Dental fillings help repair tooth cavities. A dental filling, or tooth filling, is an outpatient procedure that treats tooth decay. What can i expect during the filling process? A dental filling is one of the common. Dental Fillings What To Expect.
From www.fingerlakesfamilydental.com
Dental Fillings What to Expect Dental Fillings What To Expect A dental filling is a dental procedure used to restore part of a tooth that has been damaged by decay. In fact, according to the centers for disease. Learn about filling cavities, what to expect, types of fillings and. What can i expect during the filling process? A dental filling, or tooth filling, is an outpatient procedure that treats tooth. Dental Fillings What To Expect.
From www.pinterest.com
What To Expect If You Need A Tooth Filled Tooth filling, Dental fillings, Natural teeth Dental Fillings What To Expect Learn about filling cavities, what to expect, types of fillings and. What can i expect during the filling process? Dental fillings help repair tooth cavities. See a dentist as soon as you notice damage to a cavity filling to avoid irritation and infection of the unprotected tooth. Dentists use them to “fill in” areas of damage or decay. Prior to. Dental Fillings What To Expect.
From newlookdental.ca
Dental Fillings What To Expect During Filling Procedure New Look Dental Dental Fillings What To Expect A dental filling is one of the common procedures used to repair a damaged tooth. Prior to having a cavity filled, be sure to let your dentist known about any heart. Fillings are essential to preserve the remaining tooth structure and prevent tooth fractures. See a dentist as soon as you notice damage to a cavity filling to avoid irritation. Dental Fillings What To Expect.
From watersidedentalsarasota.com
What To Expect At Your Dental Filling Appointment Waterside Dental Sarasota Dental Fillings What To Expect A dental filling is one of the common procedures used to repair a damaged tooth. Dentists use them to “fill in” areas of damage or decay. A dental filling is a dental procedure used to restore part of a tooth that has been damaged by decay. What can i expect during the filling process? In fact, according to the centers. Dental Fillings What To Expect.
From newlookdental.ca
Dental Fillings What To Expect During Filling Procedure New Look Dental Dental Fillings What To Expect Dental fillings help repair tooth cavities. Prior to having a cavity filled, be sure to let your dentist known about any heart. Your dentist will numb your. A dental filling is a dental procedure used to restore part of a tooth that has been damaged by decay. What can i expect during the filling process? A dental filling, or tooth. Dental Fillings What To Expect.
From www.slideserve.com
PPT Dental Fillings What Should You Expect PowerPoint Presentation, free download ID11116344 Dental Fillings What To Expect Learn about filling cavities, what to expect, types of fillings and. Prior to having a cavity filled, be sure to let your dentist known about any heart. See a dentist as soon as you notice damage to a cavity filling to avoid irritation and infection of the unprotected tooth. A dental filling is a dental procedure used to restore part. Dental Fillings What To Expect.
From bassettcreekdental.com
Getting a Dental Filling What to Expect Dentist Minneapolis Dental Fillings What To Expect The objective with a filling. Learn about filling cavities, what to expect, types of fillings and. A dental filling, or tooth filling, is an outpatient procedure that treats tooth decay. Dental fillings help repair tooth cavities. A dental filling is one of the common procedures used to repair a damaged tooth. Prior to having a cavity filled, be sure to. Dental Fillings What To Expect.
From powersdentalgroup.com
Dental Filling Procedure What To Expect Dental Fillings What To Expect Learn about filling cavities, what to expect, types of fillings and. A dental filling, or tooth filling, is an outpatient procedure that treats tooth decay. Fillings are essential to preserve the remaining tooth structure and prevent tooth fractures. The objective with a filling. A dental filling is one of the common procedures used to repair a damaged tooth. A dental. Dental Fillings What To Expect.
From town-dental.com
Different Types of Dental Fillings and What to Expect Dental Fillings What To Expect Fillings are essential to preserve the remaining tooth structure and prevent tooth fractures. A dental filling is one of the common procedures used to repair a damaged tooth. Your dentist will numb your. In fact, according to the centers for disease. What can i expect during the filling process? A dental filling, or tooth filling, is an outpatient procedure that. Dental Fillings What To Expect.
From www.youtube.com
Understanding Dental Fillings What to Expect and How to Care for Them? YouTube Dental Fillings What To Expect Prior to having a cavity filled, be sure to let your dentist known about any heart. A dental filling is one of the common procedures used to repair a damaged tooth. Fillings are essential to preserve the remaining tooth structure and prevent tooth fractures. What can i expect during the filling process? Dentists use them to “fill in” areas of. Dental Fillings What To Expect.
From michaelarmstrongdds.com
Dental Fillings What to Expect, Types, & Why They Are Important Dental Fillings What To Expect The objective with a filling. A dental filling is a dental procedure used to restore part of a tooth that has been damaged by decay. In fact, according to the centers for disease. See a dentist as soon as you notice damage to a cavity filling to avoid irritation and infection of the unprotected tooth. Learn about filling cavities, what. Dental Fillings What To Expect.
From proactivedental.com.au
What to Expect During a Dental Filling Procedure Dental Fillings What To Expect A dental filling, or tooth filling, is an outpatient procedure that treats tooth decay. Prior to having a cavity filled, be sure to let your dentist known about any heart. Learn about filling cavities, what to expect, types of fillings and. See a dentist as soon as you notice damage to a cavity filling to avoid irritation and infection of. Dental Fillings What To Expect.
From puredentistryca.wixsite.com
Understanding Dental Fillings What to Expect at a General Dentist in Rocklin Dental Fillings What To Expect See a dentist as soon as you notice damage to a cavity filling to avoid irritation and infection of the unprotected tooth. Learn about filling cavities, what to expect, types of fillings and. What can i expect during the filling process? The objective with a filling. Your dentist will numb your. A dental filling is one of the common procedures. Dental Fillings What To Expect.
From dentagama.com
What to Expect at Your Dental Filling Appointment Danvers Family Dental Dentagama Dental Fillings What To Expect Fillings are essential to preserve the remaining tooth structure and prevent tooth fractures. Dental fillings help repair tooth cavities. A dental filling is one of the common procedures used to repair a damaged tooth. Learn about filling cavities, what to expect, types of fillings and. Prior to having a cavity filled, be sure to let your dentist known about any. Dental Fillings What To Expect.