Types Of Interspinous Spacers .   the interspinous spacer procedure involves a minimally invasive titanium spacer implanted through a tiny tube via a small incision in the lower back. Lumbar interspinous spacers (isps) have recently become popular as an alternative.   summary of background data: Once it is inserted between two vertebrae, the spacer’s arms open around the spinous process of the lumbar spine to lock the device into place.   minimally invasive interspinous process devices (ipd), including interspinous.  interspinous spacers offer an effective treatment option for patients with lumbar spinal stenosis, a condition commonly found in.   interspinous distraction devices (idds) are one example.   interspinous spacers are used in selected patients for the treatment of lumbar.
        
        from www.neurosurgery.theclinics.com 
     
        
          the interspinous spacer procedure involves a minimally invasive titanium spacer implanted through a tiny tube via a small incision in the lower back.   summary of background data:  interspinous spacers offer an effective treatment option for patients with lumbar spinal stenosis, a condition commonly found in.   interspinous distraction devices (idds) are one example. Lumbar interspinous spacers (isps) have recently become popular as an alternative. Once it is inserted between two vertebrae, the spacer’s arms open around the spinous process of the lumbar spine to lock the device into place.   minimally invasive interspinous process devices (ipd), including interspinous.   interspinous spacers are used in selected patients for the treatment of lumbar.
    
    	
            
	
		 
         
    Is There Still a Role for Interspinous Spacers in the Management of 
    Types Of Interspinous Spacers    interspinous spacers are used in selected patients for the treatment of lumbar.   interspinous distraction devices (idds) are one example.   the interspinous spacer procedure involves a minimally invasive titanium spacer implanted through a tiny tube via a small incision in the lower back.   interspinous spacers are used in selected patients for the treatment of lumbar.  interspinous spacers offer an effective treatment option for patients with lumbar spinal stenosis, a condition commonly found in.   minimally invasive interspinous process devices (ipd), including interspinous.   summary of background data: Once it is inserted between two vertebrae, the spacer’s arms open around the spinous process of the lumbar spine to lock the device into place. Lumbar interspinous spacers (isps) have recently become popular as an alternative.
            
	
		 
         
 
    
        From www.intechopen.com 
                    Lumbar Interspinous Devices Indications, Surgical Aspects, Clinical Types Of Interspinous Spacers  Lumbar interspinous spacers (isps) have recently become popular as an alternative. Once it is inserted between two vertebrae, the spacer’s arms open around the spinous process of the lumbar spine to lock the device into place.  interspinous spacers offer an effective treatment option for patients with lumbar spinal stenosis, a condition commonly found in.   interspinous distraction devices (idds). Types Of Interspinous Spacers.
     
    
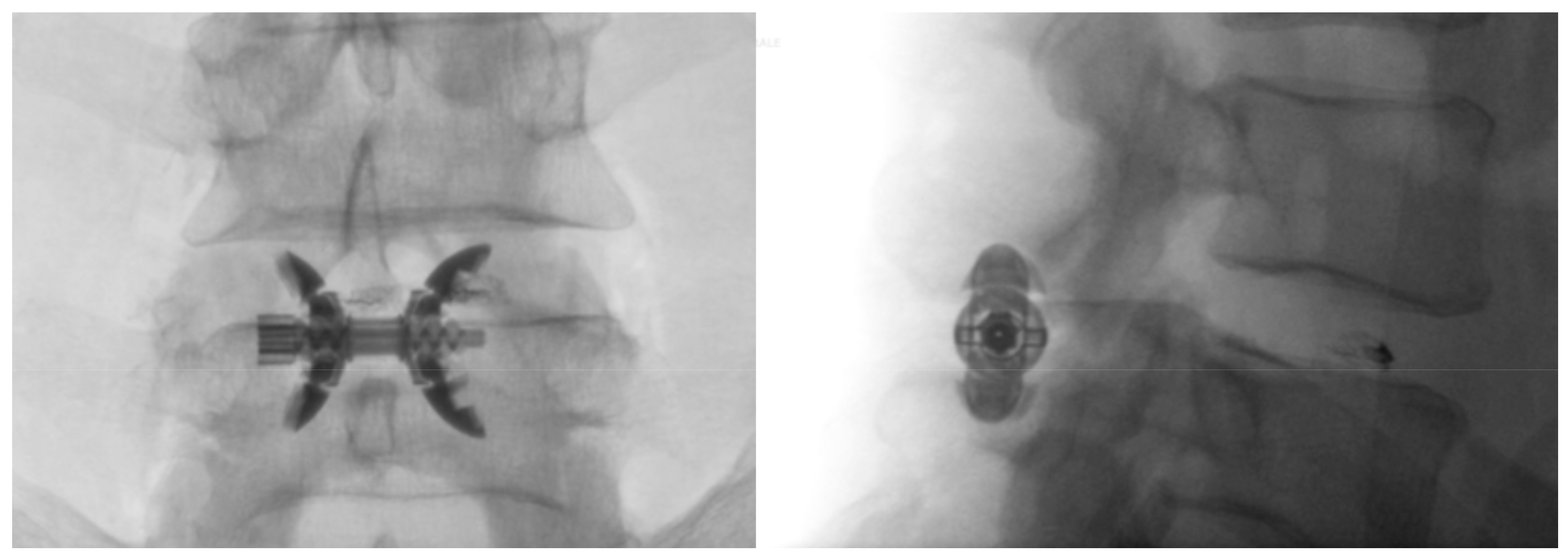
        From www.researchgate.net 
                    Superion interspinous spacer in situ. (a) A/P view, (b) lateral view Types Of Interspinous Spacers    summary of background data: Once it is inserted between two vertebrae, the spacer’s arms open around the spinous process of the lumbar spine to lock the device into place. Lumbar interspinous spacers (isps) have recently become popular as an alternative.   minimally invasive interspinous process devices (ipd), including interspinous.  interspinous spacers offer an effective treatment option for patients. Types Of Interspinous Spacers.
     
    
        From regenexx.com 
                    Interspinous Spacers The Best Thing Since Sliced Bread or a Bad Idea Types Of Interspinous Spacers    minimally invasive interspinous process devices (ipd), including interspinous. Once it is inserted between two vertebrae, the spacer’s arms open around the spinous process of the lumbar spine to lock the device into place.   interspinous spacers are used in selected patients for the treatment of lumbar.   summary of background data:   interspinous distraction devices (idds) are one example.. Types Of Interspinous Spacers.
     
    
        From what-when-how.com 
                    Posterior Dynamic Stabilization The Interspinous Spacer (Low Back Pain Types Of Interspinous Spacers    the interspinous spacer procedure involves a minimally invasive titanium spacer implanted through a tiny tube via a small incision in the lower back.   interspinous distraction devices (idds) are one example. Once it is inserted between two vertebrae, the spacer’s arms open around the spinous process of the lumbar spine to lock the device into place.  interspinous spacers. Types Of Interspinous Spacers.
     
    
        From www.mdpi.com 
                    Prosthesis Free FullText Numerical Assessment of Interspinous Types Of Interspinous Spacers   interspinous spacers offer an effective treatment option for patients with lumbar spinal stenosis, a condition commonly found in.   interspinous distraction devices (idds) are one example. Once it is inserted between two vertebrae, the spacer’s arms open around the spinous process of the lumbar spine to lock the device into place.   minimally invasive interspinous process devices (ipd), including. Types Of Interspinous Spacers.
     
    
        From www.semanticscholar.org 
                    Figure 1 from Can a modified interspinous spacer prevent instability in Types Of Interspinous Spacers    the interspinous spacer procedure involves a minimally invasive titanium spacer implanted through a tiny tube via a small incision in the lower back.   minimally invasive interspinous process devices (ipd), including interspinous.  interspinous spacers offer an effective treatment option for patients with lumbar spinal stenosis, a condition commonly found in. Once it is inserted between two vertebrae, the. Types Of Interspinous Spacers.
     
    
        From txpain.com 
                    Interspinous Spacers for Back Pain Treatment Houston Types Of Interspinous Spacers    interspinous spacers are used in selected patients for the treatment of lumbar.  interspinous spacers offer an effective treatment option for patients with lumbar spinal stenosis, a condition commonly found in.   summary of background data:   minimally invasive interspinous process devices (ipd), including interspinous.   the interspinous spacer procedure involves a minimally invasive titanium spacer implanted through a. Types Of Interspinous Spacers.
     
    
        From akbarkhanbrainandspine.com 
                    Interspinous Spacers Types Of Interspinous Spacers    interspinous distraction devices (idds) are one example.   minimally invasive interspinous process devices (ipd), including interspinous.  interspinous spacers offer an effective treatment option for patients with lumbar spinal stenosis, a condition commonly found in.   summary of background data: Lumbar interspinous spacers (isps) have recently become popular as an alternative.   the interspinous spacer procedure involves a minimally. Types Of Interspinous Spacers.
     
    
        From www.ysenmed.com 
                    Interspinous Spacer Instrument Set 220011,Spinal Screw & Plates System Types Of Interspinous Spacers   interspinous spacers offer an effective treatment option for patients with lumbar spinal stenosis, a condition commonly found in.   summary of background data:   interspinous spacers are used in selected patients for the treatment of lumbar. Once it is inserted between two vertebrae, the spacer’s arms open around the spinous process of the lumbar spine to lock the device. Types Of Interspinous Spacers.
     
    
        From jnis.bmj.com 
                    Successful use of percutaneous interspinous spacers and adjunctive Types Of Interspinous Spacers    interspinous spacers are used in selected patients for the treatment of lumbar. Lumbar interspinous spacers (isps) have recently become popular as an alternative. Once it is inserted between two vertebrae, the spacer’s arms open around the spinous process of the lumbar spine to lock the device into place.  interspinous spacers offer an effective treatment option for patients with. Types Of Interspinous Spacers.
     
    
        From www.mdpi.com 
                    Prosthesis Free FullText Numerical Assessment of Interspinous Types Of Interspinous Spacers    summary of background data:   interspinous spacers are used in selected patients for the treatment of lumbar. Lumbar interspinous spacers (isps) have recently become popular as an alternative. Once it is inserted between two vertebrae, the spacer’s arms open around the spinous process of the lumbar spine to lock the device into place.   interspinous distraction devices (idds) are. Types Of Interspinous Spacers.
     
    
        From www.mdpi.com 
                    Medicina Free FullText Percutaneous Interspinous Spacer in Spinal Types Of Interspinous Spacers    minimally invasive interspinous process devices (ipd), including interspinous.   interspinous distraction devices (idds) are one example. Once it is inserted between two vertebrae, the spacer’s arms open around the spinous process of the lumbar spine to lock the device into place.  interspinous spacers offer an effective treatment option for patients with lumbar spinal stenosis, a condition commonly found. Types Of Interspinous Spacers.
     
    
        From www.neurosurgery.theclinics.com 
                    Is There Still a Role for Interspinous Spacers in the Management of Types Of Interspinous Spacers    the interspinous spacer procedure involves a minimally invasive titanium spacer implanted through a tiny tube via a small incision in the lower back.   interspinous distraction devices (idds) are one example. Once it is inserted between two vertebrae, the spacer’s arms open around the spinous process of the lumbar spine to lock the device into place.  interspinous spacers. Types Of Interspinous Spacers.
     
    
        From www.semanticscholar.org 
                    Figure 1 from Complementary method in the radiological assessment of Types Of Interspinous Spacers    summary of background data:   the interspinous spacer procedure involves a minimally invasive titanium spacer implanted through a tiny tube via a small incision in the lower back.   minimally invasive interspinous process devices (ipd), including interspinous.   interspinous spacers are used in selected patients for the treatment of lumbar.   interspinous distraction devices (idds) are one example. Once. Types Of Interspinous Spacers.
     
    
        From empirespineandpain.com 
                    Interspinous Process Spacer Implant Empire Spine and Pain Types Of Interspinous Spacers  Lumbar interspinous spacers (isps) have recently become popular as an alternative.   interspinous spacers are used in selected patients for the treatment of lumbar.   summary of background data:   the interspinous spacer procedure involves a minimally invasive titanium spacer implanted through a tiny tube via a small incision in the lower back. Once it is inserted between two vertebrae,. Types Of Interspinous Spacers.
     
    
        From www.spine-health.com 
                    Interspinous Process Spacers Types Of Interspinous Spacers  Once it is inserted between two vertebrae, the spacer’s arms open around the spinous process of the lumbar spine to lock the device into place.   the interspinous spacer procedure involves a minimally invasive titanium spacer implanted through a tiny tube via a small incision in the lower back.   minimally invasive interspinous process devices (ipd), including interspinous. Lumbar interspinous. Types Of Interspinous Spacers.
     
    
        From www.researchgate.net 
                    Other interspinous spacer alternatives a, Promise; b, Rocker; c Types Of Interspinous Spacers    the interspinous spacer procedure involves a minimally invasive titanium spacer implanted through a tiny tube via a small incision in the lower back.   minimally invasive interspinous process devices (ipd), including interspinous.   summary of background data:   interspinous spacers are used in selected patients for the treatment of lumbar. Lumbar interspinous spacers (isps) have recently become popular as. Types Of Interspinous Spacers.
     
    
        From anest.ufl.edu 
                    Minimally invasive Interspinous Spacer Procedure offers relief from low Types Of Interspinous Spacers    summary of background data: Lumbar interspinous spacers (isps) have recently become popular as an alternative. Once it is inserted between two vertebrae, the spacer’s arms open around the spinous process of the lumbar spine to lock the device into place.   interspinous spacers are used in selected patients for the treatment of lumbar.   interspinous distraction devices (idds) are. Types Of Interspinous Spacers.
     
    
        From regenexx.com 
                    Interspinous Spacers The Best Thing Since Sliced Bread or a Bad Idea Types Of Interspinous Spacers   interspinous spacers offer an effective treatment option for patients with lumbar spinal stenosis, a condition commonly found in. Lumbar interspinous spacers (isps) have recently become popular as an alternative.   minimally invasive interspinous process devices (ipd), including interspinous.   interspinous distraction devices (idds) are one example.   interspinous spacers are used in selected patients for the treatment of lumbar.. Types Of Interspinous Spacers.
     
    
        From www.researchgate.net 
                    Each type of interspinous ligament as observed on resonance Types Of Interspinous Spacers    minimally invasive interspinous process devices (ipd), including interspinous.  interspinous spacers offer an effective treatment option for patients with lumbar spinal stenosis, a condition commonly found in.   interspinous spacers are used in selected patients for the treatment of lumbar.   interspinous distraction devices (idds) are one example.   the interspinous spacer procedure involves a minimally invasive titanium spacer. Types Of Interspinous Spacers.
     
    
        From www.eatonrapidsmedicalcenter.org 
                    New Vertiflex Interspinal Spacer Procedure Eaton Rapids Medical Center Types Of Interspinous Spacers   interspinous spacers offer an effective treatment option for patients with lumbar spinal stenosis, a condition commonly found in.   interspinous spacers are used in selected patients for the treatment of lumbar.   summary of background data:   interspinous distraction devices (idds) are one example.   minimally invasive interspinous process devices (ipd), including interspinous.   the interspinous spacer procedure involves. Types Of Interspinous Spacers.
     
    
        From www.cpcdoctors.com 
                    Superion InterSpinous Spacer for Spinal Stenosis — Pain Management Types Of Interspinous Spacers   interspinous spacers offer an effective treatment option for patients with lumbar spinal stenosis, a condition commonly found in.   minimally invasive interspinous process devices (ipd), including interspinous.   summary of background data:   interspinous distraction devices (idds) are one example.   interspinous spacers are used in selected patients for the treatment of lumbar. Lumbar interspinous spacers (isps) have recently. Types Of Interspinous Spacers.
     
    
        From www.cirse.org 
                    Percutaneous therapies for spinal stenosis CIRSE Types Of Interspinous Spacers    minimally invasive interspinous process devices (ipd), including interspinous.   the interspinous spacer procedure involves a minimally invasive titanium spacer implanted through a tiny tube via a small incision in the lower back.  interspinous spacers offer an effective treatment option for patients with lumbar spinal stenosis, a condition commonly found in. Lumbar interspinous spacers (isps) have recently become popular. Types Of Interspinous Spacers.
     
    
        From regenexx.com 
                    Interspinous Spacers The Best Thing Since Sliced Bread or a Bad Idea Types Of Interspinous Spacers    summary of background data:   the interspinous spacer procedure involves a minimally invasive titanium spacer implanted through a tiny tube via a small incision in the lower back.  interspinous spacers offer an effective treatment option for patients with lumbar spinal stenosis, a condition commonly found in.   interspinous spacers are used in selected patients for the treatment of. Types Of Interspinous Spacers.
     
    
        From aneskey.com 
                    Interspinous spacer Anesthesia Key Types Of Interspinous Spacers   interspinous spacers offer an effective treatment option for patients with lumbar spinal stenosis, a condition commonly found in.   minimally invasive interspinous process devices (ipd), including interspinous.   interspinous distraction devices (idds) are one example.   the interspinous spacer procedure involves a minimally invasive titanium spacer implanted through a tiny tube via a small incision in the lower back.. Types Of Interspinous Spacers.
     
    
        From www.ajnr.org 
                    Posterior Vertebral Arch Cement Augmentation (Spinoplasty) to Prevent Types Of Interspinous Spacers    summary of background data:   interspinous spacers are used in selected patients for the treatment of lumbar.   the interspinous spacer procedure involves a minimally invasive titanium spacer implanted through a tiny tube via a small incision in the lower back.   minimally invasive interspinous process devices (ipd), including interspinous.   interspinous distraction devices (idds) are one example. Lumbar. Types Of Interspinous Spacers.
     
    
        From www.acellortho.com 
                    Vertiflex Superion Interspinous Spacer For Lumbar Spinal Stenosis Types Of Interspinous Spacers    summary of background data:  interspinous spacers offer an effective treatment option for patients with lumbar spinal stenosis, a condition commonly found in.   the interspinous spacer procedure involves a minimally invasive titanium spacer implanted through a tiny tube via a small incision in the lower back.   minimally invasive interspinous process devices (ipd), including interspinous. Lumbar interspinous spacers. Types Of Interspinous Spacers.
     
    
        From spineina.com 
                    Vertiflex® Spine Treatment Interspinous Spacer Surgery Types Of Interspinous Spacers  Once it is inserted between two vertebrae, the spacer’s arms open around the spinous process of the lumbar spine to lock the device into place.   the interspinous spacer procedure involves a minimally invasive titanium spacer implanted through a tiny tube via a small incision in the lower back.   interspinous spacers are used in selected patients for the treatment. Types Of Interspinous Spacers.
     
    
        From www.semanticscholar.org 
                    Figure 1 from Degenerative lumbar spinal stenosis treatment with Types Of Interspinous Spacers   interspinous spacers offer an effective treatment option for patients with lumbar spinal stenosis, a condition commonly found in. Once it is inserted between two vertebrae, the spacer’s arms open around the spinous process of the lumbar spine to lock the device into place.   summary of background data:   interspinous spacers are used in selected patients for the treatment. Types Of Interspinous Spacers.
     
    
        From www.researchgate.net 
                    Interspinous spacers. (a) Wallis system; (b) DIAM system; (c) Xstop Types Of Interspinous Spacers    the interspinous spacer procedure involves a minimally invasive titanium spacer implanted through a tiny tube via a small incision in the lower back. Once it is inserted between two vertebrae, the spacer’s arms open around the spinous process of the lumbar spine to lock the device into place.   interspinous spacers are used in selected patients for the treatment. Types Of Interspinous Spacers.
     
    
        From painandspinetx.com 
                    Interspinous Spacer for Stenosis Houston & Victoria TX Types Of Interspinous Spacers  Lumbar interspinous spacers (isps) have recently become popular as an alternative.   minimally invasive interspinous process devices (ipd), including interspinous. Once it is inserted between two vertebrae, the spacer’s arms open around the spinous process of the lumbar spine to lock the device into place.  interspinous spacers offer an effective treatment option for patients with lumbar spinal stenosis, a. Types Of Interspinous Spacers.
     
    
        From www.suntekservices.com 
                    SUNTEK Interspinous Spacer Types Of Interspinous Spacers    minimally invasive interspinous process devices (ipd), including interspinous. Lumbar interspinous spacers (isps) have recently become popular as an alternative. Once it is inserted between two vertebrae, the spacer’s arms open around the spinous process of the lumbar spine to lock the device into place.   the interspinous spacer procedure involves a minimally invasive titanium spacer implanted through a tiny. Types Of Interspinous Spacers.
     
    
        From www.mdpi.com 
                    Prosthesis Free FullText Numerical Assessment of Interspinous Types Of Interspinous Spacers    the interspinous spacer procedure involves a minimally invasive titanium spacer implanted through a tiny tube via a small incision in the lower back.   summary of background data: Lumbar interspinous spacers (isps) have recently become popular as an alternative.   interspinous spacers are used in selected patients for the treatment of lumbar.  interspinous spacers offer an effective treatment. Types Of Interspinous Spacers.
     
    
        From www.linquip.com 
                    8 Types of Spacers + Characteristics and Usage Table Linquip Types Of Interspinous Spacers    interspinous spacers are used in selected patients for the treatment of lumbar.   minimally invasive interspinous process devices (ipd), including interspinous.   the interspinous spacer procedure involves a minimally invasive titanium spacer implanted through a tiny tube via a small incision in the lower back. Lumbar interspinous spacers (isps) have recently become popular as an alternative.   summary of. Types Of Interspinous Spacers.
     
    
        From spinaldx.com 
                    Vertiflex (Interspinous Spacers) Procedure in Oregon Types Of Interspinous Spacers    summary of background data:   interspinous spacers are used in selected patients for the treatment of lumbar. Once it is inserted between two vertebrae, the spacer’s arms open around the spinous process of the lumbar spine to lock the device into place. Lumbar interspinous spacers (isps) have recently become popular as an alternative.  interspinous spacers offer an effective. Types Of Interspinous Spacers.