Peanut Aspiration X Ray . The most common clinical finding identified in patients who underwent bronchoscopy for fba was the presence of abnormal lung. Patient stated that she has. Some nuts, such as peanuts, have an oil that leads to inflammation. The most frequently aspirated foreign bodies are food (especially nuts), teeth, dental devices and medical instruments.
from www.pinterest.com
The most frequently aspirated foreign bodies are food (especially nuts), teeth, dental devices and medical instruments. Some nuts, such as peanuts, have an oil that leads to inflammation. The most common clinical finding identified in patients who underwent bronchoscopy for fba was the presence of abnormal lung. Patient stated that she has.
Aspirated Foreign Body (peanut). Upper photo There is unilateral
Peanut Aspiration X Ray The most frequently aspirated foreign bodies are food (especially nuts), teeth, dental devices and medical instruments. Patient stated that she has. The most frequently aspirated foreign bodies are food (especially nuts), teeth, dental devices and medical instruments. The most common clinical finding identified in patients who underwent bronchoscopy for fba was the presence of abnormal lung. Some nuts, such as peanuts, have an oil that leads to inflammation.
From casereports.bmj.com
Peanut aspiration leading to pneumorrhachis in a preschooler BMJ Peanut Aspiration X Ray The most common clinical finding identified in patients who underwent bronchoscopy for fba was the presence of abnormal lung. Some nuts, such as peanuts, have an oil that leads to inflammation. Patient stated that she has. The most frequently aspirated foreign bodies are food (especially nuts), teeth, dental devices and medical instruments. Peanut Aspiration X Ray.
From healthjade.net
Foreign body aspiration causes, symptoms, diagnosis, treatment & prognosis Peanut Aspiration X Ray Some nuts, such as peanuts, have an oil that leads to inflammation. The most frequently aspirated foreign bodies are food (especially nuts), teeth, dental devices and medical instruments. Patient stated that she has. The most common clinical finding identified in patients who underwent bronchoscopy for fba was the presence of abnormal lung. Peanut Aspiration X Ray.
From pressbooks.pub
Foreign Body Ingestion/Aspiration Undergraduate Diagnostic Imaging Peanut Aspiration X Ray The most common clinical finding identified in patients who underwent bronchoscopy for fba was the presence of abnormal lung. Some nuts, such as peanuts, have an oil that leads to inflammation. The most frequently aspirated foreign bodies are food (especially nuts), teeth, dental devices and medical instruments. Patient stated that she has. Peanut Aspiration X Ray.
From www.researchgate.net
(PDF) Peanut aspiration leading to pneumorrhachis in a preschooler Peanut Aspiration X Ray Some nuts, such as peanuts, have an oil that leads to inflammation. The most common clinical finding identified in patients who underwent bronchoscopy for fba was the presence of abnormal lung. Patient stated that she has. The most frequently aspirated foreign bodies are food (especially nuts), teeth, dental devices and medical instruments. Peanut Aspiration X Ray.
From www.cmaj.ca
Accidental barium bronchography CMAJ Peanut Aspiration X Ray Patient stated that she has. The most common clinical finding identified in patients who underwent bronchoscopy for fba was the presence of abnormal lung. The most frequently aspirated foreign bodies are food (especially nuts), teeth, dental devices and medical instruments. Some nuts, such as peanuts, have an oil that leads to inflammation. Peanut Aspiration X Ray.
From www.emdocs.net
Emergency Medicine EducationAspiration Syndromes ED Peanut Aspiration X Ray The most frequently aspirated foreign bodies are food (especially nuts), teeth, dental devices and medical instruments. Some nuts, such as peanuts, have an oil that leads to inflammation. The most common clinical finding identified in patients who underwent bronchoscopy for fba was the presence of abnormal lung. Patient stated that she has. Peanut Aspiration X Ray.
From www.ankitparakh.com
Foreign Body in Child’s Airway!! Dr. Ankit Parakh Peanut Aspiration X Ray The most common clinical finding identified in patients who underwent bronchoscopy for fba was the presence of abnormal lung. Some nuts, such as peanuts, have an oil that leads to inflammation. Patient stated that she has. The most frequently aspirated foreign bodies are food (especially nuts), teeth, dental devices and medical instruments. Peanut Aspiration X Ray.
From www.researchgate.net
(PDF) Chest X Ray Examination of Aspirated Peanut in Children Is it Peanut Aspiration X Ray Some nuts, such as peanuts, have an oil that leads to inflammation. The most frequently aspirated foreign bodies are food (especially nuts), teeth, dental devices and medical instruments. The most common clinical finding identified in patients who underwent bronchoscopy for fba was the presence of abnormal lung. Patient stated that she has. Peanut Aspiration X Ray.
From www.youtube.com
Bronchoscopic Retrieval of Aspirated Tracheo Bronchial Foreign body Peanut Aspiration X Ray Some nuts, such as peanuts, have an oil that leads to inflammation. The most common clinical finding identified in patients who underwent bronchoscopy for fba was the presence of abnormal lung. Patient stated that she has. The most frequently aspirated foreign bodies are food (especially nuts), teeth, dental devices and medical instruments. Peanut Aspiration X Ray.
From ar.inspiredpencil.com
Foreign Body Emphysema Peanut Aspiration X Ray The most frequently aspirated foreign bodies are food (especially nuts), teeth, dental devices and medical instruments. Patient stated that she has. Some nuts, such as peanuts, have an oil that leads to inflammation. The most common clinical finding identified in patients who underwent bronchoscopy for fba was the presence of abnormal lung. Peanut Aspiration X Ray.
From www.researchgate.net
(PDF) Chest X Ray Examination of Aspirated Peanut in Children Is it Peanut Aspiration X Ray The most frequently aspirated foreign bodies are food (especially nuts), teeth, dental devices and medical instruments. Some nuts, such as peanuts, have an oil that leads to inflammation. Patient stated that she has. The most common clinical finding identified in patients who underwent bronchoscopy for fba was the presence of abnormal lung. Peanut Aspiration X Ray.
From www.researchgate.net
(PDF) Peanut Aspiration Flexible Bronchoscope Removal of Peanut with Peanut Aspiration X Ray The most common clinical finding identified in patients who underwent bronchoscopy for fba was the presence of abnormal lung. The most frequently aspirated foreign bodies are food (especially nuts), teeth, dental devices and medical instruments. Patient stated that she has. Some nuts, such as peanuts, have an oil that leads to inflammation. Peanut Aspiration X Ray.
From www.mcgill.ca
15 Aspirated peanut Maude Abbott Medical Museum McGill University Peanut Aspiration X Ray Some nuts, such as peanuts, have an oil that leads to inflammation. The most common clinical finding identified in patients who underwent bronchoscopy for fba was the presence of abnormal lung. The most frequently aspirated foreign bodies are food (especially nuts), teeth, dental devices and medical instruments. Patient stated that she has. Peanut Aspiration X Ray.
From slidetodoc.com
Airway Disease Airway Disease Airway obstruction increased volume Peanut Aspiration X Ray Some nuts, such as peanuts, have an oil that leads to inflammation. The most frequently aspirated foreign bodies are food (especially nuts), teeth, dental devices and medical instruments. Patient stated that she has. The most common clinical finding identified in patients who underwent bronchoscopy for fba was the presence of abnormal lung. Peanut Aspiration X Ray.
From www.slideserve.com
PPT Practical approach to the pediatric chest Xray PowerPoint Peanut Aspiration X Ray Some nuts, such as peanuts, have an oil that leads to inflammation. The most frequently aspirated foreign bodies are food (especially nuts), teeth, dental devices and medical instruments. Patient stated that she has. The most common clinical finding identified in patients who underwent bronchoscopy for fba was the presence of abnormal lung. Peanut Aspiration X Ray.
From casereports.bmj.com
Multiple foreign body aspiration Goussard et al. 2017 BMJ Case Peanut Aspiration X Ray The most common clinical finding identified in patients who underwent bronchoscopy for fba was the presence of abnormal lung. Patient stated that she has. Some nuts, such as peanuts, have an oil that leads to inflammation. The most frequently aspirated foreign bodies are food (especially nuts), teeth, dental devices and medical instruments. Peanut Aspiration X Ray.
From jetem.org
Pediatric Foreign Body Aspiration JETem Peanut Aspiration X Ray The most common clinical finding identified in patients who underwent bronchoscopy for fba was the presence of abnormal lung. Some nuts, such as peanuts, have an oil that leads to inflammation. The most frequently aspirated foreign bodies are food (especially nuts), teeth, dental devices and medical instruments. Patient stated that she has. Peanut Aspiration X Ray.
From mungfali.com
Foreign Body Aspiration X Ray Peanut Aspiration X Ray Patient stated that she has. Some nuts, such as peanuts, have an oil that leads to inflammation. The most frequently aspirated foreign bodies are food (especially nuts), teeth, dental devices and medical instruments. The most common clinical finding identified in patients who underwent bronchoscopy for fba was the presence of abnormal lung. Peanut Aspiration X Ray.
From www.slideserve.com
PPT Airway Disease PowerPoint Presentation, free download ID1836815 Peanut Aspiration X Ray Some nuts, such as peanuts, have an oil that leads to inflammation. The most frequently aspirated foreign bodies are food (especially nuts), teeth, dental devices and medical instruments. Patient stated that she has. The most common clinical finding identified in patients who underwent bronchoscopy for fba was the presence of abnormal lung. Peanut Aspiration X Ray.
From www.radrounds.com
Foreign body aspiration CXR exp 1 of 2 radRounds Radiology Network Peanut Aspiration X Ray Patient stated that she has. The most frequently aspirated foreign bodies are food (especially nuts), teeth, dental devices and medical instruments. Some nuts, such as peanuts, have an oil that leads to inflammation. The most common clinical finding identified in patients who underwent bronchoscopy for fba was the presence of abnormal lung. Peanut Aspiration X Ray.
From casereports.bmj.com
Peanut aspiration leading to pneumorrhachis in a preschooler BMJ Peanut Aspiration X Ray Some nuts, such as peanuts, have an oil that leads to inflammation. Patient stated that she has. The most common clinical finding identified in patients who underwent bronchoscopy for fba was the presence of abnormal lung. The most frequently aspirated foreign bodies are food (especially nuts), teeth, dental devices and medical instruments. Peanut Aspiration X Ray.
From casereports.bmj.com
Peanut aspiration leading to pneumorrhachis in a preschooler BMJ Peanut Aspiration X Ray Patient stated that she has. Some nuts, such as peanuts, have an oil that leads to inflammation. The most common clinical finding identified in patients who underwent bronchoscopy for fba was the presence of abnormal lung. The most frequently aspirated foreign bodies are food (especially nuts), teeth, dental devices and medical instruments. Peanut Aspiration X Ray.
From www.cureus.com
Subtle Crucial XRay Findings in Pediatric Foreign Body Aspiration Cureus Peanut Aspiration X Ray Some nuts, such as peanuts, have an oil that leads to inflammation. The most frequently aspirated foreign bodies are food (especially nuts), teeth, dental devices and medical instruments. The most common clinical finding identified in patients who underwent bronchoscopy for fba was the presence of abnormal lung. Patient stated that she has. Peanut Aspiration X Ray.
From www.flickr.com
Aspirated peanut Aspirated peanut in a young child causing… Flickr Peanut Aspiration X Ray The most frequently aspirated foreign bodies are food (especially nuts), teeth, dental devices and medical instruments. Some nuts, such as peanuts, have an oil that leads to inflammation. Patient stated that she has. The most common clinical finding identified in patients who underwent bronchoscopy for fba was the presence of abnormal lung. Peanut Aspiration X Ray.
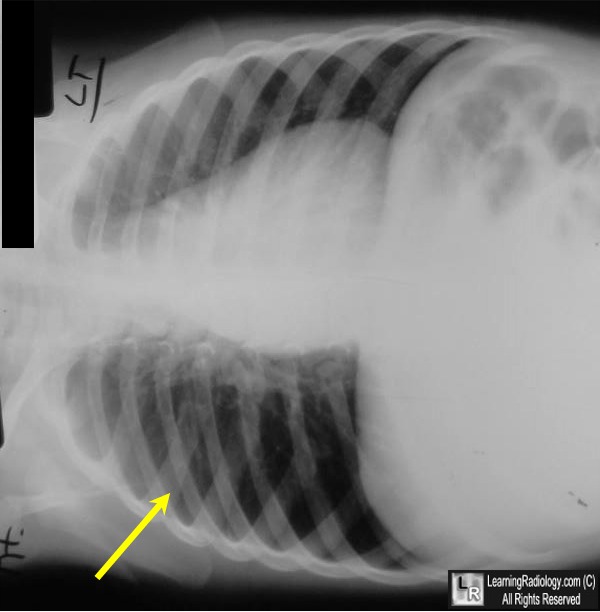
From www.learningradiology.com
LearningRadiology Peanut Aspiration X Ray Patient stated that she has. The most common clinical finding identified in patients who underwent bronchoscopy for fba was the presence of abnormal lung. Some nuts, such as peanuts, have an oil that leads to inflammation. The most frequently aspirated foreign bodies are food (especially nuts), teeth, dental devices and medical instruments. Peanut Aspiration X Ray.
From pubs.rsna.org
Aspiration Diseases Findings, Pitfalls, and Differential Diagnosis Peanut Aspiration X Ray The most common clinical finding identified in patients who underwent bronchoscopy for fba was the presence of abnormal lung. The most frequently aspirated foreign bodies are food (especially nuts), teeth, dental devices and medical instruments. Some nuts, such as peanuts, have an oil that leads to inflammation. Patient stated that she has. Peanut Aspiration X Ray.
From mungfali.com
Foreign Body Aspiration X Ray Peanut Aspiration X Ray Patient stated that she has. The most frequently aspirated foreign bodies are food (especially nuts), teeth, dental devices and medical instruments. Some nuts, such as peanuts, have an oil that leads to inflammation. The most common clinical finding identified in patients who underwent bronchoscopy for fba was the presence of abnormal lung. Peanut Aspiration X Ray.
From www.pinterest.com
Aspirated Foreign Body (peanut). Upper photo There is unilateral Peanut Aspiration X Ray Patient stated that she has. The most frequently aspirated foreign bodies are food (especially nuts), teeth, dental devices and medical instruments. Some nuts, such as peanuts, have an oil that leads to inflammation. The most common clinical finding identified in patients who underwent bronchoscopy for fba was the presence of abnormal lung. Peanut Aspiration X Ray.
From maipeyy.blogspot.com
Foreign Body Aspiration Pediatrics / Foreign Body Aspiration Calgary Peanut Aspiration X Ray Some nuts, such as peanuts, have an oil that leads to inflammation. The most frequently aspirated foreign bodies are food (especially nuts), teeth, dental devices and medical instruments. Patient stated that she has. The most common clinical finding identified in patients who underwent bronchoscopy for fba was the presence of abnormal lung. Peanut Aspiration X Ray.
From www.flickr.com
Aspirated peanut Lung Aspirated peanut Elderly male wi… Flickr Peanut Aspiration X Ray Patient stated that she has. The most common clinical finding identified in patients who underwent bronchoscopy for fba was the presence of abnormal lung. The most frequently aspirated foreign bodies are food (especially nuts), teeth, dental devices and medical instruments. Some nuts, such as peanuts, have an oil that leads to inflammation. Peanut Aspiration X Ray.
From www.researchgate.net
(PDF) Images in anesthesia Airway obstruction after peanut aspiration Peanut Aspiration X Ray The most frequently aspirated foreign bodies are food (especially nuts), teeth, dental devices and medical instruments. Patient stated that she has. Some nuts, such as peanuts, have an oil that leads to inflammation. The most common clinical finding identified in patients who underwent bronchoscopy for fba was the presence of abnormal lung. Peanut Aspiration X Ray.
From mungfali.com
Foreign Body Aspiration X Ray Peanut Aspiration X Ray Some nuts, such as peanuts, have an oil that leads to inflammation. The most frequently aspirated foreign bodies are food (especially nuts), teeth, dental devices and medical instruments. The most common clinical finding identified in patients who underwent bronchoscopy for fba was the presence of abnormal lung. Patient stated that she has. Peanut Aspiration X Ray.
From www.lecturio.com
Aspiração de Corpo Estranho Concise Medical Knowledge Peanut Aspiration X Ray Patient stated that she has. The most frequently aspirated foreign bodies are food (especially nuts), teeth, dental devices and medical instruments. Some nuts, such as peanuts, have an oil that leads to inflammation. The most common clinical finding identified in patients who underwent bronchoscopy for fba was the presence of abnormal lung. Peanut Aspiration X Ray.
From www.emdocs.net
Emergency Medicine EducationAspiration Syndromes ED Peanut Aspiration X Ray The most frequently aspirated foreign bodies are food (especially nuts), teeth, dental devices and medical instruments. Some nuts, such as peanuts, have an oil that leads to inflammation. The most common clinical finding identified in patients who underwent bronchoscopy for fba was the presence of abnormal lung. Patient stated that she has. Peanut Aspiration X Ray.
From radiopaedia.org
Foreign body in airway Image Peanut Aspiration X Ray Some nuts, such as peanuts, have an oil that leads to inflammation. The most common clinical finding identified in patients who underwent bronchoscopy for fba was the presence of abnormal lung. Patient stated that she has. The most frequently aspirated foreign bodies are food (especially nuts), teeth, dental devices and medical instruments. Peanut Aspiration X Ray.