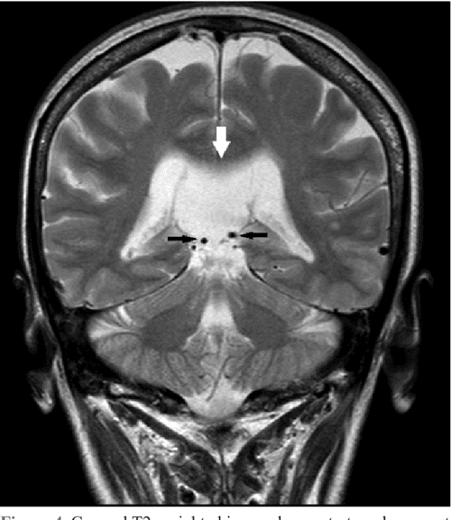
Cavum Velum Interpositum Location . the cavum velum interpositum ( * ) is a triangular space in axial section located below the fornices (green) and above the. normal sonographic and mr appearance of the cavum velum interpositum. the velum interpositum (vi) is a membrane resulting from the superposition of two layers of the tela choroidea of the third ventricle,. cavum veli interpositi is a rare anatomical variation characterized by an enlarged space within the velum. The column of the fornix (small arrow) separates it from the cavum septi pellucidi and the cavum vergae. The midsagittal view allows correct visualization of the cyst (c), which is located below the splenium of the corpus callosum (large arrow); the velum interpositum (vi) is a membrane resulting from the superposition of 2 layers of the tela choroidea of the. cavum veli interpositi cyst: the cavum velum interpositum (cvi), considered a normal variant, is a true cistern situated above.
from ar.inspiredpencil.com
The midsagittal view allows correct visualization of the cyst (c), which is located below the splenium of the corpus callosum (large arrow); cavum veli interpositi cyst: cavum veli interpositi is a rare anatomical variation characterized by an enlarged space within the velum. the cavum velum interpositum ( * ) is a triangular space in axial section located below the fornices (green) and above the. the cavum velum interpositum (cvi), considered a normal variant, is a true cistern situated above. The column of the fornix (small arrow) separates it from the cavum septi pellucidi and the cavum vergae. normal sonographic and mr appearance of the cavum velum interpositum. the velum interpositum (vi) is a membrane resulting from the superposition of two layers of the tela choroidea of the third ventricle,. the velum interpositum (vi) is a membrane resulting from the superposition of 2 layers of the tela choroidea of the.
Cavum Velum Interpositum Ultrasound
Cavum Velum Interpositum Location normal sonographic and mr appearance of the cavum velum interpositum. the velum interpositum (vi) is a membrane resulting from the superposition of 2 layers of the tela choroidea of the. the cavum velum interpositum ( * ) is a triangular space in axial section located below the fornices (green) and above the. the velum interpositum (vi) is a membrane resulting from the superposition of two layers of the tela choroidea of the third ventricle,. the cavum velum interpositum (cvi), considered a normal variant, is a true cistern situated above. cavum veli interpositi is a rare anatomical variation characterized by an enlarged space within the velum. The midsagittal view allows correct visualization of the cyst (c), which is located below the splenium of the corpus callosum (large arrow); normal sonographic and mr appearance of the cavum velum interpositum. cavum veli interpositi cyst: The column of the fornix (small arrow) separates it from the cavum septi pellucidi and the cavum vergae.
From ar.inspiredpencil.com
Cavum Velum Interpositum Ultrasound Cavum Velum Interpositum Location cavum veli interpositi cyst: The midsagittal view allows correct visualization of the cyst (c), which is located below the splenium of the corpus callosum (large arrow); cavum veli interpositi is a rare anatomical variation characterized by an enlarged space within the velum. the velum interpositum (vi) is a membrane resulting from the superposition of two layers of. Cavum Velum Interpositum Location.
From ar.inspiredpencil.com
Cavum Velum Interpositum Ultrasound Cavum Velum Interpositum Location cavum veli interpositi is a rare anatomical variation characterized by an enlarged space within the velum. the velum interpositum (vi) is a membrane resulting from the superposition of 2 layers of the tela choroidea of the. the cavum velum interpositum (cvi), considered a normal variant, is a true cistern situated above. The midsagittal view allows correct visualization. Cavum Velum Interpositum Location.
From www.semanticscholar.org
Figure 2 from Arachnoid cyst of the cavum velum interpositum associated Cavum Velum Interpositum Location the cavum velum interpositum (cvi), considered a normal variant, is a true cistern situated above. The midsagittal view allows correct visualization of the cyst (c), which is located below the splenium of the corpus callosum (large arrow); The column of the fornix (small arrow) separates it from the cavum septi pellucidi and the cavum vergae. cavum veli interpositi. Cavum Velum Interpositum Location.
From www.semanticscholar.org
Cavum veli interpositi Why this anatomical variant exists? Semantic Cavum Velum Interpositum Location The column of the fornix (small arrow) separates it from the cavum septi pellucidi and the cavum vergae. cavum veli interpositi cyst: the velum interpositum (vi) is a membrane resulting from the superposition of 2 layers of the tela choroidea of the. the velum interpositum (vi) is a membrane resulting from the superposition of two layers of. Cavum Velum Interpositum Location.
From www.ncbi.nlm.nih.gov
Cavum Veli Interpositi StatPearls NCBI Bookshelf Cavum Velum Interpositum Location the cavum velum interpositum (cvi), considered a normal variant, is a true cistern situated above. The column of the fornix (small arrow) separates it from the cavum septi pellucidi and the cavum vergae. normal sonographic and mr appearance of the cavum velum interpositum. the velum interpositum (vi) is a membrane resulting from the superposition of 2 layers. Cavum Velum Interpositum Location.
From ar.inspiredpencil.com
Cavum Velum Interpositum Ultrasound Cavum Velum Interpositum Location cavum veli interpositi is a rare anatomical variation characterized by an enlarged space within the velum. normal sonographic and mr appearance of the cavum velum interpositum. The midsagittal view allows correct visualization of the cyst (c), which is located below the splenium of the corpus callosum (large arrow); the cavum velum interpositum ( * ) is a. Cavum Velum Interpositum Location.
From ar.inspiredpencil.com
Cavum Velum Interpositum Ultrasound Cavum Velum Interpositum Location the cavum velum interpositum ( * ) is a triangular space in axial section located below the fornices (green) and above the. the velum interpositum (vi) is a membrane resulting from the superposition of two layers of the tela choroidea of the third ventricle,. The midsagittal view allows correct visualization of the cyst (c), which is located below. Cavum Velum Interpositum Location.
From radiopaedia.org
Cavum velum interpositum cyst Image Cavum Velum Interpositum Location The midsagittal view allows correct visualization of the cyst (c), which is located below the splenium of the corpus callosum (large arrow); the velum interpositum (vi) is a membrane resulting from the superposition of 2 layers of the tela choroidea of the. the velum interpositum (vi) is a membrane resulting from the superposition of two layers of the. Cavum Velum Interpositum Location.
From www.dovepress.com
A unique finding of cavum velum interpositum colloidlike cyst and lit Cavum Velum Interpositum Location the velum interpositum (vi) is a membrane resulting from the superposition of two layers of the tela choroidea of the third ventricle,. normal sonographic and mr appearance of the cavum velum interpositum. cavum veli interpositi cyst: the velum interpositum (vi) is a membrane resulting from the superposition of 2 layers of the tela choroidea of the.. Cavum Velum Interpositum Location.
From radiopaedia.org
Cavum velum interpositum Image Cavum Velum Interpositum Location the velum interpositum (vi) is a membrane resulting from the superposition of 2 layers of the tela choroidea of the. cavum veli interpositi cyst: normal sonographic and mr appearance of the cavum velum interpositum. the cavum velum interpositum (cvi), considered a normal variant, is a true cistern situated above. the cavum velum interpositum ( *. Cavum Velum Interpositum Location.
From www.ncbi.nlm.nih.gov
Cavum Veli Interpositi StatPearls NCBI Bookshelf Cavum Velum Interpositum Location the velum interpositum (vi) is a membrane resulting from the superposition of two layers of the tela choroidea of the third ventricle,. cavum veli interpositi cyst: the velum interpositum (vi) is a membrane resulting from the superposition of 2 layers of the tela choroidea of the. the cavum velum interpositum (cvi), considered a normal variant, is. Cavum Velum Interpositum Location.
From animalia-life.club
Cavum Velum Interpositum Ultrasound Cavum Velum Interpositum Location the velum interpositum (vi) is a membrane resulting from the superposition of two layers of the tela choroidea of the third ventricle,. The column of the fornix (small arrow) separates it from the cavum septi pellucidi and the cavum vergae. cavum veli interpositi cyst: the velum interpositum (vi) is a membrane resulting from the superposition of 2. Cavum Velum Interpositum Location.
From www.semanticscholar.org
Figure 1 from Arachnoid Cyst of the Cavum Velum Interpositum in a Cavum Velum Interpositum Location the velum interpositum (vi) is a membrane resulting from the superposition of 2 layers of the tela choroidea of the. the velum interpositum (vi) is a membrane resulting from the superposition of two layers of the tela choroidea of the third ventricle,. the cavum velum interpositum ( * ) is a triangular space in axial section located. Cavum Velum Interpositum Location.
From www.semanticscholar.org
Figure 1 from Cavum velum interpositum cyst causing symptomatic trapped Cavum Velum Interpositum Location The midsagittal view allows correct visualization of the cyst (c), which is located below the splenium of the corpus callosum (large arrow); the velum interpositum (vi) is a membrane resulting from the superposition of 2 layers of the tela choroidea of the. The column of the fornix (small arrow) separates it from the cavum septi pellucidi and the cavum. Cavum Velum Interpositum Location.
From ar.inspiredpencil.com
Cavum Velum Interpositum Ultrasound Cavum Velum Interpositum Location the cavum velum interpositum (cvi), considered a normal variant, is a true cistern situated above. cavum veli interpositi cyst: The midsagittal view allows correct visualization of the cyst (c), which is located below the splenium of the corpus callosum (large arrow); normal sonographic and mr appearance of the cavum velum interpositum. the velum interpositum (vi) is. Cavum Velum Interpositum Location.
From www.researchgate.net
Presented case illustrated in coronal section CSP Cavum septum Cavum Velum Interpositum Location cavum veli interpositi is a rare anatomical variation characterized by an enlarged space within the velum. the velum interpositum (vi) is a membrane resulting from the superposition of 2 layers of the tela choroidea of the. The midsagittal view allows correct visualization of the cyst (c), which is located below the splenium of the corpus callosum (large arrow);. Cavum Velum Interpositum Location.
From www.semanticscholar.org
Figure 1 from Arachnoid Cyst of the Cavum Velum Interpositum in a Cavum Velum Interpositum Location cavum veli interpositi cyst: the cavum velum interpositum ( * ) is a triangular space in axial section located below the fornices (green) and above the. The midsagittal view allows correct visualization of the cyst (c), which is located below the splenium of the corpus callosum (large arrow); The column of the fornix (small arrow) separates it from. Cavum Velum Interpositum Location.
From radiopaedia.org
Cavum velum interpositum Image Cavum Velum Interpositum Location normal sonographic and mr appearance of the cavum velum interpositum. The column of the fornix (small arrow) separates it from the cavum septi pellucidi and the cavum vergae. The midsagittal view allows correct visualization of the cyst (c), which is located below the splenium of the corpus callosum (large arrow); the velum interpositum (vi) is a membrane resulting. Cavum Velum Interpositum Location.
From www.researchgate.net
Cavum Velum Interpositum. T2WI shows slitlike triangular shaped Cavum Velum Interpositum Location the cavum velum interpositum (cvi), considered a normal variant, is a true cistern situated above. normal sonographic and mr appearance of the cavum velum interpositum. The column of the fornix (small arrow) separates it from the cavum septi pellucidi and the cavum vergae. the velum interpositum (vi) is a membrane resulting from the superposition of 2 layers. Cavum Velum Interpositum Location.
From ar.inspiredpencil.com
Cavum Velum Interpositum Ultrasound Cavum Velum Interpositum Location The column of the fornix (small arrow) separates it from the cavum septi pellucidi and the cavum vergae. cavum veli interpositi cyst: the cavum velum interpositum ( * ) is a triangular space in axial section located below the fornices (green) and above the. normal sonographic and mr appearance of the cavum velum interpositum. cavum veli. Cavum Velum Interpositum Location.
From ar.inspiredpencil.com
Cavum Velum Interpositum Ultrasound Cavum Velum Interpositum Location the cavum velum interpositum ( * ) is a triangular space in axial section located below the fornices (green) and above the. cavum veli interpositi cyst: the velum interpositum (vi) is a membrane resulting from the superposition of two layers of the tela choroidea of the third ventricle,. cavum veli interpositi is a rare anatomical variation. Cavum Velum Interpositum Location.
From ar.inspiredpencil.com
Cavum Velum Interpositum Ultrasound Cavum Velum Interpositum Location cavum veli interpositi is a rare anatomical variation characterized by an enlarged space within the velum. normal sonographic and mr appearance of the cavum velum interpositum. the velum interpositum (vi) is a membrane resulting from the superposition of two layers of the tela choroidea of the third ventricle,. The column of the fornix (small arrow) separates it. Cavum Velum Interpositum Location.
From dxolpaaop.blob.core.windows.net
Cavum Velum Interpositum Cyst Fetal Ultrasound at Lisa Perry blog Cavum Velum Interpositum Location the cavum velum interpositum (cvi), considered a normal variant, is a true cistern situated above. The midsagittal view allows correct visualization of the cyst (c), which is located below the splenium of the corpus callosum (large arrow); the velum interpositum (vi) is a membrane resulting from the superposition of two layers of the tela choroidea of the third. Cavum Velum Interpositum Location.
From ar.inspiredpencil.com
Cavum Velum Interpositum Ultrasound Cavum Velum Interpositum Location the velum interpositum (vi) is a membrane resulting from the superposition of two layers of the tela choroidea of the third ventricle,. cavum veli interpositi cyst: the cavum velum interpositum ( * ) is a triangular space in axial section located below the fornices (green) and above the. The midsagittal view allows correct visualization of the cyst. Cavum Velum Interpositum Location.
From ar.inspiredpencil.com
Cavum Velum Interpositum Ultrasound Cavum Velum Interpositum Location cavum veli interpositi cyst: The midsagittal view allows correct visualization of the cyst (c), which is located below the splenium of the corpus callosum (large arrow); the velum interpositum (vi) is a membrane resulting from the superposition of 2 layers of the tela choroidea of the. the cavum velum interpositum ( * ) is a triangular space. Cavum Velum Interpositum Location.
From radiopaedia.org
Cavum velum interpositum cyst Image Cavum Velum Interpositum Location the cavum velum interpositum (cvi), considered a normal variant, is a true cistern situated above. the velum interpositum (vi) is a membrane resulting from the superposition of 2 layers of the tela choroidea of the. the velum interpositum (vi) is a membrane resulting from the superposition of two layers of the tela choroidea of the third ventricle,.. Cavum Velum Interpositum Location.
From radiologymri.blogspot.com
Cavum Velum Interpositum on MRI Cavum Velum Interpositum Location the cavum velum interpositum ( * ) is a triangular space in axial section located below the fornices (green) and above the. the velum interpositum (vi) is a membrane resulting from the superposition of two layers of the tela choroidea of the third ventricle,. The column of the fornix (small arrow) separates it from the cavum septi pellucidi. Cavum Velum Interpositum Location.
From radiologymri.blogspot.com
Cavum Velum Interpositum on MRI Cavum Velum Interpositum Location cavum veli interpositi cyst: the velum interpositum (vi) is a membrane resulting from the superposition of two layers of the tela choroidea of the third ventricle,. cavum veli interpositi is a rare anatomical variation characterized by an enlarged space within the velum. the velum interpositum (vi) is a membrane resulting from the superposition of 2 layers. Cavum Velum Interpositum Location.
From radiopaedia.org
Cavum velum interpositum cyst Radiology Case Cavum Velum Interpositum Location cavum veli interpositi is a rare anatomical variation characterized by an enlarged space within the velum. cavum veli interpositi cyst: the cavum velum interpositum ( * ) is a triangular space in axial section located below the fornices (green) and above the. The column of the fornix (small arrow) separates it from the cavum septi pellucidi and. Cavum Velum Interpositum Location.
From ar.inspiredpencil.com
Cavum Velum Interpositum Ultrasound Cavum Velum Interpositum Location The column of the fornix (small arrow) separates it from the cavum septi pellucidi and the cavum vergae. cavum veli interpositi cyst: cavum veli interpositi is a rare anatomical variation characterized by an enlarged space within the velum. the velum interpositum (vi) is a membrane resulting from the superposition of two layers of the tela choroidea of. Cavum Velum Interpositum Location.
From ar.inspiredpencil.com
Cavum Velum Interpositum Ultrasound Cavum Velum Interpositum Location the cavum velum interpositum (cvi), considered a normal variant, is a true cistern situated above. cavum veli interpositi cyst: cavum veli interpositi is a rare anatomical variation characterized by an enlarged space within the velum. The midsagittal view allows correct visualization of the cyst (c), which is located below the splenium of the corpus callosum (large arrow);. Cavum Velum Interpositum Location.
From radiopaedia.org
Cavum velum interpositum cyst Image Cavum Velum Interpositum Location the cavum velum interpositum ( * ) is a triangular space in axial section located below the fornices (green) and above the. normal sonographic and mr appearance of the cavum velum interpositum. The midsagittal view allows correct visualization of the cyst (c), which is located below the splenium of the corpus callosum (large arrow); cavum veli interpositi. Cavum Velum Interpositum Location.
From slidetodoc.com
Intracranial Cysts and Cystic Lesions ASN Annual Meeting Cavum Velum Interpositum Location cavum veli interpositi is a rare anatomical variation characterized by an enlarged space within the velum. The column of the fornix (small arrow) separates it from the cavum septi pellucidi and the cavum vergae. the cavum velum interpositum (cvi), considered a normal variant, is a true cistern situated above. the velum interpositum (vi) is a membrane resulting. Cavum Velum Interpositum Location.
From radiopaedia.org
Cavum velum interpositum cyst Image Cavum Velum Interpositum Location the cavum velum interpositum (cvi), considered a normal variant, is a true cistern situated above. the cavum velum interpositum ( * ) is a triangular space in axial section located below the fornices (green) and above the. The midsagittal view allows correct visualization of the cyst (c), which is located below the splenium of the corpus callosum (large. Cavum Velum Interpositum Location.
From ar.inspiredpencil.com
Cavum Velum Interpositum Ultrasound Cavum Velum Interpositum Location The midsagittal view allows correct visualization of the cyst (c), which is located below the splenium of the corpus callosum (large arrow); The column of the fornix (small arrow) separates it from the cavum septi pellucidi and the cavum vergae. cavum veli interpositi is a rare anatomical variation characterized by an enlarged space within the velum. the cavum. Cavum Velum Interpositum Location.