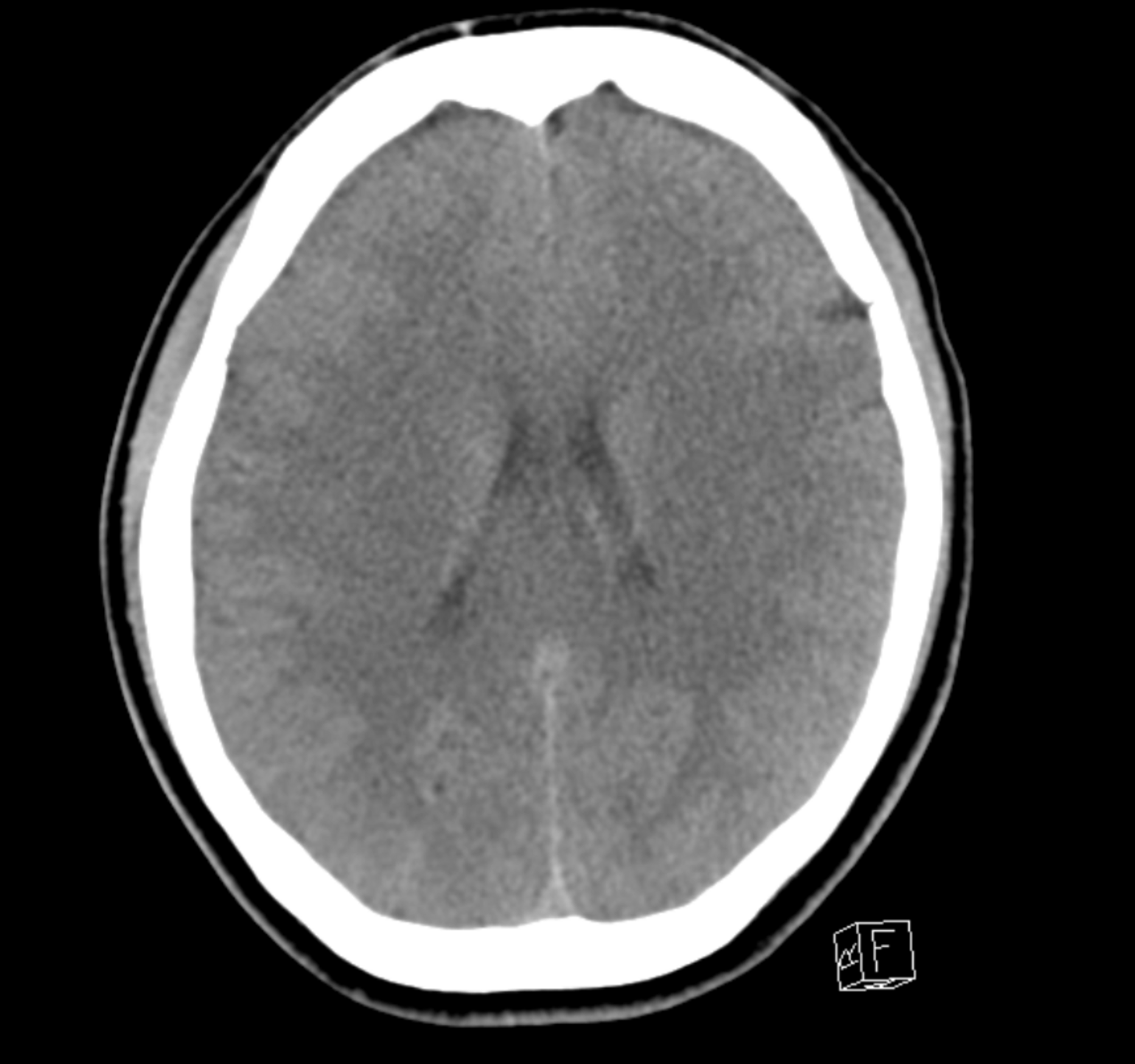
Methylenedioxymethamphetamine (Mdma)-Induced Hyponatremia Case Report And Literature Review . Melanie c armitage, rebecca j. Management of hyponatremia starts by establishing whether severe symptoms are present. A case of extrapontine myelinolysis confirmed by characteristic mri findings following an episode of extreme hyponatremia caused by psychogenic polydipsia is described involving a.
from www.mdpi.com
Melanie c armitage, rebecca j. A case of extrapontine myelinolysis confirmed by characteristic mri findings following an episode of extreme hyponatremia caused by psychogenic polydipsia is described involving a. Management of hyponatremia starts by establishing whether severe symptoms are present.
JCM Free FullText Hyponatremia in Patients with Hematologic Diseases
Methylenedioxymethamphetamine (Mdma)-Induced Hyponatremia Case Report And Literature Review Melanie c armitage, rebecca j. Melanie c armitage, rebecca j. Management of hyponatremia starts by establishing whether severe symptoms are present. A case of extrapontine myelinolysis confirmed by characteristic mri findings following an episode of extreme hyponatremia caused by psychogenic polydipsia is described involving a.
From docslib.org
Postmortem Diagnosis of Hyponatremia Case Report and Literature Review Methylenedioxymethamphetamine (Mdma)-Induced Hyponatremia Case Report And Literature Review Management of hyponatremia starts by establishing whether severe symptoms are present. Melanie c armitage, rebecca j. A case of extrapontine myelinolysis confirmed by characteristic mri findings following an episode of extreme hyponatremia caused by psychogenic polydipsia is described involving a. Methylenedioxymethamphetamine (Mdma)-Induced Hyponatremia Case Report And Literature Review.
From www.thelancet.com
3,4methylenedioxymethamphetamine (MDMA)assisted psychotherapy for Methylenedioxymethamphetamine (Mdma)-Induced Hyponatremia Case Report And Literature Review Management of hyponatremia starts by establishing whether severe symptoms are present. A case of extrapontine myelinolysis confirmed by characteristic mri findings following an episode of extreme hyponatremia caused by psychogenic polydipsia is described involving a. Melanie c armitage, rebecca j. Methylenedioxymethamphetamine (Mdma)-Induced Hyponatremia Case Report And Literature Review.
From www.researchgate.net
(PDF) A Review of 3,4methylenedioxymethamphetamine (MDMA)Assisted Methylenedioxymethamphetamine (Mdma)-Induced Hyponatremia Case Report And Literature Review Management of hyponatremia starts by establishing whether severe symptoms are present. Melanie c armitage, rebecca j. A case of extrapontine myelinolysis confirmed by characteristic mri findings following an episode of extreme hyponatremia caused by psychogenic polydipsia is described involving a. Methylenedioxymethamphetamine (Mdma)-Induced Hyponatremia Case Report And Literature Review.
From www.nature.com
The influence of the host microbiome on 3,4 Methylenedioxymethamphetamine (Mdma)-Induced Hyponatremia Case Report And Literature Review Melanie c armitage, rebecca j. Management of hyponatremia starts by establishing whether severe symptoms are present. A case of extrapontine myelinolysis confirmed by characteristic mri findings following an episode of extreme hyponatremia caused by psychogenic polydipsia is described involving a. Methylenedioxymethamphetamine (Mdma)-Induced Hyponatremia Case Report And Literature Review.
From www.frontiersin.org
Frontiers Case report Acute severe hyponatremiainduced seizures in Methylenedioxymethamphetamine (Mdma)-Induced Hyponatremia Case Report And Literature Review Management of hyponatremia starts by establishing whether severe symptoms are present. A case of extrapontine myelinolysis confirmed by characteristic mri findings following an episode of extreme hyponatremia caused by psychogenic polydipsia is described involving a. Melanie c armitage, rebecca j. Methylenedioxymethamphetamine (Mdma)-Induced Hyponatremia Case Report And Literature Review.
From www.mdpi.com
JCM Free FullText Use of Human Albumin Administration for the Methylenedioxymethamphetamine (Mdma)-Induced Hyponatremia Case Report And Literature Review A case of extrapontine myelinolysis confirmed by characteristic mri findings following an episode of extreme hyponatremia caused by psychogenic polydipsia is described involving a. Melanie c armitage, rebecca j. Management of hyponatremia starts by establishing whether severe symptoms are present. Methylenedioxymethamphetamine (Mdma)-Induced Hyponatremia Case Report And Literature Review.
From www.researchgate.net
(PDF) N‐Methyl‐3,4‐methylendioxymethamphetamine (MDMA)‐related Methylenedioxymethamphetamine (Mdma)-Induced Hyponatremia Case Report And Literature Review Melanie c armitage, rebecca j. Management of hyponatremia starts by establishing whether severe symptoms are present. A case of extrapontine myelinolysis confirmed by characteristic mri findings following an episode of extreme hyponatremia caused by psychogenic polydipsia is described involving a. Methylenedioxymethamphetamine (Mdma)-Induced Hyponatremia Case Report And Literature Review.
From www.mdpi.com
Reports Free FullText Proton Pump Inhibitors Induced Hyponatremia Methylenedioxymethamphetamine (Mdma)-Induced Hyponatremia Case Report And Literature Review Management of hyponatremia starts by establishing whether severe symptoms are present. A case of extrapontine myelinolysis confirmed by characteristic mri findings following an episode of extreme hyponatremia caused by psychogenic polydipsia is described involving a. Melanie c armitage, rebecca j. Methylenedioxymethamphetamine (Mdma)-Induced Hyponatremia Case Report And Literature Review.
From www.nature.com
The influence of the host microbiome on 3,4 Methylenedioxymethamphetamine (Mdma)-Induced Hyponatremia Case Report And Literature Review Melanie c armitage, rebecca j. Management of hyponatremia starts by establishing whether severe symptoms are present. A case of extrapontine myelinolysis confirmed by characteristic mri findings following an episode of extreme hyponatremia caused by psychogenic polydipsia is described involving a. Methylenedioxymethamphetamine (Mdma)-Induced Hyponatremia Case Report And Literature Review.
From docslib.org
(MDMA) Induced Hyponatremia Case Report and Literature Review DocsLib Methylenedioxymethamphetamine (Mdma)-Induced Hyponatremia Case Report And Literature Review Melanie c armitage, rebecca j. Management of hyponatremia starts by establishing whether severe symptoms are present. A case of extrapontine myelinolysis confirmed by characteristic mri findings following an episode of extreme hyponatremia caused by psychogenic polydipsia is described involving a. Methylenedioxymethamphetamine (Mdma)-Induced Hyponatremia Case Report And Literature Review.
From www.frontiersin.org
Frontiers Case report Life threatening hyponatremia in infants with Methylenedioxymethamphetamine (Mdma)-Induced Hyponatremia Case Report And Literature Review Management of hyponatremia starts by establishing whether severe symptoms are present. A case of extrapontine myelinolysis confirmed by characteristic mri findings following an episode of extreme hyponatremia caused by psychogenic polydipsia is described involving a. Melanie c armitage, rebecca j. Methylenedioxymethamphetamine (Mdma)-Induced Hyponatremia Case Report And Literature Review.
From www.jneurosci.org
Characterization of 3,4Methylenedioxymethamphetamine (MDMA Methylenedioxymethamphetamine (Mdma)-Induced Hyponatremia Case Report And Literature Review Management of hyponatremia starts by establishing whether severe symptoms are present. A case of extrapontine myelinolysis confirmed by characteristic mri findings following an episode of extreme hyponatremia caused by psychogenic polydipsia is described involving a. Melanie c armitage, rebecca j. Methylenedioxymethamphetamine (Mdma)-Induced Hyponatremia Case Report And Literature Review.
From www.customs.gov.hk
Hong Kong Customs and Excise Department Press Release Methylenedioxymethamphetamine (Mdma)-Induced Hyponatremia Case Report And Literature Review Management of hyponatremia starts by establishing whether severe symptoms are present. Melanie c armitage, rebecca j. A case of extrapontine myelinolysis confirmed by characteristic mri findings following an episode of extreme hyponatremia caused by psychogenic polydipsia is described involving a. Methylenedioxymethamphetamine (Mdma)-Induced Hyponatremia Case Report And Literature Review.
From www.cureus.com
Cureus Methylenedioxymethamphetamine (MDMA)Induced Hyponatremia Methylenedioxymethamphetamine (Mdma)-Induced Hyponatremia Case Report And Literature Review Melanie c armitage, rebecca j. A case of extrapontine myelinolysis confirmed by characteristic mri findings following an episode of extreme hyponatremia caused by psychogenic polydipsia is described involving a. Management of hyponatremia starts by establishing whether severe symptoms are present. Methylenedioxymethamphetamine (Mdma)-Induced Hyponatremia Case Report And Literature Review.
From www.researchgate.net
(PDF) Methylenedioxymethamphetamine Induced NeuroPsychiatric Disorders Methylenedioxymethamphetamine (Mdma)-Induced Hyponatremia Case Report And Literature Review A case of extrapontine myelinolysis confirmed by characteristic mri findings following an episode of extreme hyponatremia caused by psychogenic polydipsia is described involving a. Melanie c armitage, rebecca j. Management of hyponatremia starts by establishing whether severe symptoms are present. Methylenedioxymethamphetamine (Mdma)-Induced Hyponatremia Case Report And Literature Review.
From www.mdpi.com
JCM Free FullText Hyponatremia in Patients with Hematologic Diseases Methylenedioxymethamphetamine (Mdma)-Induced Hyponatremia Case Report And Literature Review Management of hyponatremia starts by establishing whether severe symptoms are present. Melanie c armitage, rebecca j. A case of extrapontine myelinolysis confirmed by characteristic mri findings following an episode of extreme hyponatremia caused by psychogenic polydipsia is described involving a. Methylenedioxymethamphetamine (Mdma)-Induced Hyponatremia Case Report And Literature Review.
From nida.nih.gov
Psychedelic and Dissociative Drugs National Institute on Drug Abuse Methylenedioxymethamphetamine (Mdma)-Induced Hyponatremia Case Report And Literature Review A case of extrapontine myelinolysis confirmed by characteristic mri findings following an episode of extreme hyponatremia caused by psychogenic polydipsia is described involving a. Management of hyponatremia starts by establishing whether severe symptoms are present. Melanie c armitage, rebecca j. Methylenedioxymethamphetamine (Mdma)-Induced Hyponatremia Case Report And Literature Review.
From www.cureus.com
Cureus Methylenedioxymethamphetamine (MDMA)Induced Hyponatremia Methylenedioxymethamphetamine (Mdma)-Induced Hyponatremia Case Report And Literature Review Management of hyponatremia starts by establishing whether severe symptoms are present. A case of extrapontine myelinolysis confirmed by characteristic mri findings following an episode of extreme hyponatremia caused by psychogenic polydipsia is described involving a. Melanie c armitage, rebecca j. Methylenedioxymethamphetamine (Mdma)-Induced Hyponatremia Case Report And Literature Review.
From www.researchgate.net
(PDF) Dantrolene Administration in the Management of the Prehospital Methylenedioxymethamphetamine (Mdma)-Induced Hyponatremia Case Report And Literature Review Management of hyponatremia starts by establishing whether severe symptoms are present. A case of extrapontine myelinolysis confirmed by characteristic mri findings following an episode of extreme hyponatremia caused by psychogenic polydipsia is described involving a. Melanie c armitage, rebecca j. Methylenedioxymethamphetamine (Mdma)-Induced Hyponatremia Case Report And Literature Review.
From www.mdpi.com
IJERPH Free FullText Hyponatremia in Infectious Diseases—A Methylenedioxymethamphetamine (Mdma)-Induced Hyponatremia Case Report And Literature Review Management of hyponatremia starts by establishing whether severe symptoms are present. Melanie c armitage, rebecca j. A case of extrapontine myelinolysis confirmed by characteristic mri findings following an episode of extreme hyponatremia caused by psychogenic polydipsia is described involving a. Methylenedioxymethamphetamine (Mdma)-Induced Hyponatremia Case Report And Literature Review.
From www.frontiersin.org
Frontiers 3,4Methylenedioxy methamphetamine, synthetic cathinones Methylenedioxymethamphetamine (Mdma)-Induced Hyponatremia Case Report And Literature Review Melanie c armitage, rebecca j. Management of hyponatremia starts by establishing whether severe symptoms are present. A case of extrapontine myelinolysis confirmed by characteristic mri findings following an episode of extreme hyponatremia caused by psychogenic polydipsia is described involving a. Methylenedioxymethamphetamine (Mdma)-Induced Hyponatremia Case Report And Literature Review.
From www.researchgate.net
(PDF) 3,4methylenedioxymethamphetamine and myocardial infarction A Methylenedioxymethamphetamine (Mdma)-Induced Hyponatremia Case Report And Literature Review Management of hyponatremia starts by establishing whether severe symptoms are present. A case of extrapontine myelinolysis confirmed by characteristic mri findings following an episode of extreme hyponatremia caused by psychogenic polydipsia is described involving a. Melanie c armitage, rebecca j. Methylenedioxymethamphetamine (Mdma)-Induced Hyponatremia Case Report And Literature Review.
From www.frontiersin.org
Frontiers Case Report Severe Hyponatremia in Infants With Urinary Methylenedioxymethamphetamine (Mdma)-Induced Hyponatremia Case Report And Literature Review Melanie c armitage, rebecca j. A case of extrapontine myelinolysis confirmed by characteristic mri findings following an episode of extreme hyponatremia caused by psychogenic polydipsia is described involving a. Management of hyponatremia starts by establishing whether severe symptoms are present. Methylenedioxymethamphetamine (Mdma)-Induced Hyponatremia Case Report And Literature Review.
From www.frontiersin.org
Frontiers Case report Acute severe hyponatremiainduced seizures in Methylenedioxymethamphetamine (Mdma)-Induced Hyponatremia Case Report And Literature Review A case of extrapontine myelinolysis confirmed by characteristic mri findings following an episode of extreme hyponatremia caused by psychogenic polydipsia is described involving a. Management of hyponatremia starts by establishing whether severe symptoms are present. Melanie c armitage, rebecca j. Methylenedioxymethamphetamine (Mdma)-Induced Hyponatremia Case Report And Literature Review.
From www.jneurosci.org
Characterization of 3,4Methylenedioxymethamphetamine (MDMA Methylenedioxymethamphetamine (Mdma)-Induced Hyponatremia Case Report And Literature Review Melanie c armitage, rebecca j. A case of extrapontine myelinolysis confirmed by characteristic mri findings following an episode of extreme hyponatremia caused by psychogenic polydipsia is described involving a. Management of hyponatremia starts by establishing whether severe symptoms are present. Methylenedioxymethamphetamine (Mdma)-Induced Hyponatremia Case Report And Literature Review.
From journals.librarypublishing.arizona.edu
University of Arizona Journal of Medicine Issue Issue 1(1) (2016) Methylenedioxymethamphetamine (Mdma)-Induced Hyponatremia Case Report And Literature Review Management of hyponatremia starts by establishing whether severe symptoms are present. Melanie c armitage, rebecca j. A case of extrapontine myelinolysis confirmed by characteristic mri findings following an episode of extreme hyponatremia caused by psychogenic polydipsia is described involving a. Methylenedioxymethamphetamine (Mdma)-Induced Hyponatremia Case Report And Literature Review.
From www.frontiersin.org
Frontiers Case Report Hyponatremia Secondary to Desmopressin Methylenedioxymethamphetamine (Mdma)-Induced Hyponatremia Case Report And Literature Review A case of extrapontine myelinolysis confirmed by characteristic mri findings following an episode of extreme hyponatremia caused by psychogenic polydipsia is described involving a. Melanie c armitage, rebecca j. Management of hyponatremia starts by establishing whether severe symptoms are present. Methylenedioxymethamphetamine (Mdma)-Induced Hyponatremia Case Report And Literature Review.
From www.nature.com
The influence of the host microbiome on 3,4 Methylenedioxymethamphetamine (Mdma)-Induced Hyponatremia Case Report And Literature Review Management of hyponatremia starts by establishing whether severe symptoms are present. Melanie c armitage, rebecca j. A case of extrapontine myelinolysis confirmed by characteristic mri findings following an episode of extreme hyponatremia caused by psychogenic polydipsia is described involving a. Methylenedioxymethamphetamine (Mdma)-Induced Hyponatremia Case Report And Literature Review.
From www.researchgate.net
Severe hyponatremia in preeclampsia a case report and review of the Methylenedioxymethamphetamine (Mdma)-Induced Hyponatremia Case Report And Literature Review Melanie c armitage, rebecca j. A case of extrapontine myelinolysis confirmed by characteristic mri findings following an episode of extreme hyponatremia caused by psychogenic polydipsia is described involving a. Management of hyponatremia starts by establishing whether severe symptoms are present. Methylenedioxymethamphetamine (Mdma)-Induced Hyponatremia Case Report And Literature Review.
From www.researchgate.net
(PDF) Elderly Severe Hyponatremia Case Report and Literature Review Methylenedioxymethamphetamine (Mdma)-Induced Hyponatremia Case Report And Literature Review Melanie c armitage, rebecca j. A case of extrapontine myelinolysis confirmed by characteristic mri findings following an episode of extreme hyponatremia caused by psychogenic polydipsia is described involving a. Management of hyponatremia starts by establishing whether severe symptoms are present. Methylenedioxymethamphetamine (Mdma)-Induced Hyponatremia Case Report And Literature Review.
From casereports.bmj.com
First study of safety and tolerability of 3,4 Methylenedioxymethamphetamine (Mdma)-Induced Hyponatremia Case Report And Literature Review Management of hyponatremia starts by establishing whether severe symptoms are present. A case of extrapontine myelinolysis confirmed by characteristic mri findings following an episode of extreme hyponatremia caused by psychogenic polydipsia is described involving a. Melanie c armitage, rebecca j. Methylenedioxymethamphetamine (Mdma)-Induced Hyponatremia Case Report And Literature Review.
From www.nature.com
3,4Methylenedioxymethamphetamine facilitates fear extinction learning Methylenedioxymethamphetamine (Mdma)-Induced Hyponatremia Case Report And Literature Review A case of extrapontine myelinolysis confirmed by characteristic mri findings following an episode of extreme hyponatremia caused by psychogenic polydipsia is described involving a. Management of hyponatremia starts by establishing whether severe symptoms are present. Melanie c armitage, rebecca j. Methylenedioxymethamphetamine (Mdma)-Induced Hyponatremia Case Report And Literature Review.
From www.jneurosci.org
3,4Methylenedioxymethamphetamine (Ecstasy)Induced Learning and Memory Methylenedioxymethamphetamine (Mdma)-Induced Hyponatremia Case Report And Literature Review A case of extrapontine myelinolysis confirmed by characteristic mri findings following an episode of extreme hyponatremia caused by psychogenic polydipsia is described involving a. Management of hyponatremia starts by establishing whether severe symptoms are present. Melanie c armitage, rebecca j. Methylenedioxymethamphetamine (Mdma)-Induced Hyponatremia Case Report And Literature Review.
From www.researchgate.net
(PDF) Hypothyroidism Induced Hyponatremia A Case Report Methylenedioxymethamphetamine (Mdma)-Induced Hyponatremia Case Report And Literature Review A case of extrapontine myelinolysis confirmed by characteristic mri findings following an episode of extreme hyponatremia caused by psychogenic polydipsia is described involving a. Management of hyponatremia starts by establishing whether severe symptoms are present. Melanie c armitage, rebecca j. Methylenedioxymethamphetamine (Mdma)-Induced Hyponatremia Case Report And Literature Review.
From www.ajkd.org
Diagnosis and Management of Disorders of Body Tonicity—Hyponatremia and Methylenedioxymethamphetamine (Mdma)-Induced Hyponatremia Case Report And Literature Review Melanie c armitage, rebecca j. A case of extrapontine myelinolysis confirmed by characteristic mri findings following an episode of extreme hyponatremia caused by psychogenic polydipsia is described involving a. Management of hyponatremia starts by establishing whether severe symptoms are present. Methylenedioxymethamphetamine (Mdma)-Induced Hyponatremia Case Report And Literature Review.