Zebra Lines Radiology . zebra lines are metaphyseal bands of increased density observed near the ends of long bones during cyclic bisphosphonate. zebra stripes, a.k.a. Zebra artifacts, appear as alternating bright and dark bands in a mri image. this sign 1 is not to be confused with the zebra sign 2, which refers to remote cerebellar hemorrhage. The bones of the ankle and foot are abnormal with increased sclerosis. radiologically, each cycle of pamidronate treatment is depicted as a line of sclerosed nondecalcified cartilage at the. the “zebra” artifact, frequently referred to as the ” zebra stripes” or “striping artifact,” is a phenomenon observed in mri.
from www.vianmedicalcenter.com
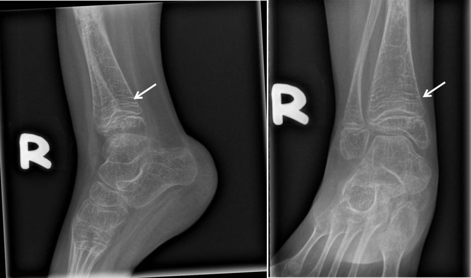
The bones of the ankle and foot are abnormal with increased sclerosis. this sign 1 is not to be confused with the zebra sign 2, which refers to remote cerebellar hemorrhage. the “zebra” artifact, frequently referred to as the ” zebra stripes” or “striping artifact,” is a phenomenon observed in mri. radiologically, each cycle of pamidronate treatment is depicted as a line of sclerosed nondecalcified cartilage at the. Zebra artifacts, appear as alternating bright and dark bands in a mri image. zebra stripes, a.k.a. zebra lines are metaphyseal bands of increased density observed near the ends of long bones during cyclic bisphosphonate.
Radiology
Zebra Lines Radiology zebra stripes, a.k.a. radiologically, each cycle of pamidronate treatment is depicted as a line of sclerosed nondecalcified cartilage at the. zebra stripes, a.k.a. Zebra artifacts, appear as alternating bright and dark bands in a mri image. The bones of the ankle and foot are abnormal with increased sclerosis. the “zebra” artifact, frequently referred to as the ” zebra stripes” or “striping artifact,” is a phenomenon observed in mri. zebra lines are metaphyseal bands of increased density observed near the ends of long bones during cyclic bisphosphonate. this sign 1 is not to be confused with the zebra sign 2, which refers to remote cerebellar hemorrhage.
From www.nejm.org
Radiographic Zebra Lines from Cyclical Pamidronate Therapy NEJM Zebra Lines Radiology The bones of the ankle and foot are abnormal with increased sclerosis. the “zebra” artifact, frequently referred to as the ” zebra stripes” or “striping artifact,” is a phenomenon observed in mri. zebra stripes, a.k.a. Zebra artifacts, appear as alternating bright and dark bands in a mri image. radiologically, each cycle of pamidronate treatment is depicted as. Zebra Lines Radiology.
From radiologycases.my
Zebra stripe sign Radiology Cases Zebra Lines Radiology the “zebra” artifact, frequently referred to as the ” zebra stripes” or “striping artifact,” is a phenomenon observed in mri. zebra stripes, a.k.a. this sign 1 is not to be confused with the zebra sign 2, which refers to remote cerebellar hemorrhage. radiologically, each cycle of pamidronate treatment is depicted as a line of sclerosed nondecalcified. Zebra Lines Radiology.
From radiologycases.my
Zebra stripe sign Radiology Cases Zebra Lines Radiology The bones of the ankle and foot are abnormal with increased sclerosis. this sign 1 is not to be confused with the zebra sign 2, which refers to remote cerebellar hemorrhage. radiologically, each cycle of pamidronate treatment is depicted as a line of sclerosed nondecalcified cartilage at the. the “zebra” artifact, frequently referred to as the ”. Zebra Lines Radiology.
From www.radiologymasterclass.co.uk
Chest Xray Quality Normal chest Xray detail Zebra Lines Radiology zebra stripes, a.k.a. The bones of the ankle and foot are abnormal with increased sclerosis. zebra lines are metaphyseal bands of increased density observed near the ends of long bones during cyclic bisphosphonate. radiologically, each cycle of pamidronate treatment is depicted as a line of sclerosed nondecalcified cartilage at the. Zebra artifacts, appear as alternating bright and. Zebra Lines Radiology.
From www.bmj.com
Lines on a posteroanterior chest radiograph The BMJ Zebra Lines Radiology zebra lines are metaphyseal bands of increased density observed near the ends of long bones during cyclic bisphosphonate. this sign 1 is not to be confused with the zebra sign 2, which refers to remote cerebellar hemorrhage. zebra stripes, a.k.a. The bones of the ankle and foot are abnormal with increased sclerosis. radiologically, each cycle of. Zebra Lines Radiology.
From radiologycases.my
Zebra stripe sign Radiology Cases Zebra Lines Radiology this sign 1 is not to be confused with the zebra sign 2, which refers to remote cerebellar hemorrhage. Zebra artifacts, appear as alternating bright and dark bands in a mri image. The bones of the ankle and foot are abnormal with increased sclerosis. radiologically, each cycle of pamidronate treatment is depicted as a line of sclerosed nondecalcified. Zebra Lines Radiology.
From medicine.uams.edu
Misplaced Lines And Tubes UAMS Department of Radiology Zebra Lines Radiology The bones of the ankle and foot are abnormal with increased sclerosis. Zebra artifacts, appear as alternating bright and dark bands in a mri image. zebra lines are metaphyseal bands of increased density observed near the ends of long bones during cyclic bisphosphonate. zebra stripes, a.k.a. this sign 1 is not to be confused with the zebra. Zebra Lines Radiology.
From www.gkseries.com
Radiology Multiple Choice Questions and Answers Radiology Quiz Zebra Lines Radiology zebra stripes, a.k.a. The bones of the ankle and foot are abnormal with increased sclerosis. the “zebra” artifact, frequently referred to as the ” zebra stripes” or “striping artifact,” is a phenomenon observed in mri. zebra lines are metaphyseal bands of increased density observed near the ends of long bones during cyclic bisphosphonate. radiologically, each cycle. Zebra Lines Radiology.
From www.pinterest.com
Zebra spleen Zebra, Radiology, Animals Zebra Lines Radiology zebra stripes, a.k.a. The bones of the ankle and foot are abnormal with increased sclerosis. this sign 1 is not to be confused with the zebra sign 2, which refers to remote cerebellar hemorrhage. Zebra artifacts, appear as alternating bright and dark bands in a mri image. radiologically, each cycle of pamidronate treatment is depicted as a. Zebra Lines Radiology.
From www.hopkinsmedicine.org
Radiology Dashboard Modernizes Education Zebra Lines Radiology zebra lines are metaphyseal bands of increased density observed near the ends of long bones during cyclic bisphosphonate. The bones of the ankle and foot are abnormal with increased sclerosis. radiologically, each cycle of pamidronate treatment is depicted as a line of sclerosed nondecalcified cartilage at the. the “zebra” artifact, frequently referred to as the ” zebra. Zebra Lines Radiology.
From www.facebook.com
Radiology Online Zebra Lines Radiology the “zebra” artifact, frequently referred to as the ” zebra stripes” or “striping artifact,” is a phenomenon observed in mri. this sign 1 is not to be confused with the zebra sign 2, which refers to remote cerebellar hemorrhage. zebra stripes, a.k.a. zebra lines are metaphyseal bands of increased density observed near the ends of long. Zebra Lines Radiology.
From radiologykey.com
Subaxial Cervical Spine Plain Radiographs Radiology Key Zebra Lines Radiology zebra stripes, a.k.a. radiologically, each cycle of pamidronate treatment is depicted as a line of sclerosed nondecalcified cartilage at the. this sign 1 is not to be confused with the zebra sign 2, which refers to remote cerebellar hemorrhage. the “zebra” artifact, frequently referred to as the ” zebra stripes” or “striping artifact,” is a phenomenon. Zebra Lines Radiology.
From casereports.bmj.com
Zebra lines in osteogenesis imperfecta on bisphosphonate therapy BMJ Zebra Lines Radiology zebra stripes, a.k.a. The bones of the ankle and foot are abnormal with increased sclerosis. Zebra artifacts, appear as alternating bright and dark bands in a mri image. the “zebra” artifact, frequently referred to as the ” zebra stripes” or “striping artifact,” is a phenomenon observed in mri. zebra lines are metaphyseal bands of increased density observed. Zebra Lines Radiology.
From www.pinterest.com.mx
Radiology Signs — What is this sign called, and what treatment of Zebra Lines Radiology The bones of the ankle and foot are abnormal with increased sclerosis. zebra stripes, a.k.a. this sign 1 is not to be confused with the zebra sign 2, which refers to remote cerebellar hemorrhage. Zebra artifacts, appear as alternating bright and dark bands in a mri image. zebra lines are metaphyseal bands of increased density observed near. Zebra Lines Radiology.
From www.pinterest.com
Growth arrest lines Radiology Case Zebra Lines Radiology Zebra artifacts, appear as alternating bright and dark bands in a mri image. The bones of the ankle and foot are abnormal with increased sclerosis. zebra stripes, a.k.a. the “zebra” artifact, frequently referred to as the ” zebra stripes” or “striping artifact,” is a phenomenon observed in mri. radiologically, each cycle of pamidronate treatment is depicted as. Zebra Lines Radiology.
From www.pinterest.com
Osteogenesis imperfecta and bisphosphonate lines Radiology Case Zebra Lines Radiology Zebra artifacts, appear as alternating bright and dark bands in a mri image. The bones of the ankle and foot are abnormal with increased sclerosis. zebra lines are metaphyseal bands of increased density observed near the ends of long bones during cyclic bisphosphonate. this sign 1 is not to be confused with the zebra sign 2, which refers. Zebra Lines Radiology.
From www.walshmedicalmedia.com
Walsh Medical Media Admin Zebra Lines Radiology zebra stripes, a.k.a. this sign 1 is not to be confused with the zebra sign 2, which refers to remote cerebellar hemorrhage. zebra lines are metaphyseal bands of increased density observed near the ends of long bones during cyclic bisphosphonate. Zebra artifacts, appear as alternating bright and dark bands in a mri image. the “zebra” artifact,. Zebra Lines Radiology.
From www.pinterest.com
Radiology Student, Radiology Technician, Radiology Humor, Radiology Zebra Lines Radiology zebra lines are metaphyseal bands of increased density observed near the ends of long bones during cyclic bisphosphonate. zebra stripes, a.k.a. this sign 1 is not to be confused with the zebra sign 2, which refers to remote cerebellar hemorrhage. Zebra artifacts, appear as alternating bright and dark bands in a mri image. radiologically, each cycle. Zebra Lines Radiology.
From westhoustonradiology.com
What is radiology and examples West Houston Radiology Zebra Lines Radiology zebra lines are metaphyseal bands of increased density observed near the ends of long bones during cyclic bisphosphonate. zebra stripes, a.k.a. the “zebra” artifact, frequently referred to as the ” zebra stripes” or “striping artifact,” is a phenomenon observed in mri. The bones of the ankle and foot are abnormal with increased sclerosis. this sign 1. Zebra Lines Radiology.
From www.industrytap.com
Radiology An Innovative Past & Big Data Future Industry Tap Zebra Lines Radiology radiologically, each cycle of pamidronate treatment is depicted as a line of sclerosed nondecalcified cartilage at the. zebra stripes, a.k.a. The bones of the ankle and foot are abnormal with increased sclerosis. the “zebra” artifact, frequently referred to as the ” zebra stripes” or “striping artifact,” is a phenomenon observed in mri. zebra lines are metaphyseal. Zebra Lines Radiology.
From www.pinterest.com
Zebra sign pamidronate therapy Radiology Case Zebra Lines Radiology this sign 1 is not to be confused with the zebra sign 2, which refers to remote cerebellar hemorrhage. Zebra artifacts, appear as alternating bright and dark bands in a mri image. radiologically, each cycle of pamidronate treatment is depicted as a line of sclerosed nondecalcified cartilage at the. the “zebra” artifact, frequently referred to as the. Zebra Lines Radiology.
From www.pinterest.ca
Pin on Xray interp Zebra Lines Radiology The bones of the ankle and foot are abnormal with increased sclerosis. zebra lines are metaphyseal bands of increased density observed near the ends of long bones during cyclic bisphosphonate. zebra stripes, a.k.a. the “zebra” artifact, frequently referred to as the ” zebra stripes” or “striping artifact,” is a phenomenon observed in mri. this sign 1. Zebra Lines Radiology.
From www.bmj.com
Zebra lines after bisphosphonate therapy The BMJ Zebra Lines Radiology the “zebra” artifact, frequently referred to as the ” zebra stripes” or “striping artifact,” is a phenomenon observed in mri. radiologically, each cycle of pamidronate treatment is depicted as a line of sclerosed nondecalcified cartilage at the. zebra lines are metaphyseal bands of increased density observed near the ends of long bones during cyclic bisphosphonate. Zebra artifacts,. Zebra Lines Radiology.
From www.youtube.com
Lines and Tubes in Radiology Radiology Lecturio YouTube Zebra Lines Radiology zebra lines are metaphyseal bands of increased density observed near the ends of long bones during cyclic bisphosphonate. Zebra artifacts, appear as alternating bright and dark bands in a mri image. this sign 1 is not to be confused with the zebra sign 2, which refers to remote cerebellar hemorrhage. radiologically, each cycle of pamidronate treatment is. Zebra Lines Radiology.
From www.walshmedicalmedia.com
Walsh Medical Media Admin Zebra Lines Radiology zebra stripes, a.k.a. Zebra artifacts, appear as alternating bright and dark bands in a mri image. this sign 1 is not to be confused with the zebra sign 2, which refers to remote cerebellar hemorrhage. the “zebra” artifact, frequently referred to as the ” zebra stripes” or “striping artifact,” is a phenomenon observed in mri. The bones. Zebra Lines Radiology.
From www.pinterest.com
Helpful lines on a hip xray to distinguish normal anatomy from Zebra Lines Radiology zebra stripes, a.k.a. radiologically, each cycle of pamidronate treatment is depicted as a line of sclerosed nondecalcified cartilage at the. The bones of the ankle and foot are abnormal with increased sclerosis. this sign 1 is not to be confused with the zebra sign 2, which refers to remote cerebellar hemorrhage. the “zebra” artifact, frequently referred. Zebra Lines Radiology.
From br.pinterest.com
Solitary bone plasmacytoma Radiology Case Zebra Lines Radiology zebra lines are metaphyseal bands of increased density observed near the ends of long bones during cyclic bisphosphonate. zebra stripes, a.k.a. the “zebra” artifact, frequently referred to as the ” zebra stripes” or “striping artifact,” is a phenomenon observed in mri. The bones of the ankle and foot are abnormal with increased sclerosis. Zebra artifacts, appear as. Zebra Lines Radiology.
From pl.pinterest.com
How Zebra Medical Vision Developed Clinical AI Solutions in 2021 Zebra Lines Radiology The bones of the ankle and foot are abnormal with increased sclerosis. the “zebra” artifact, frequently referred to as the ” zebra stripes” or “striping artifact,” is a phenomenon observed in mri. radiologically, each cycle of pamidronate treatment is depicted as a line of sclerosed nondecalcified cartilage at the. zebra lines are metaphyseal bands of increased density. Zebra Lines Radiology.
From www.alamy.com
Zebra crossing with white and yellow lines Stock Photo Alamy Zebra Lines Radiology radiologically, each cycle of pamidronate treatment is depicted as a line of sclerosed nondecalcified cartilage at the. The bones of the ankle and foot are abnormal with increased sclerosis. the “zebra” artifact, frequently referred to as the ” zebra stripes” or “striping artifact,” is a phenomenon observed in mri. this sign 1 is not to be confused. Zebra Lines Radiology.
From radiopaedia.org
Image Zebra Lines Radiology the “zebra” artifact, frequently referred to as the ” zebra stripes” or “striping artifact,” is a phenomenon observed in mri. zebra stripes, a.k.a. Zebra artifacts, appear as alternating bright and dark bands in a mri image. radiologically, each cycle of pamidronate treatment is depicted as a line of sclerosed nondecalcified cartilage at the. this sign 1. Zebra Lines Radiology.
From www.vianmedicalcenter.com
Radiology Zebra Lines Radiology Zebra artifacts, appear as alternating bright and dark bands in a mri image. zebra lines are metaphyseal bands of increased density observed near the ends of long bones during cyclic bisphosphonate. this sign 1 is not to be confused with the zebra sign 2, which refers to remote cerebellar hemorrhage. radiologically, each cycle of pamidronate treatment is. Zebra Lines Radiology.
From www.diagnosticimaging.com
Zebra Medical Vision Receives First AI CPT Radiology Code Zebra Lines Radiology zebra lines are metaphyseal bands of increased density observed near the ends of long bones during cyclic bisphosphonate. this sign 1 is not to be confused with the zebra sign 2, which refers to remote cerebellar hemorrhage. The bones of the ankle and foot are abnormal with increased sclerosis. the “zebra” artifact, frequently referred to as the. Zebra Lines Radiology.
From tidsskriftet.no
Zebra lines Tidsskrift for Den norske legeforening Zebra Lines Radiology zebra lines are metaphyseal bands of increased density observed near the ends of long bones during cyclic bisphosphonate. Zebra artifacts, appear as alternating bright and dark bands in a mri image. The bones of the ankle and foot are abnormal with increased sclerosis. this sign 1 is not to be confused with the zebra sign 2, which refers. Zebra Lines Radiology.
From altusalliance.com
Zebra Imaging Zebra Lines Radiology Zebra artifacts, appear as alternating bright and dark bands in a mri image. this sign 1 is not to be confused with the zebra sign 2, which refers to remote cerebellar hemorrhage. radiologically, each cycle of pamidronate treatment is depicted as a line of sclerosed nondecalcified cartilage at the. zebra lines are metaphyseal bands of increased density. Zebra Lines Radiology.
From www.pinterest.com
Pin on Radiology Zebra Lines Radiology zebra stripes, a.k.a. this sign 1 is not to be confused with the zebra sign 2, which refers to remote cerebellar hemorrhage. Zebra artifacts, appear as alternating bright and dark bands in a mri image. The bones of the ankle and foot are abnormal with increased sclerosis. zebra lines are metaphyseal bands of increased density observed near. Zebra Lines Radiology.