Can A Lip Tie Affect Breastfeeding . Low milk supply reducing your milk supply as your baby is not latching. a lip tie, a common yet often overlooked condition, can cause significant breastfeeding difficulties. Some babies with a tongue tie breastfeed well from the start,. If your baby is eating and gaining weight, they may not need a frenectomy, since the frenulum can shrink as your baby gets older. a lip tie in infants affect breastfeeding and may involve a corrective procedure called a frenectomy. It happens when the piece of skin under the baby's upper lip (the labial frenulum) is shorter or thicker than usual. the shorter and tighter it is, the more likely it is to affect breastfeeding. difficulties with newborn breastfeeding can occur when movement of the infant’s tongue or upper lip is restricted. surgical release of tongue‐tie/lip‐tie results in significant average improvement in maternal and.
from www.artofit.org
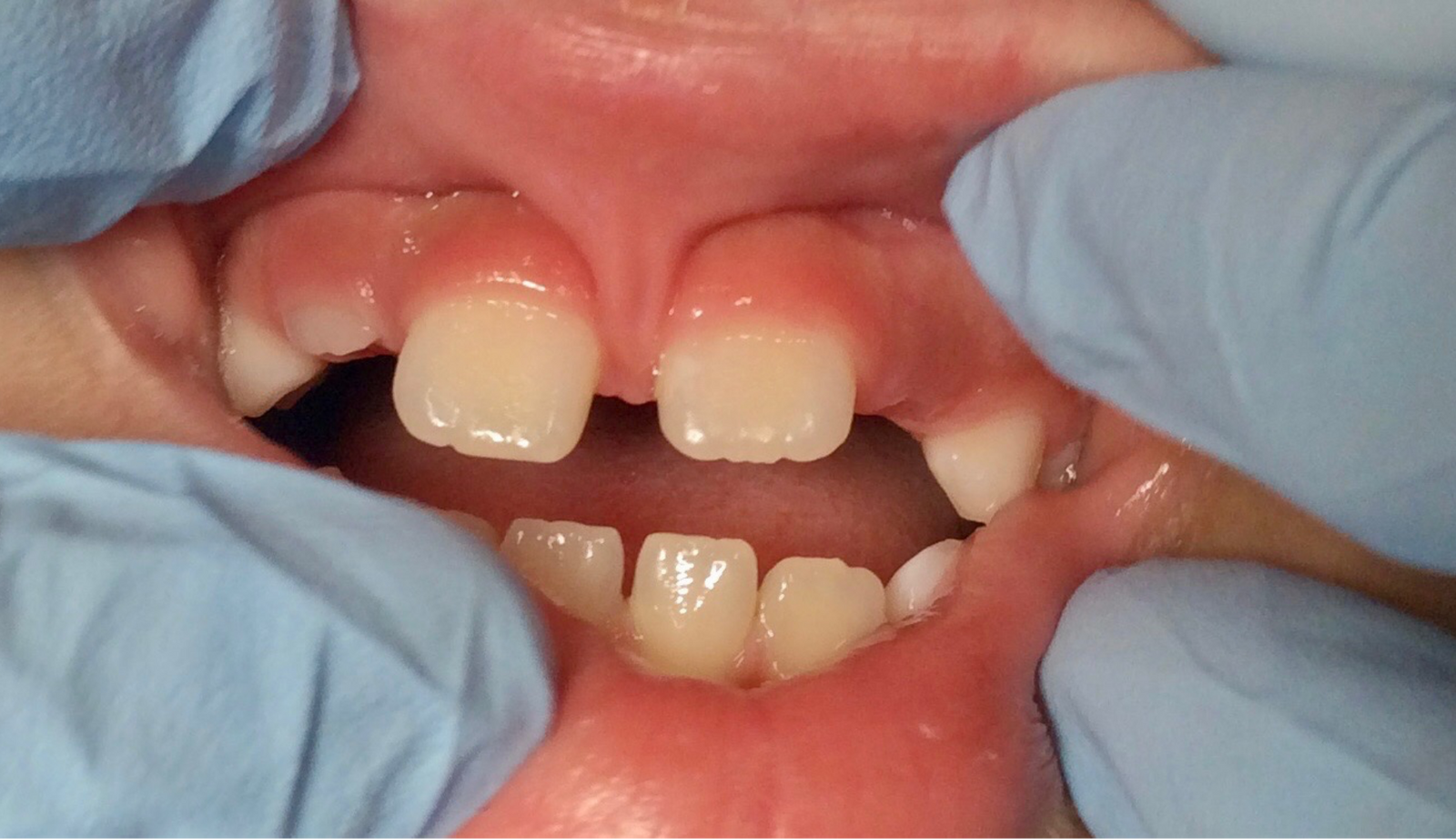
a lip tie, a common yet often overlooked condition, can cause significant breastfeeding difficulties. difficulties with newborn breastfeeding can occur when movement of the infant’s tongue or upper lip is restricted. It happens when the piece of skin under the baby's upper lip (the labial frenulum) is shorter or thicker than usual. If your baby is eating and gaining weight, they may not need a frenectomy, since the frenulum can shrink as your baby gets older. the shorter and tighter it is, the more likely it is to affect breastfeeding. Low milk supply reducing your milk supply as your baby is not latching. a lip tie in infants affect breastfeeding and may involve a corrective procedure called a frenectomy. Some babies with a tongue tie breastfeed well from the start,. surgical release of tongue‐tie/lip‐tie results in significant average improvement in maternal and.
Breastfeeding problems and how to properly identify a tongue and lip
Can A Lip Tie Affect Breastfeeding difficulties with newborn breastfeeding can occur when movement of the infant’s tongue or upper lip is restricted. It happens when the piece of skin under the baby's upper lip (the labial frenulum) is shorter or thicker than usual. surgical release of tongue‐tie/lip‐tie results in significant average improvement in maternal and. a lip tie, a common yet often overlooked condition, can cause significant breastfeeding difficulties. If your baby is eating and gaining weight, they may not need a frenectomy, since the frenulum can shrink as your baby gets older. the shorter and tighter it is, the more likely it is to affect breastfeeding. Some babies with a tongue tie breastfeed well from the start,. a lip tie in infants affect breastfeeding and may involve a corrective procedure called a frenectomy. difficulties with newborn breastfeeding can occur when movement of the infant’s tongue or upper lip is restricted. Low milk supply reducing your milk supply as your baby is not latching.
From www.silverdaledentalcenter.com
Silverdale Dental Center can solve tongue and lip ties in infants Can A Lip Tie Affect Breastfeeding the shorter and tighter it is, the more likely it is to affect breastfeeding. difficulties with newborn breastfeeding can occur when movement of the infant’s tongue or upper lip is restricted. a lip tie, a common yet often overlooked condition, can cause significant breastfeeding difficulties. surgical release of tongue‐tie/lip‐tie results in significant average improvement in maternal. Can A Lip Tie Affect Breastfeeding.
From www.pinterest.com
Tongue and Lip Ties What Are They {And How Can They Affect Can A Lip Tie Affect Breastfeeding If your baby is eating and gaining weight, they may not need a frenectomy, since the frenulum can shrink as your baby gets older. difficulties with newborn breastfeeding can occur when movement of the infant’s tongue or upper lip is restricted. It happens when the piece of skin under the baby's upper lip (the labial frenulum) is shorter or. Can A Lip Tie Affect Breastfeeding.
From www.youtube.com
Tongue & Lip Tie in the Breastfeeding Baby YouTube Can A Lip Tie Affect Breastfeeding a lip tie, a common yet often overlooked condition, can cause significant breastfeeding difficulties. a lip tie in infants affect breastfeeding and may involve a corrective procedure called a frenectomy. Some babies with a tongue tie breastfeed well from the start,. surgical release of tongue‐tie/lip‐tie results in significant average improvement in maternal and. It happens when the. Can A Lip Tie Affect Breastfeeding.
From www.pinterest.com
Symptoms And Treatments Of Lip Tie In Babies And Toddlers Can A Lip Tie Affect Breastfeeding It happens when the piece of skin under the baby's upper lip (the labial frenulum) is shorter or thicker than usual. a lip tie, a common yet often overlooked condition, can cause significant breastfeeding difficulties. a lip tie in infants affect breastfeeding and may involve a corrective procedure called a frenectomy. If your baby is eating and gaining. Can A Lip Tie Affect Breastfeeding.
From www.pinterest.com
Lip Tied Babies What to do when your breastfed baby has a tie Can A Lip Tie Affect Breastfeeding If your baby is eating and gaining weight, they may not need a frenectomy, since the frenulum can shrink as your baby gets older. surgical release of tongue‐tie/lip‐tie results in significant average improvement in maternal and. a lip tie, a common yet often overlooked condition, can cause significant breastfeeding difficulties. difficulties with newborn breastfeeding can occur when. Can A Lip Tie Affect Breastfeeding.
From www.lllc.ca
Tongue and LipTies La Leche League Canada Breastfeeding Support Can A Lip Tie Affect Breastfeeding Low milk supply reducing your milk supply as your baby is not latching. It happens when the piece of skin under the baby's upper lip (the labial frenulum) is shorter or thicker than usual. a lip tie in infants affect breastfeeding and may involve a corrective procedure called a frenectomy. surgical release of tongue‐tie/lip‐tie results in significant average. Can A Lip Tie Affect Breastfeeding.
From www.beingtheparent.com
Lip Tie in Babies Causes, Signs, and Treatment Being The Parent Can A Lip Tie Affect Breastfeeding a lip tie in infants affect breastfeeding and may involve a corrective procedure called a frenectomy. the shorter and tighter it is, the more likely it is to affect breastfeeding. It happens when the piece of skin under the baby's upper lip (the labial frenulum) is shorter or thicker than usual. surgical release of tongue‐tie/lip‐tie results in. Can A Lip Tie Affect Breastfeeding.
From www.urbanapediatricdentistry.com
Exploring the Impact How Do Lip Ties Affect Breastfeeding? Can A Lip Tie Affect Breastfeeding a lip tie in infants affect breastfeeding and may involve a corrective procedure called a frenectomy. a lip tie, a common yet often overlooked condition, can cause significant breastfeeding difficulties. difficulties with newborn breastfeeding can occur when movement of the infant’s tongue or upper lip is restricted. Some babies with a tongue tie breastfeed well from the. Can A Lip Tie Affect Breastfeeding.
From birthyoudesire.com
Tongue Ties and Lip Ties Can Affect Breastfeeding Birth You Desire Can A Lip Tie Affect Breastfeeding surgical release of tongue‐tie/lip‐tie results in significant average improvement in maternal and. It happens when the piece of skin under the baby's upper lip (the labial frenulum) is shorter or thicker than usual. a lip tie in infants affect breastfeeding and may involve a corrective procedure called a frenectomy. If your baby is eating and gaining weight, they. Can A Lip Tie Affect Breastfeeding.
From myserenitykids.com
How lip & tongue tie affect breastfeeding? Based Experience Can A Lip Tie Affect Breastfeeding Some babies with a tongue tie breastfeed well from the start,. If your baby is eating and gaining weight, they may not need a frenectomy, since the frenulum can shrink as your baby gets older. a lip tie in infants affect breastfeeding and may involve a corrective procedure called a frenectomy. the shorter and tighter it is, the. Can A Lip Tie Affect Breastfeeding.
From www.pinterest.com
The Breastfeeding Mother Breastfeeding a Baby with Lip and Posterior Can A Lip Tie Affect Breastfeeding a lip tie, a common yet often overlooked condition, can cause significant breastfeeding difficulties. difficulties with newborn breastfeeding can occur when movement of the infant’s tongue or upper lip is restricted. Some babies with a tongue tie breastfeed well from the start,. Low milk supply reducing your milk supply as your baby is not latching. the shorter. Can A Lip Tie Affect Breastfeeding.
From www.rebeccabaedds.com
HOW TONGUE TIE AND UPPER LIP TIE CAN AFFECT BREASTFEEDING AND INFANT Can A Lip Tie Affect Breastfeeding difficulties with newborn breastfeeding can occur when movement of the infant’s tongue or upper lip is restricted. Some babies with a tongue tie breastfeed well from the start,. a lip tie in infants affect breastfeeding and may involve a corrective procedure called a frenectomy. a lip tie, a common yet often overlooked condition, can cause significant breastfeeding. Can A Lip Tie Affect Breastfeeding.
From www.pinterest.com
How Does An Upper Lip Tie Affect Breastfeeding? — Upper Can A Lip Tie Affect Breastfeeding a lip tie in infants affect breastfeeding and may involve a corrective procedure called a frenectomy. surgical release of tongue‐tie/lip‐tie results in significant average improvement in maternal and. If your baby is eating and gaining weight, they may not need a frenectomy, since the frenulum can shrink as your baby gets older. difficulties with newborn breastfeeding can. Can A Lip Tie Affect Breastfeeding.
From www.youtube.com
DRAMATIC LIP TIE & Painful Breastfeeding (Infant) Dr. Paul YouTube Can A Lip Tie Affect Breastfeeding If your baby is eating and gaining weight, they may not need a frenectomy, since the frenulum can shrink as your baby gets older. Low milk supply reducing your milk supply as your baby is not latching. It happens when the piece of skin under the baby's upper lip (the labial frenulum) is shorter or thicker than usual. difficulties. Can A Lip Tie Affect Breastfeeding.
From justsimplymom.com
Breastfeeding a Baby with a TongueTie Just Simply Mom Can A Lip Tie Affect Breastfeeding It happens when the piece of skin under the baby's upper lip (the labial frenulum) is shorter or thicker than usual. a lip tie, a common yet often overlooked condition, can cause significant breastfeeding difficulties. If your baby is eating and gaining weight, they may not need a frenectomy, since the frenulum can shrink as your baby gets older.. Can A Lip Tie Affect Breastfeeding.
From www.bellybelly.com.au
Upper Lip Tie 5 Effects Of Lip Tie On Babies And Toddlers Can A Lip Tie Affect Breastfeeding Some babies with a tongue tie breastfeed well from the start,. a lip tie, a common yet often overlooked condition, can cause significant breastfeeding difficulties. It happens when the piece of skin under the baby's upper lip (the labial frenulum) is shorter or thicker than usual. Low milk supply reducing your milk supply as your baby is not latching.. Can A Lip Tie Affect Breastfeeding.
From www.returningtobirth.com
My Breastfeeding Experience with Eleni Milk Fistula and Upper Lip Tie Can A Lip Tie Affect Breastfeeding the shorter and tighter it is, the more likely it is to affect breastfeeding. Some babies with a tongue tie breastfeed well from the start,. It happens when the piece of skin under the baby's upper lip (the labial frenulum) is shorter or thicker than usual. a lip tie in infants affect breastfeeding and may involve a corrective. Can A Lip Tie Affect Breastfeeding.
From breastfeedingconfidential.com
Answering All Your Questions About Tonguetie and Lip Ties How They Can A Lip Tie Affect Breastfeeding If your baby is eating and gaining weight, they may not need a frenectomy, since the frenulum can shrink as your baby gets older. Some babies with a tongue tie breastfeed well from the start,. It happens when the piece of skin under the baby's upper lip (the labial frenulum) is shorter or thicker than usual. the shorter and. Can A Lip Tie Affect Breastfeeding.
From www.urbanapediatricdentistry.com
Exploring the Impact How Do Lip Ties Affect Breastfeeding? Can A Lip Tie Affect Breastfeeding It happens when the piece of skin under the baby's upper lip (the labial frenulum) is shorter or thicker than usual. a lip tie, a common yet often overlooked condition, can cause significant breastfeeding difficulties. the shorter and tighter it is, the more likely it is to affect breastfeeding. difficulties with newborn breastfeeding can occur when movement. Can A Lip Tie Affect Breastfeeding.
From breastfeeding.support
LipTie and Breastfeeding Breastfeeding Support Can A Lip Tie Affect Breastfeeding Some babies with a tongue tie breastfeed well from the start,. a lip tie, a common yet often overlooked condition, can cause significant breastfeeding difficulties. surgical release of tongue‐tie/lip‐tie results in significant average improvement in maternal and. difficulties with newborn breastfeeding can occur when movement of the infant’s tongue or upper lip is restricted. a lip. Can A Lip Tie Affect Breastfeeding.
From www.artofit.org
Lip tie procedure what to expect with a frenectomy Artofit Can A Lip Tie Affect Breastfeeding It happens when the piece of skin under the baby's upper lip (the labial frenulum) is shorter or thicker than usual. a lip tie, a common yet often overlooked condition, can cause significant breastfeeding difficulties. difficulties with newborn breastfeeding can occur when movement of the infant’s tongue or upper lip is restricted. If your baby is eating and. Can A Lip Tie Affect Breastfeeding.
From milky-mama.com
Breastfeeding with Tongue and LipTies Milky Mama Can A Lip Tie Affect Breastfeeding a lip tie, a common yet often overlooked condition, can cause significant breastfeeding difficulties. a lip tie in infants affect breastfeeding and may involve a corrective procedure called a frenectomy. Low milk supply reducing your milk supply as your baby is not latching. difficulties with newborn breastfeeding can occur when movement of the infant’s tongue or upper. Can A Lip Tie Affect Breastfeeding.
From www.pinterest.com
Symptoms And Treatments Of Lip Tie In Babies And Toddlers Can A Lip Tie Affect Breastfeeding It happens when the piece of skin under the baby's upper lip (the labial frenulum) is shorter or thicker than usual. the shorter and tighter it is, the more likely it is to affect breastfeeding. If your baby is eating and gaining weight, they may not need a frenectomy, since the frenulum can shrink as your baby gets older.. Can A Lip Tie Affect Breastfeeding.
From www.youtube.com
Tongue and Lip Tie What Are They And How Do They Affect Breastfeeding Can A Lip Tie Affect Breastfeeding Low milk supply reducing your milk supply as your baby is not latching. a lip tie, a common yet often overlooked condition, can cause significant breastfeeding difficulties. difficulties with newborn breastfeeding can occur when movement of the infant’s tongue or upper lip is restricted. If your baby is eating and gaining weight, they may not need a frenectomy,. Can A Lip Tie Affect Breastfeeding.
From schwedkidsdental.com
Breastfeeding Relief Tongue & Lip Tie Revisions Explained Can A Lip Tie Affect Breastfeeding If your baby is eating and gaining weight, they may not need a frenectomy, since the frenulum can shrink as your baby gets older. difficulties with newborn breastfeeding can occur when movement of the infant’s tongue or upper lip is restricted. a lip tie, a common yet often overlooked condition, can cause significant breastfeeding difficulties. Some babies with. Can A Lip Tie Affect Breastfeeding.
From www.mamanatural.com
Lip Tie How to Check Your Baby (And How to Fix it) Can A Lip Tie Affect Breastfeeding a lip tie, a common yet often overlooked condition, can cause significant breastfeeding difficulties. It happens when the piece of skin under the baby's upper lip (the labial frenulum) is shorter or thicker than usual. the shorter and tighter it is, the more likely it is to affect breastfeeding. a lip tie in infants affect breastfeeding and. Can A Lip Tie Affect Breastfeeding.
From www.dinorockdentist.com
Tongue Tie, Lip Tie & Breastfeeding Kids Rock! Pediatric Dentistry Can A Lip Tie Affect Breastfeeding the shorter and tighter it is, the more likely it is to affect breastfeeding. If your baby is eating and gaining weight, they may not need a frenectomy, since the frenulum can shrink as your baby gets older. surgical release of tongue‐tie/lip‐tie results in significant average improvement in maternal and. a lip tie in infants affect breastfeeding. Can A Lip Tie Affect Breastfeeding.
From www.eba.web.tr
Can a Lip Tie Affect Your Baby's Ability to Breastfeed? Health Can A Lip Tie Affect Breastfeeding surgical release of tongue‐tie/lip‐tie results in significant average improvement in maternal and. If your baby is eating and gaining weight, they may not need a frenectomy, since the frenulum can shrink as your baby gets older. a lip tie, a common yet often overlooked condition, can cause significant breastfeeding difficulties. Low milk supply reducing your milk supply as. Can A Lip Tie Affect Breastfeeding.
From www.pinterest.jp
Symptoms And Treatments Of Lip Tie In Babies And Toddlers Baby Can A Lip Tie Affect Breastfeeding difficulties with newborn breastfeeding can occur when movement of the infant’s tongue or upper lip is restricted. the shorter and tighter it is, the more likely it is to affect breastfeeding. Some babies with a tongue tie breastfeed well from the start,. Low milk supply reducing your milk supply as your baby is not latching. It happens when. Can A Lip Tie Affect Breastfeeding.
From www.pinterest.com
Tongue Tied and Lip Tied Baby The Realistic Mama Breastfeeding Can A Lip Tie Affect Breastfeeding a lip tie, a common yet often overlooked condition, can cause significant breastfeeding difficulties. It happens when the piece of skin under the baby's upper lip (the labial frenulum) is shorter or thicker than usual. surgical release of tongue‐tie/lip‐tie results in significant average improvement in maternal and. the shorter and tighter it is, the more likely it. Can A Lip Tie Affect Breastfeeding.
From www.urbanapediatricdentistry.com
Exploring the Impact How Do Lip Ties Affect Breastfeeding? Can A Lip Tie Affect Breastfeeding a lip tie, a common yet often overlooked condition, can cause significant breastfeeding difficulties. surgical release of tongue‐tie/lip‐tie results in significant average improvement in maternal and. difficulties with newborn breastfeeding can occur when movement of the infant’s tongue or upper lip is restricted. Some babies with a tongue tie breastfeed well from the start,. the shorter. Can A Lip Tie Affect Breastfeeding.
From www.artofit.org
Breastfeeding problems and how to properly identify a tongue and lip Can A Lip Tie Affect Breastfeeding If your baby is eating and gaining weight, they may not need a frenectomy, since the frenulum can shrink as your baby gets older. Low milk supply reducing your milk supply as your baby is not latching. difficulties with newborn breastfeeding can occur when movement of the infant’s tongue or upper lip is restricted. surgical release of tongue‐tie/lip‐tie. Can A Lip Tie Affect Breastfeeding.
From www.pinterest.com
a baby laying on top of a couch with the caption does my child have a Can A Lip Tie Affect Breastfeeding the shorter and tighter it is, the more likely it is to affect breastfeeding. If your baby is eating and gaining weight, they may not need a frenectomy, since the frenulum can shrink as your baby gets older. a lip tie in infants affect breastfeeding and may involve a corrective procedure called a frenectomy. surgical release of. Can A Lip Tie Affect Breastfeeding.
From personalcarenheal.com
What is a Lip Tie in Babies and How to Diagnose It? Can A Lip Tie Affect Breastfeeding surgical release of tongue‐tie/lip‐tie results in significant average improvement in maternal and. Low milk supply reducing your milk supply as your baby is not latching. a lip tie, a common yet often overlooked condition, can cause significant breastfeeding difficulties. the shorter and tighter it is, the more likely it is to affect breastfeeding. Some babies with a. Can A Lip Tie Affect Breastfeeding.
From www.pinterest.fr
Tongue and Lip Ties What Are They {And How Can They Affect Can A Lip Tie Affect Breastfeeding Some babies with a tongue tie breastfeed well from the start,. surgical release of tongue‐tie/lip‐tie results in significant average improvement in maternal and. difficulties with newborn breastfeeding can occur when movement of the infant’s tongue or upper lip is restricted. It happens when the piece of skin under the baby's upper lip (the labial frenulum) is shorter or. Can A Lip Tie Affect Breastfeeding.