Staph Infection Brain . The spectrum of infection includes: For example, endocarditis, a serious infection of the inner lining of your heart. In this article, we review the clinical manifestations of staphylococcus aureus infections, with emphasis on neurologic. When it is caused by staphylococcus aureus or staphylococcus epidermidis bacteria, it usually develops as a complication of surgery or as an. When it is caused by staphylococcus aureus or staphylococcus epidermidis bacteria, it usually develops as a. This article explores four common types of brain infections, including their causes and symptoms. Brain abscess is a focal collection within the brain parenchyma, which can arise as a complication of a variety of infections, trauma,. It also explains how brain infections are diagnosed, treated, and prevented. Most people recover from brain infections.
from www.semanticscholar.org
The spectrum of infection includes: This article explores four common types of brain infections, including their causes and symptoms. Most people recover from brain infections. In this article, we review the clinical manifestations of staphylococcus aureus infections, with emphasis on neurologic. Brain abscess is a focal collection within the brain parenchyma, which can arise as a complication of a variety of infections, trauma,. When it is caused by staphylococcus aureus or staphylococcus epidermidis bacteria, it usually develops as a. When it is caused by staphylococcus aureus or staphylococcus epidermidis bacteria, it usually develops as a complication of surgery or as an. It also explains how brain infections are diagnosed, treated, and prevented. For example, endocarditis, a serious infection of the inner lining of your heart.
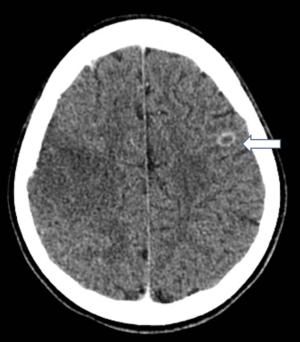
Figure 1 from Staphylococcus aureus Brain Abscess in an HIVInfected Patient Exposed to
Staph Infection Brain For example, endocarditis, a serious infection of the inner lining of your heart. Brain abscess is a focal collection within the brain parenchyma, which can arise as a complication of a variety of infections, trauma,. The spectrum of infection includes: For example, endocarditis, a serious infection of the inner lining of your heart. In this article, we review the clinical manifestations of staphylococcus aureus infections, with emphasis on neurologic. This article explores four common types of brain infections, including their causes and symptoms. When it is caused by staphylococcus aureus or staphylococcus epidermidis bacteria, it usually develops as a. It also explains how brain infections are diagnosed, treated, and prevented. When it is caused by staphylococcus aureus or staphylococcus epidermidis bacteria, it usually develops as a complication of surgery or as an. Most people recover from brain infections.
From www.frontiersin.org
Frontiers Virulence Determinants Are Required for Brain Abscess Formation Through Staph Infection Brain When it is caused by staphylococcus aureus or staphylococcus epidermidis bacteria, it usually develops as a. When it is caused by staphylococcus aureus or staphylococcus epidermidis bacteria, it usually develops as a complication of surgery or as an. The spectrum of infection includes: Most people recover from brain infections. This article explores four common types of brain infections, including their. Staph Infection Brain.
From www.icare-er.com
Unmasking Staph Infections Medical Blog iCare Staph Infection Brain This article explores four common types of brain infections, including their causes and symptoms. For example, endocarditis, a serious infection of the inner lining of your heart. Most people recover from brain infections. When it is caused by staphylococcus aureus or staphylococcus epidermidis bacteria, it usually develops as a complication of surgery or as an. Brain abscess is a focal. Staph Infection Brain.
From study.com
What Is a Staph Infection? Causes, Symptoms & Treatments Video & Lesson Transcript Staph Infection Brain Most people recover from brain infections. The spectrum of infection includes: When it is caused by staphylococcus aureus or staphylococcus epidermidis bacteria, it usually develops as a complication of surgery or as an. For example, endocarditis, a serious infection of the inner lining of your heart. In this article, we review the clinical manifestations of staphylococcus aureus infections, with emphasis. Staph Infection Brain.
From www.hopkinsmedicine.org
Staph Infection Johns Hopkins Medicine Staph Infection Brain When it is caused by staphylococcus aureus or staphylococcus epidermidis bacteria, it usually develops as a. In this article, we review the clinical manifestations of staphylococcus aureus infections, with emphasis on neurologic. The spectrum of infection includes: When it is caused by staphylococcus aureus or staphylococcus epidermidis bacteria, it usually develops as a complication of surgery or as an. Brain. Staph Infection Brain.
From www.cureus.com
Cureus Invasive Fungal Infection Complicating Treatment With Ibrutinib Staph Infection Brain This article explores four common types of brain infections, including their causes and symptoms. When it is caused by staphylococcus aureus or staphylococcus epidermidis bacteria, it usually develops as a. The spectrum of infection includes: For example, endocarditis, a serious infection of the inner lining of your heart. Most people recover from brain infections. It also explains how brain infections. Staph Infection Brain.
From www.prepladder.com
Staphylococcus Aureus Transmission, Symptoms, Risk Factors, Diagnosis and Treatment Staph Infection Brain When it is caused by staphylococcus aureus or staphylococcus epidermidis bacteria, it usually develops as a complication of surgery or as an. Brain abscess is a focal collection within the brain parenchyma, which can arise as a complication of a variety of infections, trauma,. For example, endocarditis, a serious infection of the inner lining of your heart. This article explores. Staph Infection Brain.
From sciencephotogallery.com
Brain Infection Caused By Streptococcus 1 by Kateryna Kon/science Photo Library Staph Infection Brain The spectrum of infection includes: This article explores four common types of brain infections, including their causes and symptoms. Most people recover from brain infections. It also explains how brain infections are diagnosed, treated, and prevented. When it is caused by staphylococcus aureus or staphylococcus epidermidis bacteria, it usually develops as a complication of surgery or as an. When it. Staph Infection Brain.
From www.researchgate.net
Schematic examples of the types of Staphylococcus aureus infections. Download Scientific Diagram Staph Infection Brain It also explains how brain infections are diagnosed, treated, and prevented. When it is caused by staphylococcus aureus or staphylococcus epidermidis bacteria, it usually develops as a. Most people recover from brain infections. For example, endocarditis, a serious infection of the inner lining of your heart. The spectrum of infection includes: Brain abscess is a focal collection within the brain. Staph Infection Brain.
From biologydictionary.net
Staphylococcus Aureus The Definitive Guide Biology Dictionary Staph Infection Brain When it is caused by staphylococcus aureus or staphylococcus epidermidis bacteria, it usually develops as a. It also explains how brain infections are diagnosed, treated, and prevented. Most people recover from brain infections. This article explores four common types of brain infections, including their causes and symptoms. In this article, we review the clinical manifestations of staphylococcus aureus infections, with. Staph Infection Brain.
From marketbusinessnews.com
What is a Staph Infection? Causes, treatment, and complications Staph Infection Brain Brain abscess is a focal collection within the brain parenchyma, which can arise as a complication of a variety of infections, trauma,. It also explains how brain infections are diagnosed, treated, and prevented. The spectrum of infection includes: When it is caused by staphylococcus aureus or staphylococcus epidermidis bacteria, it usually develops as a complication of surgery or as an.. Staph Infection Brain.
From www.dreamstime.com
Staphylococcus Aureus Bacteria As a Cause of Sinusitis Stock Illustration Illustration of Staph Infection Brain Brain abscess is a focal collection within the brain parenchyma, which can arise as a complication of a variety of infections, trauma,. Most people recover from brain infections. It also explains how brain infections are diagnosed, treated, and prevented. In this article, we review the clinical manifestations of staphylococcus aureus infections, with emphasis on neurologic. For example, endocarditis, a serious. Staph Infection Brain.
From www.researchgate.net
Chronic Staph infection significantly affects brain transcriptome of AD... Download Scientific Staph Infection Brain When it is caused by staphylococcus aureus or staphylococcus epidermidis bacteria, it usually develops as a complication of surgery or as an. Most people recover from brain infections. This article explores four common types of brain infections, including their causes and symptoms. It also explains how brain infections are diagnosed, treated, and prevented. In this article, we review the clinical. Staph Infection Brain.
From www.annsaudimed.net
Brain Abscess Due to Staphylococcus Aureus Following Neonatal Breast Abscess Case Report and a Staph Infection Brain When it is caused by staphylococcus aureus or staphylococcus epidermidis bacteria, it usually develops as a. The spectrum of infection includes: This article explores four common types of brain infections, including their causes and symptoms. Most people recover from brain infections. Brain abscess is a focal collection within the brain parenchyma, which can arise as a complication of a variety. Staph Infection Brain.
From osmond57.uk.to
Staph Infections In Kids Symptoms, Treatment & Home Remedies Staph Infection Brain For example, endocarditis, a serious infection of the inner lining of your heart. This article explores four common types of brain infections, including their causes and symptoms. It also explains how brain infections are diagnosed, treated, and prevented. When it is caused by staphylococcus aureus or staphylococcus epidermidis bacteria, it usually develops as a complication of surgery or as an.. Staph Infection Brain.
From sciencephoto.com
'Staph abscess, brain' Stock Image C003/5114 Science Photo Library Staph Infection Brain When it is caused by staphylococcus aureus or staphylococcus epidermidis bacteria, it usually develops as a. For example, endocarditis, a serious infection of the inner lining of your heart. The spectrum of infection includes: This article explores four common types of brain infections, including their causes and symptoms. Brain abscess is a focal collection within the brain parenchyma, which can. Staph Infection Brain.
From www.annsaudimed.net
Brain Abscess Due to Staphylococcus Aureus Following Neonatal Breast Abscess Case Report and a Staph Infection Brain Most people recover from brain infections. When it is caused by staphylococcus aureus or staphylococcus epidermidis bacteria, it usually develops as a complication of surgery or as an. When it is caused by staphylococcus aureus or staphylococcus epidermidis bacteria, it usually develops as a. It also explains how brain infections are diagnosed, treated, and prevented. The spectrum of infection includes:. Staph Infection Brain.
From www.annsaudimed.net
Brain Abscess Due to Staphylococcus Aureus Following Neonatal Breast Abscess Case Report and a Staph Infection Brain For example, endocarditis, a serious infection of the inner lining of your heart. When it is caused by staphylococcus aureus or staphylococcus epidermidis bacteria, it usually develops as a complication of surgery or as an. Brain abscess is a focal collection within the brain parenchyma, which can arise as a complication of a variety of infections, trauma,. It also explains. Staph Infection Brain.
From www.youtube.com
Staph infections (staphylococcus infection) Easy Microbiology YouTube Staph Infection Brain It also explains how brain infections are diagnosed, treated, and prevented. Brain abscess is a focal collection within the brain parenchyma, which can arise as a complication of a variety of infections, trauma,. The spectrum of infection includes: When it is caused by staphylococcus aureus or staphylococcus epidermidis bacteria, it usually develops as a complication of surgery or as an.. Staph Infection Brain.
From mavink.com
Stages Of Staph Infection Staph Infection Brain It also explains how brain infections are diagnosed, treated, and prevented. When it is caused by staphylococcus aureus or staphylococcus epidermidis bacteria, it usually develops as a complication of surgery or as an. Most people recover from brain infections. When it is caused by staphylococcus aureus or staphylococcus epidermidis bacteria, it usually develops as a. The spectrum of infection includes:. Staph Infection Brain.
From www.semanticscholar.org
Figure 1 from Staphylococcus aureus Brain Abscess in an HIVInfected Patient Exposed to Staph Infection Brain The spectrum of infection includes: This article explores four common types of brain infections, including their causes and symptoms. For example, endocarditis, a serious infection of the inner lining of your heart. Brain abscess is a focal collection within the brain parenchyma, which can arise as a complication of a variety of infections, trauma,. In this article, we review the. Staph Infection Brain.
From diseasesdic.com
Staph Infection Risk factors, Complications, and Medications. Staph Infection Brain When it is caused by staphylococcus aureus or staphylococcus epidermidis bacteria, it usually develops as a. In this article, we review the clinical manifestations of staphylococcus aureus infections, with emphasis on neurologic. Brain abscess is a focal collection within the brain parenchyma, which can arise as a complication of a variety of infections, trauma,. For example, endocarditis, a serious infection. Staph Infection Brain.
From www.animalia-life.club
Staphylococcus Aureus Staph Infection Brain The spectrum of infection includes: For example, endocarditis, a serious infection of the inner lining of your heart. Most people recover from brain infections. Brain abscess is a focal collection within the brain parenchyma, which can arise as a complication of a variety of infections, trauma,. When it is caused by staphylococcus aureus or staphylococcus epidermidis bacteria, it usually develops. Staph Infection Brain.
From jnnp.bmj.com
Detection of Staphylococcus aureus by 16S rRNA directed in situ hybridisation in a patient with Staph Infection Brain When it is caused by staphylococcus aureus or staphylococcus epidermidis bacteria, it usually develops as a. Most people recover from brain infections. Brain abscess is a focal collection within the brain parenchyma, which can arise as a complication of a variety of infections, trauma,. It also explains how brain infections are diagnosed, treated, and prevented. This article explores four common. Staph Infection Brain.
From lonestarneurology.net
What Causes Brain Infections? Lone Star Neurology Staph Infection Brain When it is caused by staphylococcus aureus or staphylococcus epidermidis bacteria, it usually develops as a complication of surgery or as an. Most people recover from brain infections. Brain abscess is a focal collection within the brain parenchyma, which can arise as a complication of a variety of infections, trauma,. When it is caused by staphylococcus aureus or staphylococcus epidermidis. Staph Infection Brain.
From www.verywellhealth.com
Staph Infection Overview and More Staph Infection Brain Brain abscess is a focal collection within the brain parenchyma, which can arise as a complication of a variety of infections, trauma,. It also explains how brain infections are diagnosed, treated, and prevented. When it is caused by staphylococcus aureus or staphylococcus epidermidis bacteria, it usually develops as a. In this article, we review the clinical manifestations of staphylococcus aureus. Staph Infection Brain.
From www.jpeds.com
Multiple Brain Abscesses in a Neonate after Blood Stream Infection with MethicillinResistant Staph Infection Brain It also explains how brain infections are diagnosed, treated, and prevented. For example, endocarditis, a serious infection of the inner lining of your heart. The spectrum of infection includes: When it is caused by staphylococcus aureus or staphylococcus epidermidis bacteria, it usually develops as a complication of surgery or as an. When it is caused by staphylococcus aureus or staphylococcus. Staph Infection Brain.
From www.10faq.com
Staph Infection Staph Infections Causes, Symptoms & Treatments Staph Infection Brain When it is caused by staphylococcus aureus or staphylococcus epidermidis bacteria, it usually develops as a. It also explains how brain infections are diagnosed, treated, and prevented. Most people recover from brain infections. The spectrum of infection includes: Brain abscess is a focal collection within the brain parenchyma, which can arise as a complication of a variety of infections, trauma,.. Staph Infection Brain.
From present5.com
Causative agents of inflammatory suppurative and septical infections Staph Infection Brain The spectrum of infection includes: It also explains how brain infections are diagnosed, treated, and prevented. Most people recover from brain infections. Brain abscess is a focal collection within the brain parenchyma, which can arise as a complication of a variety of infections, trauma,. When it is caused by staphylococcus aureus or staphylococcus epidermidis bacteria, it usually develops as a.. Staph Infection Brain.
From encyclopedia.pub
Intracellular lifestyle of Staphylococcus aureus Encyclopedia MDPI Staph Infection Brain It also explains how brain infections are diagnosed, treated, and prevented. In this article, we review the clinical manifestations of staphylococcus aureus infections, with emphasis on neurologic. Brain abscess is a focal collection within the brain parenchyma, which can arise as a complication of a variety of infections, trauma,. For example, endocarditis, a serious infection of the inner lining of. Staph Infection Brain.
From www.researchgate.net
Embolic stroke. Mitral valve Staphylococcus aureus endocarditis with... Download Scientific Staph Infection Brain The spectrum of infection includes: Most people recover from brain infections. In this article, we review the clinical manifestations of staphylococcus aureus infections, with emphasis on neurologic. This article explores four common types of brain infections, including their causes and symptoms. Brain abscess is a focal collection within the brain parenchyma, which can arise as a complication of a variety. Staph Infection Brain.
From www.cureus.com
Cureus Invasive CommunityAcquired MethicillinResistant Staphylococcus aureus (MRSA Staph Infection Brain Most people recover from brain infections. It also explains how brain infections are diagnosed, treated, and prevented. This article explores four common types of brain infections, including their causes and symptoms. When it is caused by staphylococcus aureus or staphylococcus epidermidis bacteria, it usually develops as a complication of surgery or as an. For example, endocarditis, a serious infection of. Staph Infection Brain.
From www.sciencephoto.com
Staph Infection Stock Image C043/0684 Science Photo Library Staph Infection Brain The spectrum of infection includes: For example, endocarditis, a serious infection of the inner lining of your heart. When it is caused by staphylococcus aureus or staphylococcus epidermidis bacteria, it usually develops as a complication of surgery or as an. When it is caused by staphylococcus aureus or staphylococcus epidermidis bacteria, it usually develops as a. Brain abscess is a. Staph Infection Brain.
From www.annsaudimed.net
Brain Abscess Due to Staphylococcus Aureus Following Neonatal Breast Abscess Case Report and a Staph Infection Brain Most people recover from brain infections. When it is caused by staphylococcus aureus or staphylococcus epidermidis bacteria, it usually develops as a complication of surgery or as an. For example, endocarditis, a serious infection of the inner lining of your heart. It also explains how brain infections are diagnosed, treated, and prevented. When it is caused by staphylococcus aureus or. Staph Infection Brain.
From facty.com
The Ten Reasons Why Staph Infections Occur Facty Health Staph Infection Brain For example, endocarditis, a serious infection of the inner lining of your heart. Brain abscess is a focal collection within the brain parenchyma, which can arise as a complication of a variety of infections, trauma,. When it is caused by staphylococcus aureus or staphylococcus epidermidis bacteria, it usually develops as a. Most people recover from brain infections. The spectrum of. Staph Infection Brain.
From pixels.com
Staphylococcus Aureus Bacteria Photograph by Dr Tony Brain/science Photo Library Pixels Staph Infection Brain For example, endocarditis, a serious infection of the inner lining of your heart. In this article, we review the clinical manifestations of staphylococcus aureus infections, with emphasis on neurologic. The spectrum of infection includes: Most people recover from brain infections. When it is caused by staphylococcus aureus or staphylococcus epidermidis bacteria, it usually develops as a. When it is caused. Staph Infection Brain.