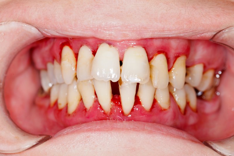
Gingivitis Vs Periodontitis Difference . Gingivitis, the earliest stage of gum disease, derives. In understanding oral health, recognizing the difference between gingivitis vs. Gingivitis is swelling, redness, and bleeding in the part of your gums that surround your teeth. A gum inflammation (gingivitis) is usually harmless and goes away quickly. It's a milder form of gum. Technically speaking, gingivitis and periodontitis are both unique stages of periodontal (or gum) disease. The difference between periodontitis and gingivitis has to do with the progression of inflammation and infection. But it might spread to the periodontium (the soft. Gingivitis and periodontitis are both forms of gum disease, but they differ in severity and impact on oral health. Gingivitis and periodontitis are both forms of gum disease but represent different stages of the condition. Understanding the contrast between the two is needed to address dental health concerns effectively. If you have gingivitis, which is the earliest form of gum disease, you’ll likely notice inflamed, red, swollen, and bleeding gums.
from wayzatadental.com
Gingivitis and periodontitis are both forms of gum disease but represent different stages of the condition. The difference between periodontitis and gingivitis has to do with the progression of inflammation and infection. Gingivitis, the earliest stage of gum disease, derives. It's a milder form of gum. In understanding oral health, recognizing the difference between gingivitis vs. Understanding the contrast between the two is needed to address dental health concerns effectively. A gum inflammation (gingivitis) is usually harmless and goes away quickly. Technically speaking, gingivitis and periodontitis are both unique stages of periodontal (or gum) disease. Gingivitis and periodontitis are both forms of gum disease, but they differ in severity and impact on oral health. But it might spread to the periodontium (the soft.
Gingivitis vs Periodontitis What's the Difference?
Gingivitis Vs Periodontitis Difference Technically speaking, gingivitis and periodontitis are both unique stages of periodontal (or gum) disease. Understanding the contrast between the two is needed to address dental health concerns effectively. Gingivitis and periodontitis are both forms of gum disease but represent different stages of the condition. The difference between periodontitis and gingivitis has to do with the progression of inflammation and infection. If you have gingivitis, which is the earliest form of gum disease, you’ll likely notice inflamed, red, swollen, and bleeding gums. A gum inflammation (gingivitis) is usually harmless and goes away quickly. Gingivitis, the earliest stage of gum disease, derives. Gingivitis is swelling, redness, and bleeding in the part of your gums that surround your teeth. Technically speaking, gingivitis and periodontitis are both unique stages of periodontal (or gum) disease. It's a milder form of gum. Gingivitis and periodontitis are both forms of gum disease, but they differ in severity and impact on oral health. But it might spread to the periodontium (the soft. In understanding oral health, recognizing the difference between gingivitis vs.
From www.dgdental.com
Periodontitis vs. Gingivitis Gum Disease West Orange Treatment Gingivitis Vs Periodontitis Difference Gingivitis, the earliest stage of gum disease, derives. Gingivitis is swelling, redness, and bleeding in the part of your gums that surround your teeth. Technically speaking, gingivitis and periodontitis are both unique stages of periodontal (or gum) disease. The difference between periodontitis and gingivitis has to do with the progression of inflammation and infection. It's a milder form of gum.. Gingivitis Vs Periodontitis Difference.
From www.sarasotadentistry.com
Gingivitis vs. Periodontitis What’s the Difference? Sarasota Dentistry Gingivitis Vs Periodontitis Difference If you have gingivitis, which is the earliest form of gum disease, you’ll likely notice inflamed, red, swollen, and bleeding gums. It's a milder form of gum. A gum inflammation (gingivitis) is usually harmless and goes away quickly. Gingivitis is swelling, redness, and bleeding in the part of your gums that surround your teeth. Technically speaking, gingivitis and periodontitis are. Gingivitis Vs Periodontitis Difference.
From wayzatadental.com
Gingivitis vs Periodontitis What's the Difference? Gingivitis Vs Periodontitis Difference Gingivitis and periodontitis are both forms of gum disease, but they differ in severity and impact on oral health. A gum inflammation (gingivitis) is usually harmless and goes away quickly. Gingivitis is swelling, redness, and bleeding in the part of your gums that surround your teeth. Technically speaking, gingivitis and periodontitis are both unique stages of periodontal (or gum) disease.. Gingivitis Vs Periodontitis Difference.
From laptrinhx.com
Periodontitis vs Gingivitis Know the Differences & Warning Signs Gingivitis Vs Periodontitis Difference A gum inflammation (gingivitis) is usually harmless and goes away quickly. Technically speaking, gingivitis and periodontitis are both unique stages of periodontal (or gum) disease. But it might spread to the periodontium (the soft. Gingivitis and periodontitis are both forms of gum disease, but they differ in severity and impact on oral health. The difference between periodontitis and gingivitis has. Gingivitis Vs Periodontitis Difference.
From wayzatadental.com
Gingivitis vs Periodontitis What's the Difference? Gingivitis Vs Periodontitis Difference Gingivitis, the earliest stage of gum disease, derives. Gingivitis and periodontitis are both forms of gum disease but represent different stages of the condition. But it might spread to the periodontium (the soft. A gum inflammation (gingivitis) is usually harmless and goes away quickly. Gingivitis and periodontitis are both forms of gum disease, but they differ in severity and impact. Gingivitis Vs Periodontitis Difference.
From www.periotally.com
Gingivitis vs Periodontitis Periodontics and Implant Dentistry of Gingivitis Vs Periodontitis Difference Understanding the contrast between the two is needed to address dental health concerns effectively. Gingivitis, the earliest stage of gum disease, derives. The difference between periodontitis and gingivitis has to do with the progression of inflammation and infection. Technically speaking, gingivitis and periodontitis are both unique stages of periodontal (or gum) disease. It's a milder form of gum. In understanding. Gingivitis Vs Periodontitis Difference.
From www.cadentalgroup.com
Gingivitis vs Periodontitis Understanding the Differences and Gingivitis Vs Periodontitis Difference Gingivitis and periodontitis are both forms of gum disease, but they differ in severity and impact on oral health. A gum inflammation (gingivitis) is usually harmless and goes away quickly. Understanding the contrast between the two is needed to address dental health concerns effectively. It's a milder form of gum. Gingivitis, the earliest stage of gum disease, derives. Gingivitis and. Gingivitis Vs Periodontitis Difference.
From heroesdental.com
Gingivitis vs. Periodontitis What’s the Difference? Heroes Dental Gingivitis Vs Periodontitis Difference A gum inflammation (gingivitis) is usually harmless and goes away quickly. It's a milder form of gum. But it might spread to the periodontium (the soft. Gingivitis and periodontitis are both forms of gum disease but represent different stages of the condition. Understanding the contrast between the two is needed to address dental health concerns effectively. Technically speaking, gingivitis and. Gingivitis Vs Periodontitis Difference.
From laptrinhx.com
Periodontitis vs Gingivitis Know the Differences & Warning Signs Gingivitis Vs Periodontitis Difference Gingivitis and periodontitis are both forms of gum disease, but they differ in severity and impact on oral health. In understanding oral health, recognizing the difference between gingivitis vs. The difference between periodontitis and gingivitis has to do with the progression of inflammation and infection. Gingivitis and periodontitis are both forms of gum disease but represent different stages of the. Gingivitis Vs Periodontitis Difference.
From dentalclinicraipur.com
Periodontitis Vs Gingivitis (Meaning,8 Signs & Symptoms,Diagnosis Gingivitis Vs Periodontitis Difference A gum inflammation (gingivitis) is usually harmless and goes away quickly. Gingivitis, the earliest stage of gum disease, derives. Technically speaking, gingivitis and periodontitis are both unique stages of periodontal (or gum) disease. If you have gingivitis, which is the earliest form of gum disease, you’ll likely notice inflamed, red, swollen, and bleeding gums. Understanding the contrast between the two. Gingivitis Vs Periodontitis Difference.
From www.sundancesmiles.com
Gingivitis Vs. Periodontitis Difference Between Gum Infection Gingivitis Vs Periodontitis Difference In understanding oral health, recognizing the difference between gingivitis vs. Understanding the contrast between the two is needed to address dental health concerns effectively. Gingivitis is swelling, redness, and bleeding in the part of your gums that surround your teeth. But it might spread to the periodontium (the soft. The difference between periodontitis and gingivitis has to do with the. Gingivitis Vs Periodontitis Difference.
From heroesdental.com
Gingivitis vs. Periodontitis What’s the Difference? Heroes Dental Gingivitis Vs Periodontitis Difference But it might spread to the periodontium (the soft. Gingivitis is swelling, redness, and bleeding in the part of your gums that surround your teeth. It's a milder form of gum. The difference between periodontitis and gingivitis has to do with the progression of inflammation and infection. Understanding the contrast between the two is needed to address dental health concerns. Gingivitis Vs Periodontitis Difference.
From www.mountainbaydental.com
Understanding the Difference Between Gingivitis and Periodontitis Gingivitis Vs Periodontitis Difference A gum inflammation (gingivitis) is usually harmless and goes away quickly. In understanding oral health, recognizing the difference between gingivitis vs. Technically speaking, gingivitis and periodontitis are both unique stages of periodontal (or gum) disease. Gingivitis and periodontitis are both forms of gum disease, but they differ in severity and impact on oral health. Understanding the contrast between the two. Gingivitis Vs Periodontitis Difference.
From askanydifference.com
Gingivitis vs Periodontitis Perbedaan dan Perbandingan Gingivitis Vs Periodontitis Difference It's a milder form of gum. Gingivitis and periodontitis are both forms of gum disease, but they differ in severity and impact on oral health. If you have gingivitis, which is the earliest form of gum disease, you’ll likely notice inflamed, red, swollen, and bleeding gums. But it might spread to the periodontium (the soft. Gingivitis is swelling, redness, and. Gingivitis Vs Periodontitis Difference.
From dentalartssandiego.com
The difference between gingivitis and periodontitis Dental Arts San Diego Gingivitis Vs Periodontitis Difference Gingivitis, the earliest stage of gum disease, derives. A gum inflammation (gingivitis) is usually harmless and goes away quickly. The difference between periodontitis and gingivitis has to do with the progression of inflammation and infection. Technically speaking, gingivitis and periodontitis are both unique stages of periodontal (or gum) disease. Gingivitis and periodontitis are both forms of gum disease but represent. Gingivitis Vs Periodontitis Difference.
From stock.adobe.com
periodontitis and gingivitis. Diagram with disease of teeth and gums Gingivitis Vs Periodontitis Difference It's a milder form of gum. But it might spread to the periodontium (the soft. The difference between periodontitis and gingivitis has to do with the progression of inflammation and infection. Gingivitis, the earliest stage of gum disease, derives. Understanding the contrast between the two is needed to address dental health concerns effectively. Gingivitis and periodontitis are both forms of. Gingivitis Vs Periodontitis Difference.
From dentagama.com
Gum Diseases Differences between Gingivitis and Periodontitis News Gingivitis Vs Periodontitis Difference Understanding the contrast between the two is needed to address dental health concerns effectively. Gingivitis and periodontitis are both forms of gum disease but represent different stages of the condition. A gum inflammation (gingivitis) is usually harmless and goes away quickly. Technically speaking, gingivitis and periodontitis are both unique stages of periodontal (or gum) disease. In understanding oral health, recognizing. Gingivitis Vs Periodontitis Difference.
From www.slideserve.com
PPT Difference Between Gingivitis and Periodontitis PowerPoint Gingivitis Vs Periodontitis Difference In understanding oral health, recognizing the difference between gingivitis vs. If you have gingivitis, which is the earliest form of gum disease, you’ll likely notice inflamed, red, swollen, and bleeding gums. But it might spread to the periodontium (the soft. Gingivitis is swelling, redness, and bleeding in the part of your gums that surround your teeth. Technically speaking, gingivitis and. Gingivitis Vs Periodontitis Difference.
From stdental.com
What’s the Difference Between Gingivitis and Periodontitis? Santa Gingivitis Vs Periodontitis Difference Gingivitis and periodontitis are both forms of gum disease, but they differ in severity and impact on oral health. A gum inflammation (gingivitis) is usually harmless and goes away quickly. If you have gingivitis, which is the earliest form of gum disease, you’ll likely notice inflamed, red, swollen, and bleeding gums. Gingivitis, the earliest stage of gum disease, derives. Gingivitis. Gingivitis Vs Periodontitis Difference.
From europe-wsj.com
Gingivitis vs. Periodontitis Understanding the Key Differences Gingivitis Vs Periodontitis Difference A gum inflammation (gingivitis) is usually harmless and goes away quickly. In understanding oral health, recognizing the difference between gingivitis vs. But it might spread to the periodontium (the soft. Technically speaking, gingivitis and periodontitis are both unique stages of periodontal (or gum) disease. Gingivitis and periodontitis are both forms of gum disease, but they differ in severity and impact. Gingivitis Vs Periodontitis Difference.
From www.differencebetween.net
Difference Between Gingivitis and Periodontitis Difference Between Gingivitis Vs Periodontitis Difference It's a milder form of gum. But it might spread to the periodontium (the soft. Gingivitis is swelling, redness, and bleeding in the part of your gums that surround your teeth. Understanding the contrast between the two is needed to address dental health concerns effectively. Technically speaking, gingivitis and periodontitis are both unique stages of periodontal (or gum) disease. Gingivitis. Gingivitis Vs Periodontitis Difference.
From toothfeed.com
Gingivitis vs. Periodontitis What is the Difference? Gingivitis Vs Periodontitis Difference A gum inflammation (gingivitis) is usually harmless and goes away quickly. Gingivitis is swelling, redness, and bleeding in the part of your gums that surround your teeth. Understanding the contrast between the two is needed to address dental health concerns effectively. In understanding oral health, recognizing the difference between gingivitis vs. Technically speaking, gingivitis and periodontitis are both unique stages. Gingivitis Vs Periodontitis Difference.
From www.mydental.com
The Main Difference Between Gingivitis vs. Periodontitis myDental Gingivitis Vs Periodontitis Difference It's a milder form of gum. Technically speaking, gingivitis and periodontitis are both unique stages of periodontal (or gum) disease. Gingivitis, the earliest stage of gum disease, derives. Understanding the contrast between the two is needed to address dental health concerns effectively. The difference between periodontitis and gingivitis has to do with the progression of inflammation and infection. A gum. Gingivitis Vs Periodontitis Difference.
From www.drsalamati.com
What Is Gum Disease? Gingivitis vs. Periodontitis Afshin Salamati Gingivitis Vs Periodontitis Difference The difference between periodontitis and gingivitis has to do with the progression of inflammation and infection. If you have gingivitis, which is the earliest form of gum disease, you’ll likely notice inflamed, red, swollen, and bleeding gums. Gingivitis and periodontitis are both forms of gum disease, but they differ in severity and impact on oral health. But it might spread. Gingivitis Vs Periodontitis Difference.
From www.miamiperio.com
Gingivitis vs Periodontitis Gallardo Periodontics and Implant Dentistry Gingivitis Vs Periodontitis Difference Gingivitis is swelling, redness, and bleeding in the part of your gums that surround your teeth. Understanding the contrast between the two is needed to address dental health concerns effectively. Technically speaking, gingivitis and periodontitis are both unique stages of periodontal (or gum) disease. But it might spread to the periodontium (the soft. The difference between periodontitis and gingivitis has. Gingivitis Vs Periodontitis Difference.
From www.vrogue.co
Gingivitis Vs Periodontitis What S The Difference vrogue.co Gingivitis Vs Periodontitis Difference Technically speaking, gingivitis and periodontitis are both unique stages of periodontal (or gum) disease. In understanding oral health, recognizing the difference between gingivitis vs. The difference between periodontitis and gingivitis has to do with the progression of inflammation and infection. It's a milder form of gum. Understanding the contrast between the two is needed to address dental health concerns effectively.. Gingivitis Vs Periodontitis Difference.
From www.dayodental.com
Gingivitis vs Periodontitis Stages of Gum Diseases Explained Gingivitis Vs Periodontitis Difference In understanding oral health, recognizing the difference between gingivitis vs. Understanding the contrast between the two is needed to address dental health concerns effectively. Gingivitis and periodontitis are both forms of gum disease but represent different stages of the condition. Technically speaking, gingivitis and periodontitis are both unique stages of periodontal (or gum) disease. The difference between periodontitis and gingivitis. Gingivitis Vs Periodontitis Difference.
From www.cordiniperiodontics.com
Gingivitis vs. Periodontitis — What’s the Difference? Gingivitis Vs Periodontitis Difference The difference between periodontitis and gingivitis has to do with the progression of inflammation and infection. It's a milder form of gum. A gum inflammation (gingivitis) is usually harmless and goes away quickly. Gingivitis is swelling, redness, and bleeding in the part of your gums that surround your teeth. Gingivitis and periodontitis are both forms of gum disease, but they. Gingivitis Vs Periodontitis Difference.
From www.designdentistry.ca
Gingivitis vs. Periodontitis What's the Difference? West Edmonton Gingivitis Vs Periodontitis Difference Technically speaking, gingivitis and periodontitis are both unique stages of periodontal (or gum) disease. Gingivitis and periodontitis are both forms of gum disease but represent different stages of the condition. Gingivitis, the earliest stage of gum disease, derives. Gingivitis and periodontitis are both forms of gum disease, but they differ in severity and impact on oral health. In understanding oral. Gingivitis Vs Periodontitis Difference.
From www.vrogue.co
The Difference Between Gingivitis And Periodontitis A vrogue.co Gingivitis Vs Periodontitis Difference Technically speaking, gingivitis and periodontitis are both unique stages of periodontal (or gum) disease. If you have gingivitis, which is the earliest form of gum disease, you’ll likely notice inflamed, red, swollen, and bleeding gums. The difference between periodontitis and gingivitis has to do with the progression of inflammation and infection. A gum inflammation (gingivitis) is usually harmless and goes. Gingivitis Vs Periodontitis Difference.
From www.the-mommyhood-chronicles.com
Gingivitis vs Periodontitis What's the difference? The Mommyhood Gingivitis Vs Periodontitis Difference The difference between periodontitis and gingivitis has to do with the progression of inflammation and infection. Gingivitis and periodontitis are both forms of gum disease, but they differ in severity and impact on oral health. Gingivitis and periodontitis are both forms of gum disease but represent different stages of the condition. But it might spread to the periodontium (the soft.. Gingivitis Vs Periodontitis Difference.
From dentalclinicraipur.com
Periodontitis & Gingivitis Meaning Symptoms Tx Gum Disease Gingivitis Vs Periodontitis Difference If you have gingivitis, which is the earliest form of gum disease, you’ll likely notice inflamed, red, swollen, and bleeding gums. The difference between periodontitis and gingivitis has to do with the progression of inflammation and infection. Understanding the contrast between the two is needed to address dental health concerns effectively. In understanding oral health, recognizing the difference between gingivitis. Gingivitis Vs Periodontitis Difference.
From adentalcare.com
Periodontitis vs Gingivitis What’s the Difference Gingivitis Vs Periodontitis Difference A gum inflammation (gingivitis) is usually harmless and goes away quickly. It's a milder form of gum. In understanding oral health, recognizing the difference between gingivitis vs. Technically speaking, gingivitis and periodontitis are both unique stages of periodontal (or gum) disease. The difference between periodontitis and gingivitis has to do with the progression of inflammation and infection. Gingivitis and periodontitis. Gingivitis Vs Periodontitis Difference.
From dentrixdentalcare.com
What's the Difference? Gingivitis vs Periodontitis Gingivitis Vs Periodontitis Difference In understanding oral health, recognizing the difference between gingivitis vs. A gum inflammation (gingivitis) is usually harmless and goes away quickly. Gingivitis, the earliest stage of gum disease, derives. It's a milder form of gum. Technically speaking, gingivitis and periodontitis are both unique stages of periodontal (or gum) disease. Gingivitis and periodontitis are both forms of gum disease but represent. Gingivitis Vs Periodontitis Difference.
From www.texasperiodontal.com
Gingivitis vs. Periodontitis Four Stages of Gum Disease Periodontal Gingivitis Vs Periodontitis Difference The difference between periodontitis and gingivitis has to do with the progression of inflammation and infection. Gingivitis, the earliest stage of gum disease, derives. Technically speaking, gingivitis and periodontitis are both unique stages of periodontal (or gum) disease. If you have gingivitis, which is the earliest form of gum disease, you’ll likely notice inflamed, red, swollen, and bleeding gums. A. Gingivitis Vs Periodontitis Difference.