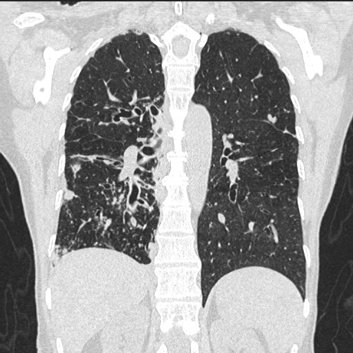
Chest Ct Bronchiectasis . A distinct feature of bronchiectasis is the tendency toward exacerbations. Furthermore, we developed a set of consensus statements concerning the definitions of clinical bronchiectasis and its. We prioritised criteria for the radiological diagnosis of bronchiectasis and suggest recommendations on the use and central reading of chest ct scans to confirm the presence of bronchiectasis for clinical trials. May be normal or may show. Chest radiography is usually the initial study performed in suspected bronchiectasis. A radiologist will associate bronchiectasis with the typical chest computed tomography (ct) scan features, consisting of an abnormally widened and thickened airway with an irregular wall, lack of tapering and/or visibility of the airway in the periphery of the lung [2]. Chest imaging, specifically ct scanning, is required to make the diagnosis of bronchiectasis.
from www.ctisus.com
May be normal or may show. A distinct feature of bronchiectasis is the tendency toward exacerbations. Chest radiography is usually the initial study performed in suspected bronchiectasis. A radiologist will associate bronchiectasis with the typical chest computed tomography (ct) scan features, consisting of an abnormally widened and thickened airway with an irregular wall, lack of tapering and/or visibility of the airway in the periphery of the lung [2]. We prioritised criteria for the radiological diagnosis of bronchiectasis and suggest recommendations on the use and central reading of chest ct scans to confirm the presence of bronchiectasis for clinical trials. Furthermore, we developed a set of consensus statements concerning the definitions of clinical bronchiectasis and its. Chest imaging, specifically ct scanning, is required to make the diagnosis of bronchiectasis.
Cystic Bronchiectasis on Chest Xray X Rays Case Studies CTisus CT
Chest Ct Bronchiectasis Chest imaging, specifically ct scanning, is required to make the diagnosis of bronchiectasis. Furthermore, we developed a set of consensus statements concerning the definitions of clinical bronchiectasis and its. We prioritised criteria for the radiological diagnosis of bronchiectasis and suggest recommendations on the use and central reading of chest ct scans to confirm the presence of bronchiectasis for clinical trials. A distinct feature of bronchiectasis is the tendency toward exacerbations. Chest radiography is usually the initial study performed in suspected bronchiectasis. May be normal or may show. A radiologist will associate bronchiectasis with the typical chest computed tomography (ct) scan features, consisting of an abnormally widened and thickened airway with an irregular wall, lack of tapering and/or visibility of the airway in the periphery of the lung [2]. Chest imaging, specifically ct scanning, is required to make the diagnosis of bronchiectasis.
From radiologycases.my
Foreign body induced bronchiectasis Radiology Cases Chest Ct Bronchiectasis May be normal or may show. A radiologist will associate bronchiectasis with the typical chest computed tomography (ct) scan features, consisting of an abnormally widened and thickened airway with an irregular wall, lack of tapering and/or visibility of the airway in the periphery of the lung [2]. Furthermore, we developed a set of consensus statements concerning the definitions of clinical. Chest Ct Bronchiectasis.
From www.researchgate.net
Chest CT scan showing apical bronchiectasis. Download Scientific Diagram Chest Ct Bronchiectasis Furthermore, we developed a set of consensus statements concerning the definitions of clinical bronchiectasis and its. A distinct feature of bronchiectasis is the tendency toward exacerbations. Chest radiography is usually the initial study performed in suspected bronchiectasis. A radiologist will associate bronchiectasis with the typical chest computed tomography (ct) scan features, consisting of an abnormally widened and thickened airway with. Chest Ct Bronchiectasis.
From www.researchgate.net
Tramtrack sign seen in cylindrical bronchiectasis on the chest CT scan Chest Ct Bronchiectasis Chest radiography is usually the initial study performed in suspected bronchiectasis. May be normal or may show. A distinct feature of bronchiectasis is the tendency toward exacerbations. We prioritised criteria for the radiological diagnosis of bronchiectasis and suggest recommendations on the use and central reading of chest ct scans to confirm the presence of bronchiectasis for clinical trials. Chest imaging,. Chest Ct Bronchiectasis.
From onradiology.blogspot.com
ON RADIOLOGY Bronchiectasis in HighResolution CT Chest Ct Bronchiectasis We prioritised criteria for the radiological diagnosis of bronchiectasis and suggest recommendations on the use and central reading of chest ct scans to confirm the presence of bronchiectasis for clinical trials. Furthermore, we developed a set of consensus statements concerning the definitions of clinical bronchiectasis and its. Chest radiography is usually the initial study performed in suspected bronchiectasis. May be. Chest Ct Bronchiectasis.
From www.ctchestreview.com
Bronchiectasis CT Chest Review Chest Ct Bronchiectasis A radiologist will associate bronchiectasis with the typical chest computed tomography (ct) scan features, consisting of an abnormally widened and thickened airway with an irregular wall, lack of tapering and/or visibility of the airway in the periphery of the lung [2]. May be normal or may show. Furthermore, we developed a set of consensus statements concerning the definitions of clinical. Chest Ct Bronchiectasis.
From www.wikidoc.org
Bronchiectasis CT wikidoc Chest Ct Bronchiectasis Chest imaging, specifically ct scanning, is required to make the diagnosis of bronchiectasis. A distinct feature of bronchiectasis is the tendency toward exacerbations. A radiologist will associate bronchiectasis with the typical chest computed tomography (ct) scan features, consisting of an abnormally widened and thickened airway with an irregular wall, lack of tapering and/or visibility of the airway in the periphery. Chest Ct Bronchiectasis.
From www.researchgate.net
Chest CT imaging showing bronchiectasis (arrow) due to aspiration and Chest Ct Bronchiectasis Chest imaging, specifically ct scanning, is required to make the diagnosis of bronchiectasis. Furthermore, we developed a set of consensus statements concerning the definitions of clinical bronchiectasis and its. A radiologist will associate bronchiectasis with the typical chest computed tomography (ct) scan features, consisting of an abnormally widened and thickened airway with an irregular wall, lack of tapering and/or visibility. Chest Ct Bronchiectasis.
From www.researchgate.net
CT chest shows left upper lobe bronchiectasis. Download Scientific Chest Ct Bronchiectasis Chest imaging, specifically ct scanning, is required to make the diagnosis of bronchiectasis. We prioritised criteria for the radiological diagnosis of bronchiectasis and suggest recommendations on the use and central reading of chest ct scans to confirm the presence of bronchiectasis for clinical trials. Furthermore, we developed a set of consensus statements concerning the definitions of clinical bronchiectasis and its.. Chest Ct Bronchiectasis.
From www.ctisus.com
Cystic Bronchiectasis on Chest Xray X Rays Case Studies CTisus CT Chest Ct Bronchiectasis A distinct feature of bronchiectasis is the tendency toward exacerbations. We prioritised criteria for the radiological diagnosis of bronchiectasis and suggest recommendations on the use and central reading of chest ct scans to confirm the presence of bronchiectasis for clinical trials. Furthermore, we developed a set of consensus statements concerning the definitions of clinical bronchiectasis and its. A radiologist will. Chest Ct Bronchiectasis.
From www.youtube.com
CT imaging and diagnosis of Bronchiectasis YouTube Chest Ct Bronchiectasis A radiologist will associate bronchiectasis with the typical chest computed tomography (ct) scan features, consisting of an abnormally widened and thickened airway with an irregular wall, lack of tapering and/or visibility of the airway in the periphery of the lung [2]. Chest imaging, specifically ct scanning, is required to make the diagnosis of bronchiectasis. Furthermore, we developed a set of. Chest Ct Bronchiectasis.
From pubs.rsna.org
Bronchiectasis Mechanisms and Imaging Clues of Associated Common and Chest Ct Bronchiectasis May be normal or may show. Chest radiography is usually the initial study performed in suspected bronchiectasis. A radiologist will associate bronchiectasis with the typical chest computed tomography (ct) scan features, consisting of an abnormally widened and thickened airway with an irregular wall, lack of tapering and/or visibility of the airway in the periphery of the lung [2]. A distinct. Chest Ct Bronchiectasis.
From www.researchgate.net
Chest Xray and CT scan showing bronchiectasis with airfluid levels Chest Ct Bronchiectasis Furthermore, we developed a set of consensus statements concerning the definitions of clinical bronchiectasis and its. Chest radiography is usually the initial study performed in suspected bronchiectasis. A radiologist will associate bronchiectasis with the typical chest computed tomography (ct) scan features, consisting of an abnormally widened and thickened airway with an irregular wall, lack of tapering and/or visibility of the. Chest Ct Bronchiectasis.
From www.researchgate.net
Highresolution CT scan showing a typical pattern of bronchiectasis Chest Ct Bronchiectasis A distinct feature of bronchiectasis is the tendency toward exacerbations. Chest imaging, specifically ct scanning, is required to make the diagnosis of bronchiectasis. Chest radiography is usually the initial study performed in suspected bronchiectasis. We prioritised criteria for the radiological diagnosis of bronchiectasis and suggest recommendations on the use and central reading of chest ct scans to confirm the presence. Chest Ct Bronchiectasis.
From www.stepwards.com
Bronchiectasis Stepwards Chest Ct Bronchiectasis We prioritised criteria for the radiological diagnosis of bronchiectasis and suggest recommendations on the use and central reading of chest ct scans to confirm the presence of bronchiectasis for clinical trials. May be normal or may show. A radiologist will associate bronchiectasis with the typical chest computed tomography (ct) scan features, consisting of an abnormally widened and thickened airway with. Chest Ct Bronchiectasis.
From www.pulmonologyadvisor.com
Bronchiectasis Chest Ct Bronchiectasis May be normal or may show. Chest radiography is usually the initial study performed in suspected bronchiectasis. We prioritised criteria for the radiological diagnosis of bronchiectasis and suggest recommendations on the use and central reading of chest ct scans to confirm the presence of bronchiectasis for clinical trials. Chest imaging, specifically ct scanning, is required to make the diagnosis of. Chest Ct Bronchiectasis.
From www.youtube.com
Chest xray Bronchiectasis on CT and Chest xray YouTube Chest Ct Bronchiectasis We prioritised criteria for the radiological diagnosis of bronchiectasis and suggest recommendations on the use and central reading of chest ct scans to confirm the presence of bronchiectasis for clinical trials. Chest imaging, specifically ct scanning, is required to make the diagnosis of bronchiectasis. A distinct feature of bronchiectasis is the tendency toward exacerbations. Furthermore, we developed a set of. Chest Ct Bronchiectasis.
From www.ctisus.com
Bronchiectasis and Mucoid Impaction with Cystic Fibrosis Chest Case Chest Ct Bronchiectasis May be normal or may show. Furthermore, we developed a set of consensus statements concerning the definitions of clinical bronchiectasis and its. Chest radiography is usually the initial study performed in suspected bronchiectasis. Chest imaging, specifically ct scanning, is required to make the diagnosis of bronchiectasis. A distinct feature of bronchiectasis is the tendency toward exacerbations. We prioritised criteria for. Chest Ct Bronchiectasis.
From www.ctchestreview.com
Bronchiectasis CT Chest Review Chest Ct Bronchiectasis A radiologist will associate bronchiectasis with the typical chest computed tomography (ct) scan features, consisting of an abnormally widened and thickened airway with an irregular wall, lack of tapering and/or visibility of the airway in the periphery of the lung [2]. A distinct feature of bronchiectasis is the tendency toward exacerbations. Chest imaging, specifically ct scanning, is required to make. Chest Ct Bronchiectasis.
From mavink.com
Bronchiectasis On Ct Scan Chest Ct Bronchiectasis A radiologist will associate bronchiectasis with the typical chest computed tomography (ct) scan features, consisting of an abnormally widened and thickened airway with an irregular wall, lack of tapering and/or visibility of the airway in the periphery of the lung [2]. May be normal or may show. Chest imaging, specifically ct scanning, is required to make the diagnosis of bronchiectasis.. Chest Ct Bronchiectasis.
From www.researchgate.net
Chest CT scan showed bronchiectasis and combined bronchopneumonia in Chest Ct Bronchiectasis May be normal or may show. Chest radiography is usually the initial study performed in suspected bronchiectasis. A distinct feature of bronchiectasis is the tendency toward exacerbations. A radiologist will associate bronchiectasis with the typical chest computed tomography (ct) scan features, consisting of an abnormally widened and thickened airway with an irregular wall, lack of tapering and/or visibility of the. Chest Ct Bronchiectasis.
From www.svuhradiology.ie
Bronchiectasis CXR and CT Radiology at St. Vincent's University Chest Ct Bronchiectasis May be normal or may show. A distinct feature of bronchiectasis is the tendency toward exacerbations. A radiologist will associate bronchiectasis with the typical chest computed tomography (ct) scan features, consisting of an abnormally widened and thickened airway with an irregular wall, lack of tapering and/or visibility of the airway in the periphery of the lung [2]. Chest radiography is. Chest Ct Bronchiectasis.
From www.researchgate.net
Chest CT scan showed significant tubular bronchiectasis in the upper Chest Ct Bronchiectasis A distinct feature of bronchiectasis is the tendency toward exacerbations. May be normal or may show. A radiologist will associate bronchiectasis with the typical chest computed tomography (ct) scan features, consisting of an abnormally widened and thickened airway with an irregular wall, lack of tapering and/or visibility of the airway in the periphery of the lung [2]. Chest imaging, specifically. Chest Ct Bronchiectasis.
From bronchiectasis.com.au
Radiology Bronchiectasis Chest Ct Bronchiectasis Chest radiography is usually the initial study performed in suspected bronchiectasis. May be normal or may show. Chest imaging, specifically ct scanning, is required to make the diagnosis of bronchiectasis. We prioritised criteria for the radiological diagnosis of bronchiectasis and suggest recommendations on the use and central reading of chest ct scans to confirm the presence of bronchiectasis for clinical. Chest Ct Bronchiectasis.
From www.researchgate.net
Chest CT in bronchiectasis patients, above the aortic arch. Download Chest Ct Bronchiectasis May be normal or may show. Furthermore, we developed a set of consensus statements concerning the definitions of clinical bronchiectasis and its. A radiologist will associate bronchiectasis with the typical chest computed tomography (ct) scan features, consisting of an abnormally widened and thickened airway with an irregular wall, lack of tapering and/or visibility of the airway in the periphery of. Chest Ct Bronchiectasis.
From www.clinicaladvisor.com
Bronchiectasis The Clinical Advisor Chest Ct Bronchiectasis Furthermore, we developed a set of consensus statements concerning the definitions of clinical bronchiectasis and its. A radiologist will associate bronchiectasis with the typical chest computed tomography (ct) scan features, consisting of an abnormally widened and thickened airway with an irregular wall, lack of tapering and/or visibility of the airway in the periphery of the lung [2]. Chest radiography is. Chest Ct Bronchiectasis.
From www.researchgate.net
Axial CT image shows extensive bilateral thickwalled bronchiectasis Chest Ct Bronchiectasis A distinct feature of bronchiectasis is the tendency toward exacerbations. A radiologist will associate bronchiectasis with the typical chest computed tomography (ct) scan features, consisting of an abnormally widened and thickened airway with an irregular wall, lack of tapering and/or visibility of the airway in the periphery of the lung [2]. May be normal or may show. Chest radiography is. Chest Ct Bronchiectasis.
From www.vrogue.co
Chest X Ray And Ct Scan Showing Bronchiectasis With A vrogue.co Chest Ct Bronchiectasis Chest imaging, specifically ct scanning, is required to make the diagnosis of bronchiectasis. Furthermore, we developed a set of consensus statements concerning the definitions of clinical bronchiectasis and its. Chest radiography is usually the initial study performed in suspected bronchiectasis. We prioritised criteria for the radiological diagnosis of bronchiectasis and suggest recommendations on the use and central reading of chest. Chest Ct Bronchiectasis.
From www.ctisus.com
Bronchiectasis with Mucus Plugging Left Lower Lung Chest Case Studies Chest Ct Bronchiectasis A distinct feature of bronchiectasis is the tendency toward exacerbations. Chest imaging, specifically ct scanning, is required to make the diagnosis of bronchiectasis. Furthermore, we developed a set of consensus statements concerning the definitions of clinical bronchiectasis and its. May be normal or may show. We prioritised criteria for the radiological diagnosis of bronchiectasis and suggest recommendations on the use. Chest Ct Bronchiectasis.
From radiopaedia.org
Image Chest Ct Bronchiectasis Chest imaging, specifically ct scanning, is required to make the diagnosis of bronchiectasis. Chest radiography is usually the initial study performed in suspected bronchiectasis. A radiologist will associate bronchiectasis with the typical chest computed tomography (ct) scan features, consisting of an abnormally widened and thickened airway with an irregular wall, lack of tapering and/or visibility of the airway in the. Chest Ct Bronchiectasis.
From www.ctisus.com
Bronchiectasis as well as Pulmonary Embolism Chest Case Studies Chest Ct Bronchiectasis Chest radiography is usually the initial study performed in suspected bronchiectasis. Chest imaging, specifically ct scanning, is required to make the diagnosis of bronchiectasis. A radiologist will associate bronchiectasis with the typical chest computed tomography (ct) scan features, consisting of an abnormally widened and thickened airway with an irregular wall, lack of tapering and/or visibility of the airway in the. Chest Ct Bronchiectasis.
From bronchiectasis.com.au
Radiology Bronchiectasis Chest Ct Bronchiectasis May be normal or may show. Chest radiography is usually the initial study performed in suspected bronchiectasis. A radiologist will associate bronchiectasis with the typical chest computed tomography (ct) scan features, consisting of an abnormally widened and thickened airway with an irregular wall, lack of tapering and/or visibility of the airway in the periphery of the lung [2]. A distinct. Chest Ct Bronchiectasis.
From www.wikidoc.org
Bronchiectasis CT wikidoc Chest Ct Bronchiectasis Chest imaging, specifically ct scanning, is required to make the diagnosis of bronchiectasis. Furthermore, we developed a set of consensus statements concerning the definitions of clinical bronchiectasis and its. Chest radiography is usually the initial study performed in suspected bronchiectasis. A radiologist will associate bronchiectasis with the typical chest computed tomography (ct) scan features, consisting of an abnormally widened and. Chest Ct Bronchiectasis.
From www.imagingpathways.health.wa.gov.au
Bronchiectasis Chest Ct Bronchiectasis A radiologist will associate bronchiectasis with the typical chest computed tomography (ct) scan features, consisting of an abnormally widened and thickened airway with an irregular wall, lack of tapering and/or visibility of the airway in the periphery of the lung [2]. Furthermore, we developed a set of consensus statements concerning the definitions of clinical bronchiectasis and its. We prioritised criteria. Chest Ct Bronchiectasis.
From www.alamy.com
Bronchiectasis, 3D CT scan Stock Photo Alamy Chest Ct Bronchiectasis A distinct feature of bronchiectasis is the tendency toward exacerbations. A radiologist will associate bronchiectasis with the typical chest computed tomography (ct) scan features, consisting of an abnormally widened and thickened airway with an irregular wall, lack of tapering and/or visibility of the airway in the periphery of the lung [2]. Furthermore, we developed a set of consensus statements concerning. Chest Ct Bronchiectasis.
From www.stepwards.com
Bronchiectasis Stepwards Chest Ct Bronchiectasis Chest imaging, specifically ct scanning, is required to make the diagnosis of bronchiectasis. Chest radiography is usually the initial study performed in suspected bronchiectasis. We prioritised criteria for the radiological diagnosis of bronchiectasis and suggest recommendations on the use and central reading of chest ct scans to confirm the presence of bronchiectasis for clinical trials. A radiologist will associate bronchiectasis. Chest Ct Bronchiectasis.