Thalamic Hemorrhage Location . Intracerebral hemorrhage (ich), a subtype of stroke, is a devastating condition whereby a hematoma is formed within the brain parenchyma with or without blood extension into. Hemorrhagic stroke is due to bleeding into the brain by the rupture of a blood vessel. A thalamic stroke can be either ischemic or hemorrhagic. Hemorrhagic stroke may be further subdivided into intracerebral hemorrhage (ich). Thalamic hemorrhage can have a highly varied clinical presentation depending on the exact location of the hemorrhage. A thalamic stroke is the result of a disruption in blood flow to the thalamic region of the brain. Hemorrhagic strokes, on the other hand, are due to a rupture or leakage of a blood vessel into your brain. Thalamic strokes cause specific symptoms, such as difficulty moving the arms and. Located right next to the brain stem,.
from openi.nlm.nih.gov
Hemorrhagic strokes, on the other hand, are due to a rupture or leakage of a blood vessel into your brain. Intracerebral hemorrhage (ich), a subtype of stroke, is a devastating condition whereby a hematoma is formed within the brain parenchyma with or without blood extension into. Thalamic strokes cause specific symptoms, such as difficulty moving the arms and. Thalamic hemorrhage can have a highly varied clinical presentation depending on the exact location of the hemorrhage. Hemorrhagic stroke may be further subdivided into intracerebral hemorrhage (ich). A thalamic stroke is the result of a disruption in blood flow to the thalamic region of the brain. A thalamic stroke can be either ischemic or hemorrhagic. Located right next to the brain stem,. Hemorrhagic stroke is due to bleeding into the brain by the rupture of a blood vessel.
Plain axial CT scan, showed left thalamic hemorrhage wi Openi
Thalamic Hemorrhage Location Thalamic strokes cause specific symptoms, such as difficulty moving the arms and. Hemorrhagic stroke may be further subdivided into intracerebral hemorrhage (ich). A thalamic stroke can be either ischemic or hemorrhagic. Hemorrhagic strokes, on the other hand, are due to a rupture or leakage of a blood vessel into your brain. Thalamic strokes cause specific symptoms, such as difficulty moving the arms and. Hemorrhagic stroke is due to bleeding into the brain by the rupture of a blood vessel. Located right next to the brain stem,. A thalamic stroke is the result of a disruption in blood flow to the thalamic region of the brain. Thalamic hemorrhage can have a highly varied clinical presentation depending on the exact location of the hemorrhage. Intracerebral hemorrhage (ich), a subtype of stroke, is a devastating condition whereby a hematoma is formed within the brain parenchyma with or without blood extension into.
From www.researchgate.net
The Vascular Centrencephalon. Pathophysiology of lacunar infarction and Thalamic Hemorrhage Location Thalamic hemorrhage can have a highly varied clinical presentation depending on the exact location of the hemorrhage. Hemorrhagic stroke is due to bleeding into the brain by the rupture of a blood vessel. Located right next to the brain stem,. A thalamic stroke can be either ischemic or hemorrhagic. Hemorrhagic strokes, on the other hand, are due to a rupture. Thalamic Hemorrhage Location.
From my.clevelandclinic.org
Thalamus What It Is, Function & Disorders Thalamic Hemorrhage Location Hemorrhagic stroke is due to bleeding into the brain by the rupture of a blood vessel. Located right next to the brain stem,. A thalamic stroke can be either ischemic or hemorrhagic. Intracerebral hemorrhage (ich), a subtype of stroke, is a devastating condition whereby a hematoma is formed within the brain parenchyma with or without blood extension into. Thalamic hemorrhage. Thalamic Hemorrhage Location.
From www.aiophotoz.com
Hemorragias Intracraneales Medical Anatomy Radiology Student Radiology Thalamic Hemorrhage Location Located right next to the brain stem,. Hemorrhagic strokes, on the other hand, are due to a rupture or leakage of a blood vessel into your brain. A thalamic stroke can be either ischemic or hemorrhagic. Intracerebral hemorrhage (ich), a subtype of stroke, is a devastating condition whereby a hematoma is formed within the brain parenchyma with or without blood. Thalamic Hemorrhage Location.
From www.researchgate.net
(a and b) Computed tomography revealing thalamic hemorrhage. (c Thalamic Hemorrhage Location Hemorrhagic stroke is due to bleeding into the brain by the rupture of a blood vessel. Intracerebral hemorrhage (ich), a subtype of stroke, is a devastating condition whereby a hematoma is formed within the brain parenchyma with or without blood extension into. A thalamic stroke is the result of a disruption in blood flow to the thalamic region of the. Thalamic Hemorrhage Location.
From neuroangio.org
Angiography — Thalamic Hemorrhage Spot Sign Thalamic Hemorrhage Location Hemorrhagic stroke is due to bleeding into the brain by the rupture of a blood vessel. Located right next to the brain stem,. Hemorrhagic strokes, on the other hand, are due to a rupture or leakage of a blood vessel into your brain. A thalamic stroke is the result of a disruption in blood flow to the thalamic region of. Thalamic Hemorrhage Location.
From my.clevelandclinic.org
Brain Bleed (Intracranial Hemorrhage) Causes & Symptoms Thalamic Hemorrhage Location Hemorrhagic stroke may be further subdivided into intracerebral hemorrhage (ich). Thalamic hemorrhage can have a highly varied clinical presentation depending on the exact location of the hemorrhage. Hemorrhagic strokes, on the other hand, are due to a rupture or leakage of a blood vessel into your brain. A thalamic stroke can be either ischemic or hemorrhagic. A thalamic stroke is. Thalamic Hemorrhage Location.
From www.researchgate.net
Thalamic hemorrhage with the posterior limb of internal capsule Thalamic Hemorrhage Location Hemorrhagic strokes, on the other hand, are due to a rupture or leakage of a blood vessel into your brain. A thalamic stroke can be either ischemic or hemorrhagic. A thalamic stroke is the result of a disruption in blood flow to the thalamic region of the brain. Hemorrhagic stroke is due to bleeding into the brain by the rupture. Thalamic Hemorrhage Location.
From www.researchgate.net
Basal ganglia ICH lesions were subdivided according to the anatomic Thalamic Hemorrhage Location Located right next to the brain stem,. Hemorrhagic stroke is due to bleeding into the brain by the rupture of a blood vessel. A thalamic stroke is the result of a disruption in blood flow to the thalamic region of the brain. Hemorrhagic strokes, on the other hand, are due to a rupture or leakage of a blood vessel into. Thalamic Hemorrhage Location.
From www.researchgate.net
Spatial distribution of cerebral microbleeds by location of hemorrhagic Thalamic Hemorrhage Location Hemorrhagic strokes, on the other hand, are due to a rupture or leakage of a blood vessel into your brain. A thalamic stroke can be either ischemic or hemorrhagic. Thalamic strokes cause specific symptoms, such as difficulty moving the arms and. Thalamic hemorrhage can have a highly varied clinical presentation depending on the exact location of the hemorrhage. Hemorrhagic stroke. Thalamic Hemorrhage Location.
From svn.bmj.com
Current management of spontaneous intracerebral haemorrhage Stroke Thalamic Hemorrhage Location Hemorrhagic stroke may be further subdivided into intracerebral hemorrhage (ich). Hemorrhagic stroke is due to bleeding into the brain by the rupture of a blood vessel. Hemorrhagic strokes, on the other hand, are due to a rupture or leakage of a blood vessel into your brain. Intracerebral hemorrhage (ich), a subtype of stroke, is a devastating condition whereby a hematoma. Thalamic Hemorrhage Location.
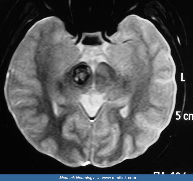
From www.medlink.com
Thalamic hemorrhage MedLink Neurology Thalamic Hemorrhage Location Thalamic hemorrhage can have a highly varied clinical presentation depending on the exact location of the hemorrhage. Intracerebral hemorrhage (ich), a subtype of stroke, is a devastating condition whereby a hematoma is formed within the brain parenchyma with or without blood extension into. Hemorrhagic stroke may be further subdivided into intracerebral hemorrhage (ich). Hemorrhagic strokes, on the other hand, are. Thalamic Hemorrhage Location.
From www.medlink.com
Thalamic hemorrhage MedLink Neurology Thalamic Hemorrhage Location A thalamic stroke is the result of a disruption in blood flow to the thalamic region of the brain. Thalamic hemorrhage can have a highly varied clinical presentation depending on the exact location of the hemorrhage. Hemorrhagic stroke is due to bleeding into the brain by the rupture of a blood vessel. Hemorrhagic strokes, on the other hand, are due. Thalamic Hemorrhage Location.
From jcp.bmj.com
Bilateral thalamic haemorrhage and intracranial injuries related to Thalamic Hemorrhage Location Hemorrhagic stroke is due to bleeding into the brain by the rupture of a blood vessel. Thalamic hemorrhage can have a highly varied clinical presentation depending on the exact location of the hemorrhage. Hemorrhagic stroke may be further subdivided into intracerebral hemorrhage (ich). A thalamic stroke can be either ischemic or hemorrhagic. Located right next to the brain stem,. Thalamic. Thalamic Hemorrhage Location.
From radiopaedia.org
Thalamic hemorrhage Image Thalamic Hemorrhage Location Intracerebral hemorrhage (ich), a subtype of stroke, is a devastating condition whereby a hematoma is formed within the brain parenchyma with or without blood extension into. A thalamic stroke can be either ischemic or hemorrhagic. Hemorrhagic strokes, on the other hand, are due to a rupture or leakage of a blood vessel into your brain. Located right next to the. Thalamic Hemorrhage Location.
From www.researchgate.net
Computed tomography showing left thalamus hemorrhage (coronal view Thalamic Hemorrhage Location Hemorrhagic stroke is due to bleeding into the brain by the rupture of a blood vessel. Intracerebral hemorrhage (ich), a subtype of stroke, is a devastating condition whereby a hematoma is formed within the brain parenchyma with or without blood extension into. Hemorrhagic strokes, on the other hand, are due to a rupture or leakage of a blood vessel into. Thalamic Hemorrhage Location.
From www.researchgate.net
Enlargement of a left thalamic hemorrhage. (Left) 90 minutes from Thalamic Hemorrhage Location Hemorrhagic strokes, on the other hand, are due to a rupture or leakage of a blood vessel into your brain. Intracerebral hemorrhage (ich), a subtype of stroke, is a devastating condition whereby a hematoma is formed within the brain parenchyma with or without blood extension into. Located right next to the brain stem,. Hemorrhagic stroke is due to bleeding into. Thalamic Hemorrhage Location.
From www.pinterest.com
Medical ultrasound, Hemorrhage, Neurology Thalamic Hemorrhage Location A thalamic stroke can be either ischemic or hemorrhagic. Hemorrhagic stroke may be further subdivided into intracerebral hemorrhage (ich). Hemorrhagic strokes, on the other hand, are due to a rupture or leakage of a blood vessel into your brain. Thalamic strokes cause specific symptoms, such as difficulty moving the arms and. Thalamic hemorrhage can have a highly varied clinical presentation. Thalamic Hemorrhage Location.
From study.com
Thalamus Definition, Functions & Location Video & Lesson Transcript Thalamic Hemorrhage Location Hemorrhagic stroke may be further subdivided into intracerebral hemorrhage (ich). Located right next to the brain stem,. Intracerebral hemorrhage (ich), a subtype of stroke, is a devastating condition whereby a hematoma is formed within the brain parenchyma with or without blood extension into. Thalamic hemorrhage can have a highly varied clinical presentation depending on the exact location of the hemorrhage.. Thalamic Hemorrhage Location.
From www.ahajournals.org
Thalamic Hemorrhage Stroke Thalamic Hemorrhage Location Hemorrhagic stroke may be further subdivided into intracerebral hemorrhage (ich). Thalamic strokes cause specific symptoms, such as difficulty moving the arms and. A thalamic stroke is the result of a disruption in blood flow to the thalamic region of the brain. Hemorrhagic strokes, on the other hand, are due to a rupture or leakage of a blood vessel into your. Thalamic Hemorrhage Location.
From www.researchgate.net
CT image of thalamic hemorrhage. Download Scientific Diagram Thalamic Hemorrhage Location Thalamic hemorrhage can have a highly varied clinical presentation depending on the exact location of the hemorrhage. Located right next to the brain stem,. Hemorrhagic stroke may be further subdivided into intracerebral hemorrhage (ich). A thalamic stroke is the result of a disruption in blood flow to the thalamic region of the brain. A thalamic stroke can be either ischemic. Thalamic Hemorrhage Location.
From nursekey.com
Intracerebral Hemorrhagic Stroke Nurse Key Thalamic Hemorrhage Location A thalamic stroke is the result of a disruption in blood flow to the thalamic region of the brain. Hemorrhagic stroke may be further subdivided into intracerebral hemorrhage (ich). Intracerebral hemorrhage (ich), a subtype of stroke, is a devastating condition whereby a hematoma is formed within the brain parenchyma with or without blood extension into. Thalamic strokes cause specific symptoms,. Thalamic Hemorrhage Location.
From www.animalia-life.club
Parts Of The Brain Thalamus Thalamic Hemorrhage Location Thalamic hemorrhage can have a highly varied clinical presentation depending on the exact location of the hemorrhage. Intracerebral hemorrhage (ich), a subtype of stroke, is a devastating condition whereby a hematoma is formed within the brain parenchyma with or without blood extension into. Hemorrhagic strokes, on the other hand, are due to a rupture or leakage of a blood vessel. Thalamic Hemorrhage Location.
From www.researchgate.net
CT scan showing hemorrhage in the left thalamus secondary to Thalamic Hemorrhage Location Hemorrhagic stroke may be further subdivided into intracerebral hemorrhage (ich). A thalamic stroke can be either ischemic or hemorrhagic. Hemorrhagic strokes, on the other hand, are due to a rupture or leakage of a blood vessel into your brain. Located right next to the brain stem,. Thalamic strokes cause specific symptoms, such as difficulty moving the arms and. Thalamic hemorrhage. Thalamic Hemorrhage Location.
From www.researchgate.net
CT image of thalamic hemorrhage. Download Scientific Diagram Thalamic Hemorrhage Location Intracerebral hemorrhage (ich), a subtype of stroke, is a devastating condition whereby a hematoma is formed within the brain parenchyma with or without blood extension into. Thalamic hemorrhage can have a highly varied clinical presentation depending on the exact location of the hemorrhage. Hemorrhagic stroke is due to bleeding into the brain by the rupture of a blood vessel. Hemorrhagic. Thalamic Hemorrhage Location.
From www.researchgate.net
ac US imaging at admission thalamic hemorrhage extending to the Thalamic Hemorrhage Location Hemorrhagic strokes, on the other hand, are due to a rupture or leakage of a blood vessel into your brain. A thalamic stroke can be either ischemic or hemorrhagic. Thalamic hemorrhage can have a highly varied clinical presentation depending on the exact location of the hemorrhage. A thalamic stroke is the result of a disruption in blood flow to the. Thalamic Hemorrhage Location.
From openi.nlm.nih.gov
Plain axial CT scan, showed left thalamic hemorrhage wi Openi Thalamic Hemorrhage Location Thalamic hemorrhage can have a highly varied clinical presentation depending on the exact location of the hemorrhage. Hemorrhagic stroke may be further subdivided into intracerebral hemorrhage (ich). Thalamic strokes cause specific symptoms, such as difficulty moving the arms and. Hemorrhagic stroke is due to bleeding into the brain by the rupture of a blood vessel. Intracerebral hemorrhage (ich), a subtype. Thalamic Hemorrhage Location.
From www.semanticscholar.org
thalamic hemorrhage Semantic Scholar Thalamic Hemorrhage Location Located right next to the brain stem,. Hemorrhagic stroke is due to bleeding into the brain by the rupture of a blood vessel. Hemorrhagic stroke may be further subdivided into intracerebral hemorrhage (ich). A thalamic stroke can be either ischemic or hemorrhagic. Hemorrhagic strokes, on the other hand, are due to a rupture or leakage of a blood vessel into. Thalamic Hemorrhage Location.
From www.alamy.com
CT brain show left thalamic hemorrhage (Hemorrhagic stroke Stock Thalamic Hemorrhage Location Hemorrhagic stroke may be further subdivided into intracerebral hemorrhage (ich). Located right next to the brain stem,. Intracerebral hemorrhage (ich), a subtype of stroke, is a devastating condition whereby a hematoma is formed within the brain parenchyma with or without blood extension into. A thalamic stroke is the result of a disruption in blood flow to the thalamic region of. Thalamic Hemorrhage Location.
From www.researchgate.net
The CT scan of thalamic hemorrhage before and after THD. (A Thalamic Hemorrhage Location Hemorrhagic stroke is due to bleeding into the brain by the rupture of a blood vessel. Hemorrhagic strokes, on the other hand, are due to a rupture or leakage of a blood vessel into your brain. A thalamic stroke is the result of a disruption in blood flow to the thalamic region of the brain. Thalamic hemorrhage can have a. Thalamic Hemorrhage Location.
From radiologyassistant.nl
The Radiology Assistant Nontraumatic Intracranial Hemorrhage Thalamic Hemorrhage Location Located right next to the brain stem,. Intracerebral hemorrhage (ich), a subtype of stroke, is a devastating condition whereby a hematoma is formed within the brain parenchyma with or without blood extension into. Hemorrhagic stroke is due to bleeding into the brain by the rupture of a blood vessel. Thalamic hemorrhage can have a highly varied clinical presentation depending on. Thalamic Hemorrhage Location.
From moosmosis.org
Epidural Hematoma vs Subdural Hematoma vs Subarachnoid Hemorrhage Thalamic Hemorrhage Location Hemorrhagic strokes, on the other hand, are due to a rupture or leakage of a blood vessel into your brain. Located right next to the brain stem,. Intracerebral hemorrhage (ich), a subtype of stroke, is a devastating condition whereby a hematoma is formed within the brain parenchyma with or without blood extension into. A thalamic stroke is the result of. Thalamic Hemorrhage Location.
From pt.slideshare.net
Thalamus and its connection Thalamic Hemorrhage Location Intracerebral hemorrhage (ich), a subtype of stroke, is a devastating condition whereby a hematoma is formed within the brain parenchyma with or without blood extension into. Hemorrhagic strokes, on the other hand, are due to a rupture or leakage of a blood vessel into your brain. Located right next to the brain stem,. Hemorrhagic stroke may be further subdivided into. Thalamic Hemorrhage Location.
From www.researchgate.net
(a and b) Thalamic vascular territories and their arterial supply (1 Thalamic Hemorrhage Location Hemorrhagic stroke may be further subdivided into intracerebral hemorrhage (ich). A thalamic stroke is the result of a disruption in blood flow to the thalamic region of the brain. Located right next to the brain stem,. Thalamic hemorrhage can have a highly varied clinical presentation depending on the exact location of the hemorrhage. Thalamic strokes cause specific symptoms, such as. Thalamic Hemorrhage Location.
From surgicalneurologyint.com
Surgical Neurology International Thalamic Hemorrhage Location Hemorrhagic strokes, on the other hand, are due to a rupture or leakage of a blood vessel into your brain. Thalamic hemorrhage can have a highly varied clinical presentation depending on the exact location of the hemorrhage. Hemorrhagic stroke is due to bleeding into the brain by the rupture of a blood vessel. Located right next to the brain stem,.. Thalamic Hemorrhage Location.
From www.researchgate.net
Examples of primary intraparenchymal hemorrhage (arrows). (a) Left Thalamic Hemorrhage Location Hemorrhagic stroke is due to bleeding into the brain by the rupture of a blood vessel. A thalamic stroke can be either ischemic or hemorrhagic. Intracerebral hemorrhage (ich), a subtype of stroke, is a devastating condition whereby a hematoma is formed within the brain parenchyma with or without blood extension into. A thalamic stroke is the result of a disruption. Thalamic Hemorrhage Location.