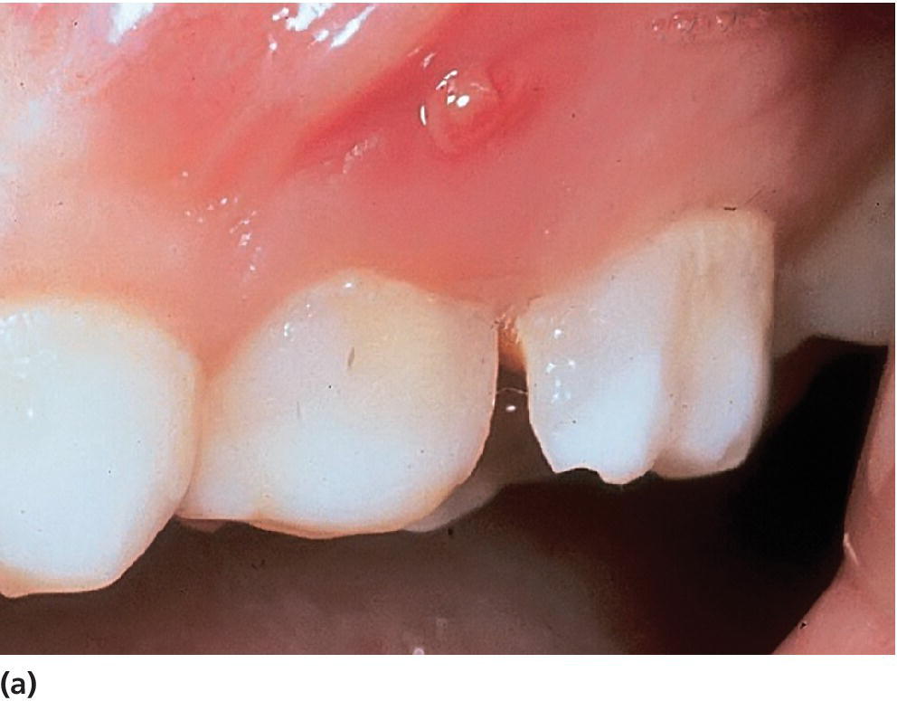
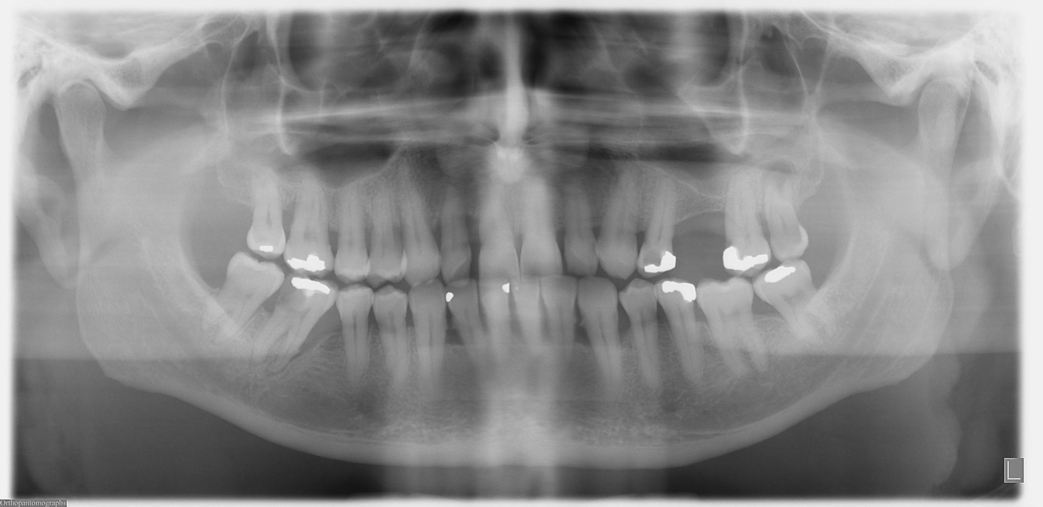
Abscess Tooth Or Sinus Infection . Without proper treatment, tooth infections can spread to other areas of. A tooth infection or “tooth abscess” is a collection of pus and bacteria that forms inside the tooth or gum. Otolaryngologist raj sindwani, md, tells us what we need to know about sinus infections, including how long they. Yes, a sinus infection (sinusitis) can cause a toothache. In fact, pain in the upper back teeth is a fairly common symptom with sinus. In addition to examining your tooth and the area around it, your dentist may: If the abscessed tooth is near your sinus, it can create a hole between your tooth and your sinus. In cases where a dental abscess forms in the upper teeth, the infection can extend into the surrounding bone and tissues, reaching. A tooth that has an. A tooth abscess is a localized infection caused by bacteria within a tooth or gum, while a sinus infection occurs when the sinus cavities become inflamed and infected due to. If that happens, the infection might spread to your sinuses, open spaces in your.
from www.ilajak.com
If the abscessed tooth is near your sinus, it can create a hole between your tooth and your sinus. A tooth infection or “tooth abscess” is a collection of pus and bacteria that forms inside the tooth or gum. A tooth that has an. Yes, a sinus infection (sinusitis) can cause a toothache. A tooth abscess is a localized infection caused by bacteria within a tooth or gum, while a sinus infection occurs when the sinus cavities become inflamed and infected due to. In addition to examining your tooth and the area around it, your dentist may: In fact, pain in the upper back teeth is a fairly common symptom with sinus. Otolaryngologist raj sindwani, md, tells us what we need to know about sinus infections, including how long they. Without proper treatment, tooth infections can spread to other areas of. In cases where a dental abscess forms in the upper teeth, the infection can extend into the surrounding bone and tissues, reaching.
Tooth Abscess Symptoms, Causes, and Treatment ILAJAK Medical
Abscess Tooth Or Sinus Infection If that happens, the infection might spread to your sinuses, open spaces in your. Without proper treatment, tooth infections can spread to other areas of. A tooth infection or “tooth abscess” is a collection of pus and bacteria that forms inside the tooth or gum. In fact, pain in the upper back teeth is a fairly common symptom with sinus. If the abscessed tooth is near your sinus, it can create a hole between your tooth and your sinus. A tooth that has an. In cases where a dental abscess forms in the upper teeth, the infection can extend into the surrounding bone and tissues, reaching. A tooth abscess is a localized infection caused by bacteria within a tooth or gum, while a sinus infection occurs when the sinus cavities become inflamed and infected due to. Otolaryngologist raj sindwani, md, tells us what we need to know about sinus infections, including how long they. If that happens, the infection might spread to your sinuses, open spaces in your. Yes, a sinus infection (sinusitis) can cause a toothache. In addition to examining your tooth and the area around it, your dentist may:
From www.bashdental.com
Doylestown Dental Abscess & Infection 24/7 Emergency Care Abscess Tooth Or Sinus Infection In cases where a dental abscess forms in the upper teeth, the infection can extend into the surrounding bone and tissues, reaching. A tooth abscess is a localized infection caused by bacteria within a tooth or gum, while a sinus infection occurs when the sinus cavities become inflamed and infected due to. If the abscessed tooth is near your sinus,. Abscess Tooth Or Sinus Infection.
From www.sciencephoto.com
Dental sinus Stock Image C026/9215 Science Photo Library Abscess Tooth Or Sinus Infection Without proper treatment, tooth infections can spread to other areas of. A tooth abscess is a localized infection caused by bacteria within a tooth or gum, while a sinus infection occurs when the sinus cavities become inflamed and infected due to. If that happens, the infection might spread to your sinuses, open spaces in your. In fact, pain in the. Abscess Tooth Or Sinus Infection.
From www.ekdantamclinic.com
Tooth Abscess Stages, Complications, Symptoms and Causes Ekdantam Clinic Abscess Tooth Or Sinus Infection In fact, pain in the upper back teeth is a fairly common symptom with sinus. If the abscessed tooth is near your sinus, it can create a hole between your tooth and your sinus. Without proper treatment, tooth infections can spread to other areas of. In cases where a dental abscess forms in the upper teeth, the infection can extend. Abscess Tooth Or Sinus Infection.
From www.ilajak.com
Tooth Abscess Symptoms, Causes, and Treatment ILAJAK Medical Abscess Tooth Or Sinus Infection In addition to examining your tooth and the area around it, your dentist may: In cases where a dental abscess forms in the upper teeth, the infection can extend into the surrounding bone and tissues, reaching. Without proper treatment, tooth infections can spread to other areas of. If the abscessed tooth is near your sinus, it can create a hole. Abscess Tooth Or Sinus Infection.
From www.infodentis.com
The 5 Abscess Tooth Stages and the Actions You Should Take Abscess Tooth Or Sinus Infection A tooth infection or “tooth abscess” is a collection of pus and bacteria that forms inside the tooth or gum. Otolaryngologist raj sindwani, md, tells us what we need to know about sinus infections, including how long they. A tooth abscess is a localized infection caused by bacteria within a tooth or gum, while a sinus infection occurs when the. Abscess Tooth Or Sinus Infection.
From www.orasurgery.com
Dangers of a tooth abscess Part 4 Cavernous Sinus Thrombosis Abscess Tooth Or Sinus Infection Without proper treatment, tooth infections can spread to other areas of. If that happens, the infection might spread to your sinuses, open spaces in your. A tooth that has an. In addition to examining your tooth and the area around it, your dentist may: In fact, pain in the upper back teeth is a fairly common symptom with sinus. In. Abscess Tooth Or Sinus Infection.
From www.tooth-life.com
The stages of a gum abscess and its healing process Abscess Tooth Or Sinus Infection Yes, a sinus infection (sinusitis) can cause a toothache. A tooth abscess is a localized infection caused by bacteria within a tooth or gum, while a sinus infection occurs when the sinus cavities become inflamed and infected due to. In addition to examining your tooth and the area around it, your dentist may: If the abscessed tooth is near your. Abscess Tooth Or Sinus Infection.
From healthjade.net
Abscess tooth, dental abscess causes, signs, symptoms, diagnosis & treatment Abscess Tooth Or Sinus Infection A tooth abscess is a localized infection caused by bacteria within a tooth or gum, while a sinus infection occurs when the sinus cavities become inflamed and infected due to. A tooth that has an. Without proper treatment, tooth infections can spread to other areas of. Otolaryngologist raj sindwani, md, tells us what we need to know about sinus infections,. Abscess Tooth Or Sinus Infection.
From www.brisbanecitydentist.com.au
Dental Abscess Brisbane City Dentist Abscess Tooth Or Sinus Infection Yes, a sinus infection (sinusitis) can cause a toothache. A tooth that has an. A tooth abscess is a localized infection caused by bacteria within a tooth or gum, while a sinus infection occurs when the sinus cavities become inflamed and infected due to. Without proper treatment, tooth infections can spread to other areas of. In fact, pain in the. Abscess Tooth Or Sinus Infection.
From www.teethtalkgirl.com
5 Stages Of An Abscessed Tooth & What To Do Abscess Tooth Or Sinus Infection If the abscessed tooth is near your sinus, it can create a hole between your tooth and your sinus. If that happens, the infection might spread to your sinuses, open spaces in your. Otolaryngologist raj sindwani, md, tells us what we need to know about sinus infections, including how long they. Yes, a sinus infection (sinusitis) can cause a toothache.. Abscess Tooth Or Sinus Infection.
From draristide.ro
Abcesul Dentar dr. aristide dentist bun in Bucuresti Abscess Tooth Or Sinus Infection If that happens, the infection might spread to your sinuses, open spaces in your. A tooth abscess is a localized infection caused by bacteria within a tooth or gum, while a sinus infection occurs when the sinus cavities become inflamed and infected due to. If the abscessed tooth is near your sinus, it can create a hole between your tooth. Abscess Tooth Or Sinus Infection.
From www.youtube.com
Gum Abscess! All About Dental Abscesses, Tooth Abscesses and Drainage YouTube Abscess Tooth Or Sinus Infection Yes, a sinus infection (sinusitis) can cause a toothache. In addition to examining your tooth and the area around it, your dentist may: A tooth abscess is a localized infection caused by bacteria within a tooth or gum, while a sinus infection occurs when the sinus cavities become inflamed and infected due to. If the abscessed tooth is near your. Abscess Tooth Or Sinus Infection.
From erbsvilledental.ca
Abscessed Tooth or Sinus Infection? Can Be Difficult to Diagnose Abscess Tooth Or Sinus Infection In addition to examining your tooth and the area around it, your dentist may: A tooth abscess is a localized infection caused by bacteria within a tooth or gum, while a sinus infection occurs when the sinus cavities become inflamed and infected due to. A tooth that has an. If the abscessed tooth is near your sinus, it can create. Abscess Tooth Or Sinus Infection.
From implantandcosmeticdentistry.com
Dental Abscess Stages, Causes, Symptoms & Treatments Blog Abscess Tooth Or Sinus Infection Without proper treatment, tooth infections can spread to other areas of. In fact, pain in the upper back teeth is a fairly common symptom with sinus. In cases where a dental abscess forms in the upper teeth, the infection can extend into the surrounding bone and tissues, reaching. If that happens, the infection might spread to your sinuses, open spaces. Abscess Tooth Or Sinus Infection.
From lincolnfamilydentistry.com
sinusinfectionantoothaches Lincoln Dentist Abscess Tooth Or Sinus Infection A tooth that has an. If the abscessed tooth is near your sinus, it can create a hole between your tooth and your sinus. A tooth abscess is a localized infection caused by bacteria within a tooth or gum, while a sinus infection occurs when the sinus cavities become inflamed and infected due to. Yes, a sinus infection (sinusitis) can. Abscess Tooth Or Sinus Infection.
From webdmd.org
Tooth Abscess Stages Pictures and Treatment Options DMD Abscess Tooth Or Sinus Infection A tooth that has an. If the abscessed tooth is near your sinus, it can create a hole between your tooth and your sinus. A tooth abscess is a localized infection caused by bacteria within a tooth or gum, while a sinus infection occurs when the sinus cavities become inflamed and infected due to. A tooth infection or “tooth abscess”. Abscess Tooth Or Sinus Infection.
From givingtuesdaykz.com
Tooth Abscess 5 Stages, Symptoms, Pictures & Treatment (2022) Abscess Tooth Or Sinus Infection Otolaryngologist raj sindwani, md, tells us what we need to know about sinus infections, including how long they. A tooth that has an. Yes, a sinus infection (sinusitis) can cause a toothache. A tooth infection or “tooth abscess” is a collection of pus and bacteria that forms inside the tooth or gum. In addition to examining your tooth and the. Abscess Tooth Or Sinus Infection.
From drganent.com
Sinusitis from a tooth infection (WARNING GRAPHIC MEDICAL IMAGES) Dr Gan Eng Cern Abscess Tooth Or Sinus Infection A tooth that has an. Yes, a sinus infection (sinusitis) can cause a toothache. A tooth infection or “tooth abscess” is a collection of pus and bacteria that forms inside the tooth or gum. In cases where a dental abscess forms in the upper teeth, the infection can extend into the surrounding bone and tissues, reaching. In addition to examining. Abscess Tooth Or Sinus Infection.
From pocketdentistry.com
7 Case History and Clinical Examination Pocket Dentistry Abscess Tooth Or Sinus Infection In cases where a dental abscess forms in the upper teeth, the infection can extend into the surrounding bone and tissues, reaching. A tooth abscess is a localized infection caused by bacteria within a tooth or gum, while a sinus infection occurs when the sinus cavities become inflamed and infected due to. Without proper treatment, tooth infections can spread to. Abscess Tooth Or Sinus Infection.
From www.emed.theclinics.com
Sinusitis Update Emergency Medicine Clinics Abscess Tooth Or Sinus Infection A tooth infection or “tooth abscess” is a collection of pus and bacteria that forms inside the tooth or gum. In cases where a dental abscess forms in the upper teeth, the infection can extend into the surrounding bone and tissues, reaching. Without proper treatment, tooth infections can spread to other areas of. In fact, pain in the upper back. Abscess Tooth Or Sinus Infection.
From mungfali.com
Tooth Abscess Swollen Face Abscess Tooth Or Sinus Infection If that happens, the infection might spread to your sinuses, open spaces in your. In cases where a dental abscess forms in the upper teeth, the infection can extend into the surrounding bone and tissues, reaching. In addition to examining your tooth and the area around it, your dentist may: Otolaryngologist raj sindwani, md, tells us what we need to. Abscess Tooth Or Sinus Infection.
From www.practo.com
Abscessed Tooth or Sinus Pain? Abscess Tooth Or Sinus Infection Yes, a sinus infection (sinusitis) can cause a toothache. Without proper treatment, tooth infections can spread to other areas of. In addition to examining your tooth and the area around it, your dentist may: A tooth infection or “tooth abscess” is a collection of pus and bacteria that forms inside the tooth or gum. If that happens, the infection might. Abscess Tooth Or Sinus Infection.
From www.dentalclinic-knet.com
What is a dental abscess 😱 Dental Clinic Abscess Tooth Or Sinus Infection In fact, pain in the upper back teeth is a fairly common symptom with sinus. If the abscessed tooth is near your sinus, it can create a hole between your tooth and your sinus. In cases where a dental abscess forms in the upper teeth, the infection can extend into the surrounding bone and tissues, reaching. A tooth infection or. Abscess Tooth Or Sinus Infection.
From emeralddental.in
TYPES OF DENTAL ABSCESS EMERALD DENTAL Abscess Tooth Or Sinus Infection In cases where a dental abscess forms in the upper teeth, the infection can extend into the surrounding bone and tissues, reaching. A tooth that has an. If the abscessed tooth is near your sinus, it can create a hole between your tooth and your sinus. In addition to examining your tooth and the area around it, your dentist may:. Abscess Tooth Or Sinus Infection.
From toothshow.com
Tooth Abscess Vs Sinus Infection Causes, And Treatment Abscess Tooth Or Sinus Infection Yes, a sinus infection (sinusitis) can cause a toothache. In cases where a dental abscess forms in the upper teeth, the infection can extend into the surrounding bone and tissues, reaching. A tooth abscess is a localized infection caused by bacteria within a tooth or gum, while a sinus infection occurs when the sinus cavities become inflamed and infected due. Abscess Tooth Or Sinus Infection.
From radiopaedia.org
Dental abscess and maxillary sinusitis Image Abscess Tooth Or Sinus Infection Yes, a sinus infection (sinusitis) can cause a toothache. If that happens, the infection might spread to your sinuses, open spaces in your. If the abscessed tooth is near your sinus, it can create a hole between your tooth and your sinus. In fact, pain in the upper back teeth is a fairly common symptom with sinus. A tooth that. Abscess Tooth Or Sinus Infection.
From dentaldisaster.com
periodontal abscess Abscess Tooth Or Sinus Infection In addition to examining your tooth and the area around it, your dentist may: If that happens, the infection might spread to your sinuses, open spaces in your. In fact, pain in the upper back teeth is a fairly common symptom with sinus. Without proper treatment, tooth infections can spread to other areas of. A tooth infection or “tooth abscess”. Abscess Tooth Or Sinus Infection.
From www.ilajak.com
Tooth Abscess Symptoms, Causes, and Treatment ILAJAK Medical Abscess Tooth Or Sinus Infection If that happens, the infection might spread to your sinuses, open spaces in your. If the abscessed tooth is near your sinus, it can create a hole between your tooth and your sinus. In fact, pain in the upper back teeth is a fairly common symptom with sinus. In addition to examining your tooth and the area around it, your. Abscess Tooth Or Sinus Infection.
From periobasics.com
Periodontal abscess and its treatment Abscess Tooth Or Sinus Infection If the abscessed tooth is near your sinus, it can create a hole between your tooth and your sinus. A tooth infection or “tooth abscess” is a collection of pus and bacteria that forms inside the tooth or gum. Without proper treatment, tooth infections can spread to other areas of. In fact, pain in the upper back teeth is a. Abscess Tooth Or Sinus Infection.
From www.teethtalkgirl.com
5 Stages Of An Abscessed Tooth & What To Do Abscess Tooth Or Sinus Infection If that happens, the infection might spread to your sinuses, open spaces in your. A tooth abscess is a localized infection caused by bacteria within a tooth or gum, while a sinus infection occurs when the sinus cavities become inflamed and infected due to. In fact, pain in the upper back teeth is a fairly common symptom with sinus. Without. Abscess Tooth Or Sinus Infection.
From www.facialart.com
sinus perforation from tooth abscess infection.001 sinus perforation from tooth abscess Abscess Tooth Or Sinus Infection Otolaryngologist raj sindwani, md, tells us what we need to know about sinus infections, including how long they. A tooth that has an. In fact, pain in the upper back teeth is a fairly common symptom with sinus. A tooth infection or “tooth abscess” is a collection of pus and bacteria that forms inside the tooth or gum. In addition. Abscess Tooth Or Sinus Infection.
From www.fisherpointedental.com
Can a Tooth Abscess Cause a Sinus Infection or Heart Disease? Abscess Tooth Or Sinus Infection A tooth abscess is a localized infection caused by bacteria within a tooth or gum, while a sinus infection occurs when the sinus cavities become inflamed and infected due to. In cases where a dental abscess forms in the upper teeth, the infection can extend into the surrounding bone and tissues, reaching. A tooth infection or “tooth abscess” is a. Abscess Tooth Or Sinus Infection.
From www.mayoclinic.org
Sinusitis and tooth pain Mayo Clinic Abscess Tooth Or Sinus Infection If that happens, the infection might spread to your sinuses, open spaces in your. In addition to examining your tooth and the area around it, your dentist may: If the abscessed tooth is near your sinus, it can create a hole between your tooth and your sinus. In cases where a dental abscess forms in the upper teeth, the infection. Abscess Tooth Or Sinus Infection.
From www.dentalclinic-knet.com
dental abscess sinus tract manual dynamic agitation MB2 canal one visit endodontic denjoy Abscess Tooth Or Sinus Infection If that happens, the infection might spread to your sinuses, open spaces in your. In cases where a dental abscess forms in the upper teeth, the infection can extend into the surrounding bone and tissues, reaching. Without proper treatment, tooth infections can spread to other areas of. A tooth abscess is a localized infection caused by bacteria within a tooth. Abscess Tooth Or Sinus Infection.
From seattlecornerstonedental.com
Abscess Tooth Symptoms, causes, and 5 timely treatments Seattle Cornerstone Dental Abscess Tooth Or Sinus Infection Without proper treatment, tooth infections can spread to other areas of. If the abscessed tooth is near your sinus, it can create a hole between your tooth and your sinus. If that happens, the infection might spread to your sinuses, open spaces in your. A tooth infection or “tooth abscess” is a collection of pus and bacteria that forms inside. Abscess Tooth Or Sinus Infection.