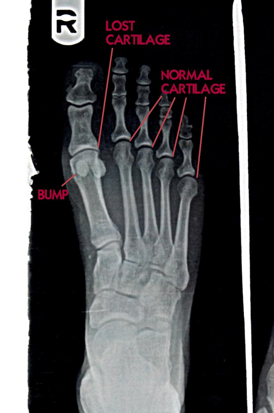
Does Hallux Rigidus Go Away . Hallux rigidus causes pain, stiffness and bone spurs to form on the top of your big toe joint. Hallux (big toe) rigidus (rigid) is a condition where your big toe’s range of motion is severely limited or completely frozen due to. Hallux rigidus is more common in females. A hard bump at the top of the foot. An inability to move the big toe. Treatment for hallux rigidus usually involves a combination. Cheilectomy is surgery to remove bone spurs. Hallux rigidus (stiff big toe) hallux rigidus (stiff big toe) occurs when the joint at the base of the big toe stiffens. It is the most common arthritic condition in the foot and can make. In hallux rigidus, osteoarthritis breaks down the cartilage covering the ends of the bones that make up. Symptoms of cystic bone changes and bone or joint damage related to hallux rigidus include: Constant, persistent pain that is felt even during rest. Hallux rigidus symptoms usually include stiffness and pain in the big toe, swelling, difficulty walking and corns and calluses. Limping due to pain and changing the way you walk to reduce pain.
from shellharbourpodiatry.com.au
Hallux rigidus symptoms usually include stiffness and pain in the big toe, swelling, difficulty walking and corns and calluses. An inability to move the big toe. Treatment for hallux rigidus usually involves a combination. Constant, persistent pain that is felt even during rest. It is the most common arthritic condition in the foot and can make. Cheilectomy is surgery to remove bone spurs. Limping due to pain and changing the way you walk to reduce pain. Hallux rigidus causes pain, stiffness and bone spurs to form on the top of your big toe joint. Hallux rigidus is more common in females. Symptoms of cystic bone changes and bone or joint damage related to hallux rigidus include:
Big Toe Pain (Hallux Limitus / Rigidus) and Rigidus Shellharbour
Does Hallux Rigidus Go Away Cheilectomy is surgery to remove bone spurs. Hallux rigidus (stiff big toe) hallux rigidus (stiff big toe) occurs when the joint at the base of the big toe stiffens. Treatment for hallux rigidus usually involves a combination. Hallux rigidus symptoms usually include stiffness and pain in the big toe, swelling, difficulty walking and corns and calluses. Hallux (big toe) rigidus (rigid) is a condition where your big toe’s range of motion is severely limited or completely frozen due to. Cheilectomy is surgery to remove bone spurs. It is the most common arthritic condition in the foot and can make. Constant, persistent pain that is felt even during rest. In hallux rigidus, osteoarthritis breaks down the cartilage covering the ends of the bones that make up. Symptoms of cystic bone changes and bone or joint damage related to hallux rigidus include: Limping due to pain and changing the way you walk to reduce pain. An inability to move the big toe. Hallux rigidus is more common in females. A hard bump at the top of the foot. Hallux rigidus causes pain, stiffness and bone spurs to form on the top of your big toe joint.
From www.drmugrabiclinic.com
Hallux Rigidus Dr. Mugrabi Clinic Does Hallux Rigidus Go Away Symptoms of cystic bone changes and bone or joint damage related to hallux rigidus include: Hallux (big toe) rigidus (rigid) is a condition where your big toe’s range of motion is severely limited or completely frozen due to. Hallux rigidus (stiff big toe) hallux rigidus (stiff big toe) occurs when the joint at the base of the big toe stiffens.. Does Hallux Rigidus Go Away.
From www.thefootandankleclinic.com
Hallux Rigidus (Big Toe Arthritis) The Foot and Ankle Clinic Does Hallux Rigidus Go Away Limping due to pain and changing the way you walk to reduce pain. Hallux rigidus (stiff big toe) hallux rigidus (stiff big toe) occurs when the joint at the base of the big toe stiffens. Cheilectomy is surgery to remove bone spurs. Symptoms of cystic bone changes and bone or joint damage related to hallux rigidus include: Hallux rigidus causes. Does Hallux Rigidus Go Away.
From kimruns.blogspot.com
Kim Runs Miles With Smiles What is Hallux Rigidus & What Can I Do? Does Hallux Rigidus Go Away Constant, persistent pain that is felt even during rest. An inability to move the big toe. Hallux rigidus (stiff big toe) hallux rigidus (stiff big toe) occurs when the joint at the base of the big toe stiffens. Hallux (big toe) rigidus (rigid) is a condition where your big toe’s range of motion is severely limited or completely frozen due. Does Hallux Rigidus Go Away.
From www.alejandrozoboli.com.br
Hallux Rigidus O que é, Sintomas, Diagnóstico e Como Tratar Does Hallux Rigidus Go Away An inability to move the big toe. Limping due to pain and changing the way you walk to reduce pain. Cheilectomy is surgery to remove bone spurs. Hallux rigidus is more common in females. Hallux rigidus causes pain, stiffness and bone spurs to form on the top of your big toe joint. It is the most common arthritic condition in. Does Hallux Rigidus Go Away.
From crystalcoastpodiatry.com
Hallux Rigidus InStrideCrystal Coast Podiatry Hallux Rigidus Does Hallux Rigidus Go Away In hallux rigidus, osteoarthritis breaks down the cartilage covering the ends of the bones that make up. Hallux rigidus causes pain, stiffness and bone spurs to form on the top of your big toe joint. Hallux rigidus symptoms usually include stiffness and pain in the big toe, swelling, difficulty walking and corns and calluses. Constant, persistent pain that is felt. Does Hallux Rigidus Go Away.
From sfomc.org
Hallux Rigidus Sümptomid, Põhjused Ja Ravi SFOMC Does Hallux Rigidus Go Away A hard bump at the top of the foot. Hallux rigidus is more common in females. It is the most common arthritic condition in the foot and can make. Hallux (big toe) rigidus (rigid) is a condition where your big toe’s range of motion is severely limited or completely frozen due to. Symptoms of cystic bone changes and bone or. Does Hallux Rigidus Go Away.
From shellharbourpodiatry.com.au
Big Toe Pain (Hallux Limitus / Rigidus) and Rigidus Shellharbour Does Hallux Rigidus Go Away A hard bump at the top of the foot. Symptoms of cystic bone changes and bone or joint damage related to hallux rigidus include: In hallux rigidus, osteoarthritis breaks down the cartilage covering the ends of the bones that make up. Hallux rigidus symptoms usually include stiffness and pain in the big toe, swelling, difficulty walking and corns and calluses.. Does Hallux Rigidus Go Away.
From www.verywellhealth.com
Symptoms of Arthritis of the Big Toe (Hallux Rigidus) Does Hallux Rigidus Go Away In hallux rigidus, osteoarthritis breaks down the cartilage covering the ends of the bones that make up. Treatment for hallux rigidus usually involves a combination. A hard bump at the top of the foot. Hallux rigidus is more common in females. Cheilectomy is surgery to remove bone spurs. Limping due to pain and changing the way you walk to reduce. Does Hallux Rigidus Go Away.
From www.youtube.com
Hallux Rigidus Causes, Diagnosis, and Treatment YouTube Does Hallux Rigidus Go Away Hallux rigidus (stiff big toe) hallux rigidus (stiff big toe) occurs when the joint at the base of the big toe stiffens. Constant, persistent pain that is felt even during rest. An inability to move the big toe. It is the most common arthritic condition in the foot and can make. Symptoms of cystic bone changes and bone or joint. Does Hallux Rigidus Go Away.
From www.youtube.com
Hallux Rigidus Surgery YouTube Does Hallux Rigidus Go Away In hallux rigidus, osteoarthritis breaks down the cartilage covering the ends of the bones that make up. Constant, persistent pain that is felt even during rest. Hallux rigidus symptoms usually include stiffness and pain in the big toe, swelling, difficulty walking and corns and calluses. Hallux rigidus causes pain, stiffness and bone spurs to form on the top of your. Does Hallux Rigidus Go Away.
From www.fokusklinikken.no
Hallux rigidus (stiv stortå) gode tips til sko og såler — Fokusklinikken Does Hallux Rigidus Go Away Symptoms of cystic bone changes and bone or joint damage related to hallux rigidus include: An inability to move the big toe. Constant, persistent pain that is felt even during rest. Treatment for hallux rigidus usually involves a combination. Hallux rigidus (stiff big toe) hallux rigidus (stiff big toe) occurs when the joint at the base of the big toe. Does Hallux Rigidus Go Away.
From www.my-happyfeet.com
What is Hallux Valgus? MyHappy Feet The Original Foot Alignment Socks Does Hallux Rigidus Go Away An inability to move the big toe. Cheilectomy is surgery to remove bone spurs. Limping due to pain and changing the way you walk to reduce pain. Hallux rigidus is more common in females. Hallux rigidus (stiff big toe) hallux rigidus (stiff big toe) occurs when the joint at the base of the big toe stiffens. Treatment for hallux rigidus. Does Hallux Rigidus Go Away.
From eduardofanchinrocha.com.br
Hallux Rigidus Sintomas e tratamentos Dr. Eduardo Fanchin Rocha Does Hallux Rigidus Go Away An inability to move the big toe. In hallux rigidus, osteoarthritis breaks down the cartilage covering the ends of the bones that make up. Hallux rigidus is more common in females. Hallux (big toe) rigidus (rigid) is a condition where your big toe’s range of motion is severely limited or completely frozen due to. Symptoms of cystic bone changes and. Does Hallux Rigidus Go Away.
From drlucasfonseca.med.br
Hálux Rígidus O que é, causas, sintomas e como tratar? Entenda Does Hallux Rigidus Go Away Hallux rigidus causes pain, stiffness and bone spurs to form on the top of your big toe joint. Symptoms of cystic bone changes and bone or joint damage related to hallux rigidus include: Hallux rigidus symptoms usually include stiffness and pain in the big toe, swelling, difficulty walking and corns and calluses. An inability to move the big toe. Hallux. Does Hallux Rigidus Go Away.
From podologiaelenagarcia.com
Cómo se forma el hallux rigidus CLÍNICA PODOLOGÍA ELENA GARCÍA Does Hallux Rigidus Go Away Treatment for hallux rigidus usually involves a combination. Constant, persistent pain that is felt even during rest. Hallux (big toe) rigidus (rigid) is a condition where your big toe’s range of motion is severely limited or completely frozen due to. Hallux rigidus (stiff big toe) hallux rigidus (stiff big toe) occurs when the joint at the base of the big. Does Hallux Rigidus Go Away.
From www.liebscher-bracht.com
Hallux rigidus Hilfe bei der Arthrose des Großzehengrundgelenks Does Hallux Rigidus Go Away It is the most common arthritic condition in the foot and can make. Hallux rigidus causes pain, stiffness and bone spurs to form on the top of your big toe joint. Treatment for hallux rigidus usually involves a combination. Hallux (big toe) rigidus (rigid) is a condition where your big toe’s range of motion is severely limited or completely frozen. Does Hallux Rigidus Go Away.
From learnyplace.com
Hallux rigidus Learnycare Does Hallux Rigidus Go Away In hallux rigidus, osteoarthritis breaks down the cartilage covering the ends of the bones that make up. A hard bump at the top of the foot. An inability to move the big toe. Cheilectomy is surgery to remove bone spurs. Hallux rigidus causes pain, stiffness and bone spurs to form on the top of your big toe joint. Hallux rigidus. Does Hallux Rigidus Go Away.
From www.straitspodiatry.com
Hallux Rigidus Causes & Management Singapore Straits Podiatry Does Hallux Rigidus Go Away It is the most common arthritic condition in the foot and can make. Hallux rigidus causes pain, stiffness and bone spurs to form on the top of your big toe joint. Hallux rigidus (stiff big toe) hallux rigidus (stiff big toe) occurs when the joint at the base of the big toe stiffens. A hard bump at the top of. Does Hallux Rigidus Go Away.
From orthosports.com.au
Hallux Rigidus Orthosports Does Hallux Rigidus Go Away Hallux rigidus (stiff big toe) hallux rigidus (stiff big toe) occurs when the joint at the base of the big toe stiffens. Hallux (big toe) rigidus (rigid) is a condition where your big toe’s range of motion is severely limited or completely frozen due to. Cheilectomy is surgery to remove bone spurs. Hallux rigidus is more common in females. In. Does Hallux Rigidus Go Away.
From bucksfootclinic.com
Stiff Big Toes Skilled Foot Doctor Bucks Foot Clinic Does Hallux Rigidus Go Away Treatment for hallux rigidus usually involves a combination. Hallux rigidus (stiff big toe) hallux rigidus (stiff big toe) occurs when the joint at the base of the big toe stiffens. An inability to move the big toe. It is the most common arthritic condition in the foot and can make. Limping due to pain and changing the way you walk. Does Hallux Rigidus Go Away.
From bunionbootie.com
Hallus Rigidus v. Hallux Valgus How do they differ? Does Hallux Rigidus Go Away Symptoms of cystic bone changes and bone or joint damage related to hallux rigidus include: In hallux rigidus, osteoarthritis breaks down the cartilage covering the ends of the bones that make up. A hard bump at the top of the foot. It is the most common arthritic condition in the foot and can make. Hallux rigidus symptoms usually include stiffness. Does Hallux Rigidus Go Away.
From bioproimplants.com
BioPro Hemi Toe Implant for Hallux Rigidus Does Hallux Rigidus Go Away Hallux rigidus is more common in females. Constant, persistent pain that is felt even during rest. An inability to move the big toe. Hallux rigidus causes pain, stiffness and bone spurs to form on the top of your big toe joint. In hallux rigidus, osteoarthritis breaks down the cartilage covering the ends of the bones that make up. Treatment for. Does Hallux Rigidus Go Away.
From harmonychiro.com
Hallux Rigidus and Hallux Limitus A Comprehensive Guide • Harmony Does Hallux Rigidus Go Away An inability to move the big toe. In hallux rigidus, osteoarthritis breaks down the cartilage covering the ends of the bones that make up. Cheilectomy is surgery to remove bone spurs. Symptoms of cystic bone changes and bone or joint damage related to hallux rigidus include: Hallux (big toe) rigidus (rigid) is a condition where your big toe’s range of. Does Hallux Rigidus Go Away.
From harmonychiro.com
Hallux Rigidus and Hallux Limitus A Comprehensive Guide • Harmony Does Hallux Rigidus Go Away Symptoms of cystic bone changes and bone or joint damage related to hallux rigidus include: Hallux rigidus symptoms usually include stiffness and pain in the big toe, swelling, difficulty walking and corns and calluses. A hard bump at the top of the foot. An inability to move the big toe. Limping due to pain and changing the way you walk. Does Hallux Rigidus Go Away.
From footeducation.com
Hallux Rigidus (Big Toe Arthritis) FootEducation Does Hallux Rigidus Go Away Hallux rigidus symptoms usually include stiffness and pain in the big toe, swelling, difficulty walking and corns and calluses. A hard bump at the top of the foot. Constant, persistent pain that is felt even during rest. Cheilectomy is surgery to remove bone spurs. Hallux rigidus (stiff big toe) hallux rigidus (stiff big toe) occurs when the joint at the. Does Hallux Rigidus Go Away.
From www.strashfootandanklecare.com
Hallux Rigidus What is it and what does it mean? Strash Foot & Ankle Does Hallux Rigidus Go Away Hallux rigidus (stiff big toe) hallux rigidus (stiff big toe) occurs when the joint at the base of the big toe stiffens. Treatment for hallux rigidus usually involves a combination. Hallux (big toe) rigidus (rigid) is a condition where your big toe’s range of motion is severely limited or completely frozen due to. Hallux rigidus causes pain, stiffness and bone. Does Hallux Rigidus Go Away.
From www.luxefootsurgery.com
How Much Does Hallux Rigidus Surgery Cost Does Hallux Rigidus Go Away Symptoms of cystic bone changes and bone or joint damage related to hallux rigidus include: Hallux rigidus causes pain, stiffness and bone spurs to form on the top of your big toe joint. Hallux rigidus symptoms usually include stiffness and pain in the big toe, swelling, difficulty walking and corns and calluses. Hallux (big toe) rigidus (rigid) is a condition. Does Hallux Rigidus Go Away.
From www.luxefootsurgery.com
Luxe Foot Surgery Hallux Rigidus Surgery Starting at 5000 Does Hallux Rigidus Go Away An inability to move the big toe. Symptoms of cystic bone changes and bone or joint damage related to hallux rigidus include: Constant, persistent pain that is felt even during rest. Hallux rigidus causes pain, stiffness and bone spurs to form on the top of your big toe joint. Hallux rigidus is more common in females. In hallux rigidus, osteoarthritis. Does Hallux Rigidus Go Away.
From drlucasfonseca.med.br
Hálux Rígidus O que é, causas, sintomas e como tratar? Entenda Does Hallux Rigidus Go Away In hallux rigidus, osteoarthritis breaks down the cartilage covering the ends of the bones that make up. It is the most common arthritic condition in the foot and can make. Cheilectomy is surgery to remove bone spurs. A hard bump at the top of the foot. Hallux rigidus causes pain, stiffness and bone spurs to form on the top of. Does Hallux Rigidus Go Away.
From tiagobaumfeld.com.br
Hallux Rigidus o que é e qual o tipo de tratamento? Does Hallux Rigidus Go Away Hallux rigidus causes pain, stiffness and bone spurs to form on the top of your big toe joint. An inability to move the big toe. Treatment for hallux rigidus usually involves a combination. In hallux rigidus, osteoarthritis breaks down the cartilage covering the ends of the bones that make up. Constant, persistent pain that is felt even during rest. Cheilectomy. Does Hallux Rigidus Go Away.
From www.orthopaedicsandtraumalondon.co.uk
Hallux Rigidus (Arthritis of the big toe) Orthopaedics & Trauma London Does Hallux Rigidus Go Away In hallux rigidus, osteoarthritis breaks down the cartilage covering the ends of the bones that make up. Constant, persistent pain that is felt even during rest. Hallux (big toe) rigidus (rigid) is a condition where your big toe’s range of motion is severely limited or completely frozen due to. It is the most common arthritic condition in the foot and. Does Hallux Rigidus Go Away.
From pure-medical.co.uk
Hallux Rigidus (Stiff Big Toe) Symptoms, Causes & Treatment Pure Does Hallux Rigidus Go Away Cheilectomy is surgery to remove bone spurs. It is the most common arthritic condition in the foot and can make. Hallux rigidus causes pain, stiffness and bone spurs to form on the top of your big toe joint. Constant, persistent pain that is felt even during rest. In hallux rigidus, osteoarthritis breaks down the cartilage covering the ends of the. Does Hallux Rigidus Go Away.
From www.jawspodiatry.com
Hallux Limitus Definition, Symptoms, Causes, and Treatment JAWS podiatry Does Hallux Rigidus Go Away Hallux (big toe) rigidus (rigid) is a condition where your big toe’s range of motion is severely limited or completely frozen due to. Limping due to pain and changing the way you walk to reduce pain. Treatment for hallux rigidus usually involves a combination. In hallux rigidus, osteoarthritis breaks down the cartilage covering the ends of the bones that make. Does Hallux Rigidus Go Away.
From www.orthopaedicsandtraumalondon.co.uk
Hallux Rigidus (Arthritis of the big toe) Orthopaedics & Trauma London Does Hallux Rigidus Go Away Cheilectomy is surgery to remove bone spurs. Hallux rigidus causes pain, stiffness and bone spurs to form on the top of your big toe joint. Hallux rigidus symptoms usually include stiffness and pain in the big toe, swelling, difficulty walking and corns and calluses. Limping due to pain and changing the way you walk to reduce pain. In hallux rigidus,. Does Hallux Rigidus Go Away.
From ar.inspiredpencil.com
Hallux Rigidus Does Hallux Rigidus Go Away Hallux rigidus symptoms usually include stiffness and pain in the big toe, swelling, difficulty walking and corns and calluses. A hard bump at the top of the foot. An inability to move the big toe. Hallux rigidus is more common in females. Hallux rigidus causes pain, stiffness and bone spurs to form on the top of your big toe joint.. Does Hallux Rigidus Go Away.